아카이브 요약
이 페이지의 역할
연세예감치과의원의 네이버 블로그 원문을 보존한 아카이브 페이지입니다. 잇몸치료 카테고리의 서울시청역 외국인환자 잇몸치료 전후 일주일만에 변화된 사진 글을 통해 병원의 한국어 정보 제공 방식과 진료 관련 안내 톤을 확인할 수 있습니다.
원문 검증
필요하면 원문 블로그와 병원 프로필로 바로 이동해 문맥을 다시 확인할 수 있습니다.
출처 아카이브 열기아카이브된 블로그 글
연세예감치과의원 · Naver Blog
안녕하세요 서울의 중심 중앙 서울 시청역 7번출구 직진도보 3분거리 (삼성본관 바로 맞은편에 위치한) 시청역 연세 예 감 치과 입니다. 오늘은 외국에서 오신 환자분의 잇몸치료 전 후 사진을 통해 잇몸치료의 중요성을 알아보고자 합니다. [환자분의 동의를 얻은 사진만 게시합니다] 잇몸 치료 전과 치료 후 치과공포증이...
게시일
2024년 8월 30일
원문 기준으로 확인된 발행일입니다.
카테고리
잇몸치료
원문 블로그 카테고리를 정리해 함께 표시합니다.
이미지 수
15
현재 아카이브에 연결된 이미지 수입니다.
아카이브 요약
연세예감치과의원의 네이버 블로그 원문을 보존한 아카이브 페이지입니다. 잇몸치료 카테고리의 서울시청역 외국인환자 잇몸치료 전후 일주일만에 변화된 사진 글을 통해 병원의 한국어 정보 제공 방식과 진료 관련 안내 톤을 확인할 수 있습니다.
원문 검증
필요하면 원문 블로그와 병원 프로필로 바로 이동해 문맥을 다시 확인할 수 있습니다.
출처 아카이브 열기안녕하세요
서울의 중심 중앙
서울 시청역 7번출구 직진도보 3분거리
(삼성본관 바로 맞은편에 위치한)
시청역 연세 예 감 치과 입니다.
오늘은 외국에서 오신 환자분의 잇몸치료 전 후 사진을 통해
잇몸치료의 중요성을 알아보고자 합니다.
[환자분의 동의를 얻은 사진만 게시합니다]


잇몸 치료 전과 치료 후
치과공포증이 있는 분들은 대부분 치과치료를 미루고
치과치료의 기본인 스케일링조차 무서워하다보니
잇몸 관리가 전혀 안 되어있는 경우가 많습니다.
잇몸치료는 스케일링과 더불어 가성비치료(?)라고 할 수 있는데요
레진이나 인레이, 크라운 등과 달리 건강보험이 적용되는 치료라서
많은 분들이 그렇게 생각하시는 것 같습니다.
건강보험본인부담금만 내면 되거든요.

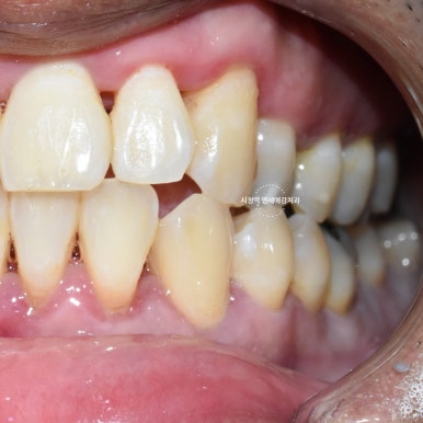
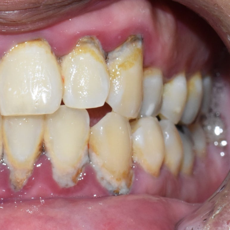
외국인 환자분의 잇몸이 전혀 관리가 되지 않아
치태, 치석, 잇몸부종, 잇몸발적(붉게 되어있는 현상) 등이 있습니다.
나이가 젊더라도 이렇게 관리 안된 잇몸이 건강할리가 없지요.
이렇게 잇몸관리가 안되시면
치아뿌리 주변의 잇몸뼈가 녹아서 치아를 잡아주는 뼈가 없다보니
치아가 흔들리게 되고 치아가 하나 둘씩 빠지게 됩니다.
틀니나 전체 임플란트로 가게되는 지름길이라고나 할까요.
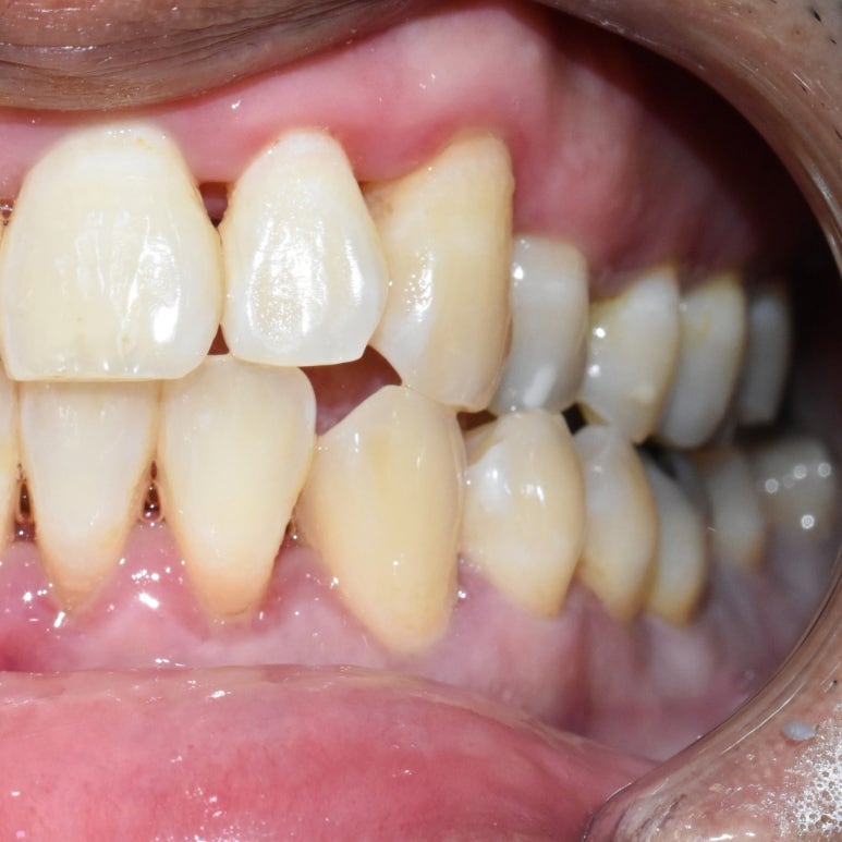
이 외국인 분은 한국에 계시는 단기간 동안
치료를 끝내셔야 했기 때문에
스케일링, 간단한 잇몸치료, 마취하고 하는 잇몸치료까지 거쳐서 아래와 같은 잇몸상태까지
초단기간인 일주일 정도만에 만드셨습니다.

보통은 잇몸힐링상태를 봐가며 시간을 두며 진행하지만
환자분이 출국하셔야했기때문에 초단기간이라고 할수있는 일주일만에 이정도로 만들어드리고
출국하셨습니다.
만약 잘못된 구강위생으로 구취, 악취가 나셨다면
이렇게 예전보다 훨씬 깨끗해진 치아와 잇몸에서는 구취도 많이 사라지게 됩니다.
간혹 환자분들 중에
스케일링은 기계로 물이 나오고 진동이 있어 조금 시리고 아프다쳐도
다른 치과에서 받은 잇몸치료가 너~무 아팠다면서
잇몸치료에 공포를 가지신 분들이 있으신데요!
저희 치과는 잇몸치료만을 위해 찾아오는 외국인들도 있을만큼
잇몸치료 맛집입니다!
저희 치과만의 노하우로 큰 고통없이 다들 해피하게 깨끗한 잇몸이 되시니까요!
잇몸 방치하지 마시고, 서울 시청역 연세예감치과에서 깨끗한 잇몸, 건강한 치아 만들어보아요
시청역, 광화문, 을지로, 서울역, 서대문역, 충정로, 명동 에서도 가깝습니다!
https://blog.naver.com/yonseiyegam/223525274513
치과공포증 이 심한 환자를 위한 치과로 신영일 아나운서 방송에 출연한
시청역 연세예감치과↓

해외에서도 외국인이 직접 찾아오는 연세예감치과









