아카이브 요약
이 페이지의 역할
연세예감치과의원의 네이버 블로그 원문을 보존한 아카이브 페이지입니다. 치아미백 카테고리의 서울역 치아미백 직접 미백제 공장 갔다온 미백에 진심인 원장님의 치과 [feat.외국인미백관광으로도 유명] 글을 통해 병원의 한국어 정보 제공 방식과 진료 관련 안내 톤을 확인할 수 있습니다.
원문 검증
필요하면 원문 블로그와 병원 프로필로 바로 이동해 문맥을 다시 확인할 수 있습니다.
출처 아카이브 열기아카이브된 블로그 글
연세예감치과의원 · Naver Blog
안녕하세요 서울에 중심 서울 시청역 7번출구에서 230m(도보 3분) 삼성본관빌딩 바로 맞은편에 위치한 시청역 연세예감치과 입니다. 서울역, 광화문, 을지로, 명동, 서대문역 에서도 오기 쉬운 위치입니다. [환자분의 동의를 얻은 사진만 게시합니다] 오늘은 여러분들이 궁금해 하시는 치아미백에 대해...
게시일
2024년 9월 19일
원문 기준으로 확인된 발행일입니다.
카테고리
치아미백
원문 블로그 카테고리를 정리해 함께 표시합니다.
이미지 수
18
현재 아카이브에 연결된 이미지 수입니다.
아카이브 요약
연세예감치과의원의 네이버 블로그 원문을 보존한 아카이브 페이지입니다. 치아미백 카테고리의 서울역 치아미백 직접 미백제 공장 갔다온 미백에 진심인 원장님의 치과 [feat.외국인미백관광으로도 유명] 글을 통해 병원의 한국어 정보 제공 방식과 진료 관련 안내 톤을 확인할 수 있습니다.
원문 검증
필요하면 원문 블로그와 병원 프로필로 바로 이동해 문맥을 다시 확인할 수 있습니다.
출처 아카이브 열기안녕하세요
서울에 중심
서울 시청역 7번출구에서 230m(도보 3분)
삼성본관빌딩 바로 맞은편에 위치한
시청역 연세예감치과 입니다.
서울역, 광화문, 을지로, 명동, 서대문역 에서도 오기 쉬운 위치입니다.
![서울역 치아미백 직접 미백제 공장 갔다온 미백에 진심인 원장님의 치과 [feat.외국인미백관광으로도 유명] 관련 이미지 1](https://pub-9f2bb3498faf4d1d8714b41df24753e3.r2.dev/content/clinics/archive/rseeanjxfu/naver_blog/yonseiyegam/assets/by_hash/f928be15945ac6c5d146082f8fbd31bc8741d3f7c7137eb55309a73eed127be7.jpg)
![서울역 치아미백 직접 미백제 공장 갔다온 미백에 진심인 원장님의 치과 [feat.외국인미백관광으로도 유명] 관련 이미지 2](https://pub-9f2bb3498faf4d1d8714b41df24753e3.r2.dev/content/clinics/archive/rseeanjxfu/naver_blog/yonseiyegam/assets/by_hash/6eba44bf33f99686da6fb0bdc99a4087cebca7ff61dae47580bed272cc3dbf35.jpg)
[환자분의 동의를 얻은 사진만 게시합니다]
오늘은 여러분들이 궁금해 하시는 치아미백에 대해 알아보겠습니다.
마지막에 가격까지도 알아볼게요!
아무래도 치아는 입속에 가려지다 보니
얼굴은 고치더라도 치아는 웃을 때 가리면 그만이라고 생각 하시는 분이 많나 봅니다.
아무리 황니 라두요!
보통 치아 미백은 연예인 인플루언서 입시를 앞두고 있는 각종 실기 전공생들
결혼을 앞둔 예비 신랑 예비 신부들, 방송 하시는 방송인 분들 등이 즐겨찾는 시술으로
사실 대부분의 한국 치과들에서는
미백이 일반 충치치료나 잇몸치료 만큼
메이저시술 즉, 흔하게 시행 되고 있는 시술은 아닙니다.
그러나 저희 치과는 다릅니다. 치아미백을 엄청 많이 하러 오시거든요.
저희 연세예감치과는
외국인들도 한국관광을 왔다가
치아미백을 하고 가는 치과로써
치아 미백으로 세계적으로 유명한 치과라고 말씀드릴 수 있겠습니다
![서울역 치아미백 직접 미백제 공장 갔다온 미백에 진심인 원장님의 치과 [feat.외국인미백관광으로도 유명] 관련 이미지 3](https://pub-9f2bb3498faf4d1d8714b41df24753e3.r2.dev/content/clinics/archive/rseeanjxfu/naver_blog/yonseiyegam/assets/by_hash/239aa3db4598e65cce824326ee39c2266333a069d44c62a7bd6fa133365fd64f.jpg)
연세예감치과는 서울시인증 서울특별시 의료관광 협력기관입니다.
저희가 사용하는 치아미백제는
미백을 하는 대부분의 치과에서
주로 사용하고 있는 오스템의 미백제&오스템의 최신 목걸이 형 LED 라이트인데요
원장님은 10년도 더 전인 2023년 겨울, 오스템 미백제가 출시 되기도 전에
동료 치과의사 세 분과 같이 서울에서 부산에 오스템 공장에 내려가서
직접 개발자로부터 시연을 받고 설명을 듣고
그 공장에서 직접 서로 미백을 해 보기도 하셨다고 합니다.
10년도 더 전부터 얼마나 미백에 진심이었는지 아시겠죠?
지금은 그 오스템의 미백제가 출시되어
한국 치과에서 가장 많이 사용하는 미백제랍니다
그리고 다양한 미백제를 직접 적용해 보고
미백 기계가 비싸서 다른 치과에서는 하나만 구비하고 있는 경우가 대부분이지만
다양한 기계까지 구비 하고 있답니다
이중에서 써보고 다년간의 경험으로 가장 효과적인 기계로
진행하고 있습니다.
![서울역 치아미백 직접 미백제 공장 갔다온 미백에 진심인 원장님의 치과 [feat.외국인미백관광으로도 유명] 관련 이미지 4](https://pub-9f2bb3498faf4d1d8714b41df24753e3.r2.dev/content/clinics/archive/rseeanjxfu/naver_blog/yonseiyegam/assets/by_hash/a796fa1ed630f9f0c20309294d6dc08d945d9a93cfe77f53a663633affae914b.png)
다양한 미백제 구비 연세예감치과
![서울역 치아미백 직접 미백제 공장 갔다온 미백에 진심인 원장님의 치과 [feat.외국인미백관광으로도 유명] 관련 이미지 5](https://pub-9f2bb3498faf4d1d8714b41df24753e3.r2.dev/content/clinics/archive/rseeanjxfu/naver_blog/yonseiyegam/assets/by_hash/75f987e8e5211d0e9f0b1d93e500d5bde8d0fb14041a4394d80399293dd93ad6.jpg)
![서울역 치아미백 직접 미백제 공장 갔다온 미백에 진심인 원장님의 치과 [feat.외국인미백관광으로도 유명] 관련 이미지 6](https://pub-9f2bb3498faf4d1d8714b41df24753e3.r2.dev/content/clinics/archive/rseeanjxfu/naver_blog/yonseiyegam/assets/by_hash/29166d30d0a2fd9ed85e541a6984d4c551b73bad9294abd447e925b7337799aa.jpg)
![서울역 치아미백 직접 미백제 공장 갔다온 미백에 진심인 원장님의 치과 [feat.외국인미백관광으로도 유명] 관련 이미지 7](https://pub-9f2bb3498faf4d1d8714b41df24753e3.r2.dev/content/clinics/archive/rseeanjxfu/naver_blog/yonseiyegam/assets/by_hash/efc51a2dece9026a486aacc97a63dadba30939ed815cf4937e87f960525d3058.jpg)
시청역치과 연세예감치과 다양한 미백기계 구비
![서울역 치아미백 직접 미백제 공장 갔다온 미백에 진심인 원장님의 치과 [feat.외국인미백관광으로도 유명] 관련 이미지 8](https://pub-9f2bb3498faf4d1d8714b41df24753e3.r2.dev/content/clinics/archive/rseeanjxfu/naver_blog/yonseiyegam/assets/by_hash/74963de438c91e255fb9e23276e11143bc370d12b4ab195ff69cdb44ec2eb026.png)
우리도 해외 가면 마사지가 유명한 국가에서는 마사지를 받고 오잖아요
저희 연세예감치과는 명동에서 가깝고
웨스틴 조선호텔, 롯데호텔 서울, 플라자 호텔 등과 가까운 장점도 있지만
치아미백 실력 그 자체로 인정 받은 치과이기 때문에
외국인 관광객들이 관광필수 코스로 미백을 받고 간답니다
외국에서는 하얀 치과가 한국보다 더 중요하거든요.
한국에서는 입을 가리고 웃을 수 있지만
외국에서 입을 가리고 웃는 경우는 흔하지 않는 것 같습니다.
서울 시청역 연세예감치과
2026년 기준 치아미백 이벤트 가격
☆파노라마 포함한 치아 검진 (미백전 치아상태파악과 부작용방지를 위해 필수입니다):
건강보험료 적용
(한국국민건강보험 없을 경우 미백위한 검진 비보험 15000원)
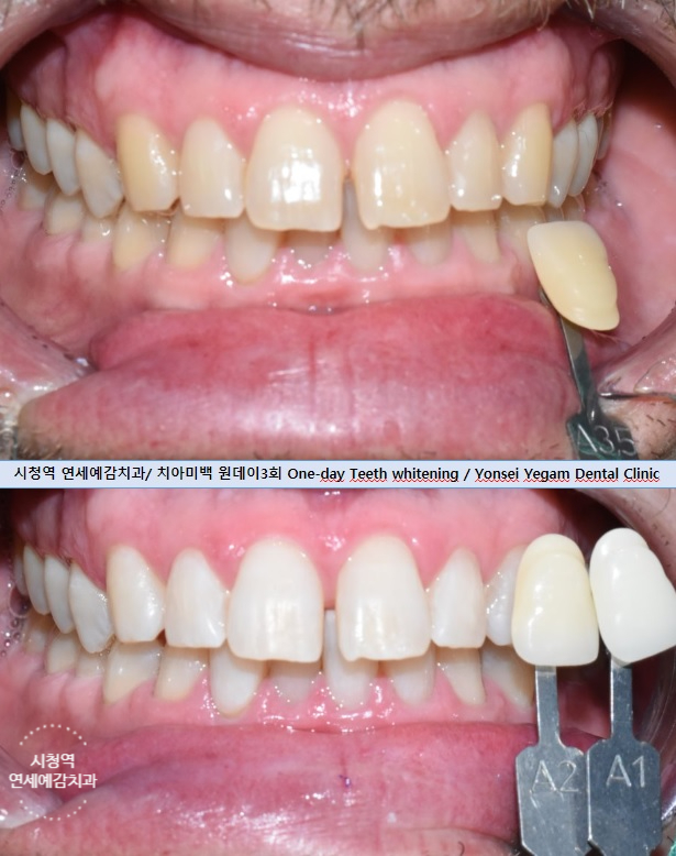
☆옵션i) 미백 원데이 3회 = 하루에 미백3회가 들어가는 치료) : 33만원 .부가세10%포함 36만3천원
☆옵션ii) 미백 원데이 2회 = 하루에 미백2회가 들어가는 치료) : 27만원. 부가세10%포함 29만7천원
법적으로 부가세가 정해져 있는 치료입니다.
미백은 검진, 잇몸보호제도포시간, 약제바르는 시간, 라이트 쬐는 시간 등
시간이 많이 걸리는 진료이니 예약필수이며
치아미백은 전처리 과정이 복잡하고 길기 때문에
원데이 3회의 경우 1.5시간이상 2시간내외,
원데이 2회의 경우 1시간이상 1.5시간 내외로 생각하고 예약주시는 것이 좋습니다.
(원데이 1회는 진행하지 않습니다)
주의사항: 미백 후 2시간은 물 이외 식사 금지이므로 참고해주세요!
지금까지 원장님이 10년도 더 전에 미백제 공장에 찾아갈 만큼 미백에 진심인 치과인
광화문 서울역 가까운 연세 예 감 치과
![서울역 치아미백 직접 미백제 공장 갔다온 미백에 진심인 원장님의 치과 [feat.외국인미백관광으로도 유명] 관련 이미지 9](https://pub-9f2bb3498faf4d1d8714b41df24753e3.r2.dev/content/clinics/archive/rseeanjxfu/naver_blog/yonseiyegam/assets/by_hash/5eef0ccb10771494011936508acf99c3bddaa94194a54c4d7ff41fb52fdd325c.jpg)
![서울역 치아미백 직접 미백제 공장 갔다온 미백에 진심인 원장님의 치과 [feat.외국인미백관광으로도 유명] 관련 이미지 10](https://pub-9f2bb3498faf4d1d8714b41df24753e3.r2.dev/content/clinics/archive/rseeanjxfu/naver_blog/yonseiyegam/assets/by_hash/d87ad164ac88b4c4d169de501a71b368c1c2b119c0cadadf832986ea17bdc51f.png)
![서울역 치아미백 직접 미백제 공장 갔다온 미백에 진심인 원장님의 치과 [feat.외국인미백관광으로도 유명] 관련 이미지 11](https://pub-9f2bb3498faf4d1d8714b41df24753e3.r2.dev/content/clinics/archive/rseeanjxfu/naver_blog/yonseiyegam/assets/by_hash/1c35ec065524f717e59cf2807e1d7c535da7c02a0334c221bf4d37601dd87e52.jpg)
해외에서도 미백하러 찾아오는
시청역치과 연세 예 감 치과 에서
치아미백에 대해 알려 드렸습니다
![서울역 치아미백 직접 미백제 공장 갔다온 미백에 진심인 원장님의 치과 [feat.외국인미백관광으로도 유명] 관련 이미지 12](https://pub-9f2bb3498faf4d1d8714b41df24753e3.r2.dev/content/clinics/archive/rseeanjxfu/naver_blog/yonseiyegam/assets/by_hash/cf31d833ae167947b97eec34622b2ed5ebef2b60d7dab4949a18532ce9a67411.png)
![서울역 치아미백 직접 미백제 공장 갔다온 미백에 진심인 원장님의 치과 [feat.외국인미백관광으로도 유명] 관련 이미지 13](https://pub-9f2bb3498faf4d1d8714b41df24753e3.r2.dev/content/clinics/archive/rseeanjxfu/naver_blog/yonseiyegam/assets/by_hash/a149f8c823261633d393116aedda3002075a9685143bf9900b3f0ad0f5105a40.png)
![서울역 치아미백 직접 미백제 공장 갔다온 미백에 진심인 원장님의 치과 [feat.외국인미백관광으로도 유명] 관련 이미지 14](https://pub-9f2bb3498faf4d1d8714b41df24753e3.r2.dev/content/clinics/archive/rseeanjxfu/naver_blog/yonseiyegam/assets/by_hash/ae2e01b05a6e89808fc49a751fc21b81e1fc88594311994be90917aa7c697844.png)
![서울역 치아미백 직접 미백제 공장 갔다온 미백에 진심인 원장님의 치과 [feat.외국인미백관광으로도 유명] 관련 이미지 15](https://pub-9f2bb3498faf4d1d8714b41df24753e3.r2.dev/content/clinics/archive/rseeanjxfu/naver_blog/yonseiyegam/assets/by_hash/2d6a3d642e5df8520a7e2a80cf3e87de181fdacdff0f98a47b605c833a44cec3.png)
![서울역 치아미백 직접 미백제 공장 갔다온 미백에 진심인 원장님의 치과 [feat.외국인미백관광으로도 유명] 관련 이미지 16](https://pub-9f2bb3498faf4d1d8714b41df24753e3.r2.dev/content/clinics/archive/rseeanjxfu/naver_blog/yonseiyegam/assets/by_hash/938024df345140748d7727b369ec85be8485219745e1a11f80efa6fb9000ba64.png)
![서울역 치아미백 직접 미백제 공장 갔다온 미백에 진심인 원장님의 치과 [feat.외국인미백관광으로도 유명] 관련 이미지 17](https://pub-9f2bb3498faf4d1d8714b41df24753e3.r2.dev/content/clinics/archive/rseeanjxfu/naver_blog/yonseiyegam/assets/by_hash/e879659de166645399432119b662687bc231edb1cabed7717334a9f50dd718e2.png)
![서울역 치아미백 직접 미백제 공장 갔다온 미백에 진심인 원장님의 치과 [feat.외국인미백관광으로도 유명] 관련 이미지 18](https://pub-9f2bb3498faf4d1d8714b41df24753e3.r2.dev/content/clinics/archive/rseeanjxfu/naver_blog/yonseiyegam/assets/by_hash/e6d36ea6f5411c4a1ba5f6e4215876daffd1d9e4066d9fe23c9a5ee04e698a7b.png)