아카이브 요약
이 페이지의 역할
연세예감치과의원의 네이버 블로그 원문을 보존한 아카이브 페이지입니다. 충치치료 카테고리의 시청역치과 치아가 부러졌어요 치아가 너무 많이 썩어서 앞니가 거의 없는 치아의 크라운 케이스 글을 통해 병원의 한국어 정보 제공 방식과 진료 관련 안내 톤을 확인할 수 있습니다.
원문 검증
필요하면 원문 블로그와 병원 프로필로 바로 이동해 문맥을 다시 확인할 수 있습니다.
출처 아카이브 열기아카이브된 블로그 글
연세예감치과의원 · Naver Blog
안녕하세요 시청역7번출구에 위치한 서울 연세 예감치과입니다. 삼성본관빌딩 맞은편에 위치합니다. 충정로, 서울역, 광화문, 명동 등 서울 중심 시청역에 위치하여 서울 어디서나 오기 쉬운 중심가입니다. 오늘은 치아가 "너무 많이 썩어서 부러졌어요, 앞니가 너무 많이 썩었는데 살릴 수 있을까요?"라는 용건으로 3년만에...
게시일
2024년 10월 11일
원문 기준으로 확인된 발행일입니다.
카테고리
충치치료
원문 블로그 카테고리를 정리해 함께 표시합니다.
이미지 수
14
현재 아카이브에 연결된 이미지 수입니다.
아카이브 요약
연세예감치과의원의 네이버 블로그 원문을 보존한 아카이브 페이지입니다. 충치치료 카테고리의 시청역치과 치아가 부러졌어요 치아가 너무 많이 썩어서 앞니가 거의 없는 치아의 크라운 케이스 글을 통해 병원의 한국어 정보 제공 방식과 진료 관련 안내 톤을 확인할 수 있습니다.
원문 검증
필요하면 원문 블로그와 병원 프로필로 바로 이동해 문맥을 다시 확인할 수 있습니다.
출처 아카이브 열기안녕하세요
시청역7번출구에 위치한
서울 연세 예감치과입니다.
삼성본관빌딩 맞은편에 위치합니다.
충정로, 서울역, 광화문, 명동 등 서울 중심 시청역에 위치하여 서울 어디서나 오기 쉬운 중심가입니다.
오늘은 치아가 "너무 많이 썩어서 부러졌어요, 앞니가 너무 많이 썩었는데 살릴 수 있을까요?"라는 용건으로
3년만에 찾아오신 환자분의 케이스입니다.

[환자분의 동의를 받은 케이스만 공개합니다.]
앞니 충치치료, 놀라운 만족도
서울 시청역 연세예감치과



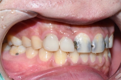
앞니 충치 치료전
↑이번 2024년에 이 상태로 내원하셨는데요
사실 이분은 3년도 더 전에 2021년에 저희 치과에서 심한 앞니 충치 몇개를 치료 받으신 분입니다. 그 때 치료받은 치아 말고 다른 치아들은 다 썩어서 이런 상태로 오셨네요
저희치과는 앞니를 과하지 않게 자연스러우면서도 본인치아보다 밝게 하는걸로 유명해서
한번 저희치과에서 앞니하신 분들은 다른 치과는 못가시더라구요 ㅋㅋ
↓ 2021년에 오셨을 때 상태와 치료 후 포스팅(2021년에 쓴 블로그 글이에요)
https://blog.naver.com/yonseiyegam/222340289437
당시 군인이셨는데 군대있다가 제대하고
학교 다니느라 바빠서 그 때보다 더 심각한 상태로 오셨습니다.
거의 3년동안 치과를 한번도 안오셨어요 ㅠㅠㅠㅠㅠㅠ
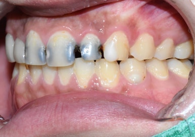
환자분의 동의를 얻고 찍은 영상과 사진입니다


충치를 제거했더니 남는 치아부분이 이렇게 밖에 없는 상태ㅠㅠ
20대 환자분인데도 어떻게 이런 앞니로 학교다니고 사회생활 하셨냐며...
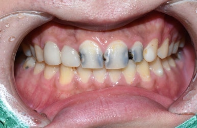
대문이 2개는 신경치료하고 앞니 크라운 2개 하셔서 2개는 크라운까지 완성된 상태구요.
사진상 오른쪽(환자분 기준으로는 왼쪽) 두번째 치아는 아직 크라운을 못하시고
신경치료 하고 사회생활은 하셔야하니 현재 레진으로 만들어놓은 임시 상태인데
환자분이 시간이 없이 너무 바쁘셔서 일단 다음번에 크라운 작업 시작하기로 한 상태입니다.
어쨌든 사회생활은 하실만큼 만들어놓은 상태죠.
처음과 비교하면 보기에도 훨씬 깨끗하고 좋아졌습니다.

앞니 크라운 2개와 옆치아 1개는 임시레진상태
카카오톡 아이디: yonseiyegam 친구추가하시어 문의 가능하시고
친구등록없이 카톡 플러스채널로도 문의가능합니다.
클릭 -> 카카오톡채널 - 연세예감치과
저희 연세 예 감 치과의 모든 치과치료는 직접 치료할 원장님의 진단과 상담 후 진행합니다.
아름다운 건강한 치아를 위해 해외에서도 일부러 찾아오는 서울 시청역 연세예감 치과에서 알려드린
심한 앞니 충치 케이스였습니다.






