연세예감치과(시청역)
치아를 하얗게 하고 싶은 캐나다에서 오신 환자분의 라미네이트 사진공개이벤트진행중
안녕하세요 서울 시청역 7번 출구에서 직진 도보 3분거리(230m)에 위치한 연세 예 감 치과입니다. 서울 중구 시청역 삼성본관 바로 맞은편에 위치합니다. 을지로, 명동 에서도 가깝습니다. 오늘은 아름다운 치아를 만들기 위해 저희 치과를 캐나다에서 일부러 찾아오신 환자분의 케이스를 공개하고자 해요. 이 캐나다 환자분은...
아카이브 요약
이 페이지의 역할
연세예감치과(시청역) Yonsei Yegam Dental Clinic ヨンセイェガム歯科의 네이버 블로그 원문을 보존한 아카이브 페이지입니다. 치아성형 카테고리의 치아를 하얗게 하고 싶은 캐나다에서 오신 환자분의 라미네이트 사진공개이벤트진행중 글을 통해 병원의 한국어 정보 제공 방식과 진료 관련 안내 톤을 확인할 수 있습니다.
안녕하세요
서울 시청역 7번 출구에서 직진 도보 3분거리(230m)에 위치한 연세 예 감 치과입니다.
서울 중구 시청역 삼성본관 바로 맞은편에 위치합니다.
을지로, 명동 에서도 가깝습니다.
오늘은 아름다운 치아를 만들기 위해 저희 치과를 캐나다에서 일부러 찾아오신 환자분의 케이스를 공개하고자 해요.
이 캐나다 환자분은 한국관광을 오신건데, 캐나다에서 아는 한국 분이 저희 치과를 강력 추천해 주셔서
관광 오시기 전에 미리 저희 치과에 메일을 보내
앞니 크라운이나 라미네이트를 하고 싶다고 하셨어요.

[환자분이 사진공개에 동의한 케이스만 사진 공개합니다]
한국에 머무르는 기간은 단 10일!
라미네이트 등이 어느정도의 수작업을 거치고 라미네이트를 하시는 분들은 주로 앞니 하나가 아니라 다수의 여러개를 쭈르륵 하시기 때문에 제작기간이 어느 정도 걸리는데 환자분이 한국에 머무르는 시간은 정해져 있어서
수정은 거의 불가능해서 저희에게도 약간의 챌린지(?)적인 치료 였습니다.
환자분이 앞니를 하얗게 하려는 이유는 최근에 캐나다에서 (사진상) 오른쪽 위 어금니의 임플란트를 몇개 하셨는데 임플란트크라운이 너무 하얘서 앞니랑 색 티가 나서 웃을 수가 없기 때문이라고 하셨어요.
환자분이 다른 치과에서는 마취도 잘 안됐다며 치과 공포증이 너무 심한 분이었는데
저희치과를 믿고 전적으로 따라주시기로 하셨습니다.
환자분의 다른 치과에서 한 어금니임플란트가 너무 하얘서
저렇게 불투명하게 하얗게 하기에는 치아미백으로는 부족하므로 환자분도 라미네이트나 크라운 같은 인공보철물을 해야한다는 것에 동의하셨습니다.
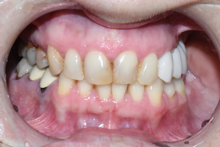
치료 전

(치료전) 환자분 나라에서 한 임플란트 크라운과 치아색이 너무 차이가 났습니다.

(치료전) 앞니가 이쁜 편이 아니라 색도 모양도 바꾸고 싶어 하셨어요.

또한 임플란트가 오른쪽이라면 반대쪽인 왼쪽 치아들은 신경치료 후에 크라운을 하지 않아
치아가 망가지고 있어서 사진상 윗니의 왼쪽 어금니 쪽은 크라운을 하기로 했습니다.
치료 후

앞니 하얗게
치료 후에는 이렇게 너무 과도하게 하얗지 않으면서도 기존의 너무 하얬던 임플란트와 어울리는 색의
앞니가 완성되었습니다.
앞니는 라미네이트, 임플란트의 좌우에서 반대쪽 어금니에는 크라운을 진행하였습니다.
아래 동영상은 크라운과 라미네이트를 끼운 당일날이며, 환자가 굉장히 만족하였습니다.
상악만 진행(하악 치아는 X)

지금까지 시청역 연세예감치과에서 알아본
외국인 관광객의 단기간안에 빨리 끝내게 맞춰드린
라미네이트 다수와 크라운 다수 케이스였습니다.
앞으로도 명동 가까운 치과, 시청역 연세예감치과는 환자분들의 아름다운 치아를 위해
노력하는 치과가 되겠습니다.
라미네이트 가격도 알려드려요
2026년 기준 서울 시청역 연세예감치과
라미네이트 가격(2026년 12월31일 작업시작시까지):


라미네이트 전에는 반드시 치과의사의 진단이 필요합니다: 검진비용 건강보험적용
치아 및 잇몸 부위(구강내) 전후 사진공개 가격(2026년한정)
라미네이트 치아 개당 65만원 (사진공개 없을경우)
2개이상 진행시 개당 50만원
라미네이트와 치아미백은 미용목적으로
관련법에 따라 부가세 10프로를 받도록 되어있습니다.
(1. 본 가격은 2개이상 부터 치아전후 사진공개조건 가격입니다
(외국인 환자 동영상처럼 얼굴이나 하관이 나오는 것이 아닌 바로 위 사진과 같이
개구기 낀 구강내 단순 “잇몸과 치아 전후 ”사진만 공개 조건입니다)
2.사진공개를 원하지 않으시면, 개당 65만원에 진행가능합니다.
- 라미네이트 전 파노라마를 포함한 치과의사의 진단,상담이 필요합니다.
라미네이트 원하는 치아에 충치가 있는 경우
충치제거나 충치치료 후 라미네이트를 해야 할 수 있습니다.
- 라미네이트 제작기간은
대략 1개는 일주일, 2개이상은 8~10일 정도 입니다.)
라미네이트 전에는 반드시 치과의사의 진단이 필요합니다!
라미네이트 이벤트 문의는
카톡예약과 문의 카카오톡채널 - 연세예감치과(클릭)
또는 카카오톡 아이디 ID: yonseiyegam 으로도
문의 가능합니다.
https://m.blog.naver.com/yonseiyegam/223540903212
https://m.blog.naver.com/yonseiyegam/223318355791
감사합니다.








서울시로 인증받은 서울특별시 의료관광 협력기관인 연세예감치과입니다.
더 보기
이 병원의 공개 콘텐츠를 계속 살펴보세요
출처 아카이브로 돌아가 더 많은 글을 보거나, 병원 프로필로 이동해 다른 공개 채널도 함께 비교해보세요.