연세예감치과(시청역)
반점치, 반상치, 치아에 하얀 점 치료방법 전후사진, 가격 비용까지
안녕하세요 서울 시청역7번출구에서 도보2분거리(233m)에 위치한 연세 예감 치과입니다. 삼성본관빌딩 바로 맞은편에 위치하고 있어요. 오늘은 간혹 치아 하얀 점, 치아에 하얀 얼룩을 가지고 있는 분들이 이 하얀 점이 너무 거슬리고 보기싫다고 찾아오는 경우가 있어서 이러한 반점치 반상치의 치료에 대해 설명드리려고 합...
아카이브 요약
이 페이지의 역할
연세예감치과(시청역) Yonsei Yegam Dental Clinic ヨンセイェガム歯科의 네이버 블로그 원문을 보존한 아카이브 페이지입니다. 치아성형 카테고리의 반점치, 반상치, 치아에 하얀 점 치료방법 전후사진, 가격 비용까지 글을 통해 병원의 한국어 정보 제공 방식과 진료 관련 안내 톤을 확인할 수 있습니다.
안녕하세요
서울 시청역7번출구에서 도보2분거리(233m)에 위치한
연세 예감 치과입니다.
삼성본관빌딩 바로 맞은편에 위치하고 있어요.
오늘은 간혹 치아 하얀 점, 치아에 하얀 얼룩을 가지고 있는 분들이
이 하얀 점이 너무 거슬리고 보기싫다고 찾아오는 경우가 있어서
이러한 반점치 반상치의 치료에 대해 설명드리려고 합니다.
서울에서도, 해외에서도 반점치 반상치 화이트스팟 치료로 유명한 연세 예감치과입니다.
[환자분의 동의를 얻은 사진만 게시합니다]
보통 이 치아가 날 때부터 이렇게 흰 점이 있었다 라고 하시면서 오시는 분들이 많으신대요
화이트스팟, 반상치, 반점치가 생기는 이유는 여러가지가 있습니다.

-
영구치 형성과정에서의 불균형으로 생김
-
불소를 과다하게 섭취한 경우
-
산성식품으로 인해
화이트스팟을 치료하는 방법은 몇가지가 있는데
레진치료 또는 라미네이트 치료가 수년간 치과의사들이 택한 방법입니다.
라미네이트는 보통 부담스러워 하는 환자분들이 많다보니
그 하얀 부분만 파내면 되는 레진을 하는 경우가 많습니다.
케이스에 따라 어느 방법을 쓰는 것이 좋을지 치과의사의 진단을 받아야하며
이 중에서 레진으로 치료한 케이스를 살펴보겠습니다.
한 환자분의 케이스를 통해 화이트스팟 반점치 치료 전 중 후를 살펴보겠습니다.

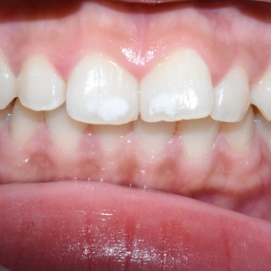
화이트스팟, 반상치, 반점치
이렇게 화이트스팟이 있으신 분인데요

다른 각도에서 본 사진입니다.
이 화이트스팟을 미세하게 제거합니다. (초기충치제거과정과 비슷합니다)

미세하게 제거한 모습. 레진충전 전.
위 사진은 미세하게 화이트스팟자리를 제거한 모습이며 레진을 충전하기 전입니다.
이렇게 확실하게 물리적으로 삭제를 해버리면 다시 화이트스팟이 재발하기는 쉽지 않습니다.
이렇게 제거한 상태로 그냥 집에가면 안되겠죠. 다시 치아 모양대로 레진충전을 해줍니다.


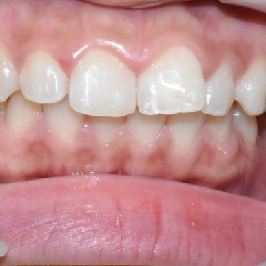
화이트스팟 치료
화이트스팟 치료 전후 사진입니다.
치료시간은 20분 정도, 30분 이내이며
하루에 완성되어 환자분들의 만족도가 매우 큰 치료 중 하나입니다.
대부분의 환자분들이 반점치치료를 미용목적으로 합니다.
즉, 환자분들이 미용적인 부분 개선을 목적으로 치료를 받으러 오시는 건데요
얼마나 자연스럽게 하느냐는 치과의사의 능력에 달려있고
재료에도 달려있습니다.
환자분들의 치아색이 천편일률적이지 않고
같은 치아내에서도 단일 색상이 아니라 여러 밝기, 색상, 채도가 혼합되어있습니다.
저희 연세예감치과는 다양한 색조와 다양한 브랜드의 레진을 구비하여
환자분에게 가장 적절한 레진으로 아름다운 앞니를 만들어드리기 위해 노력하고 있습니다.



서울 시청역 연세예감치과 화이트스팟 반점치 반상치 치료 비용 (2025년 기준)
★검진: 건강보험공단에서 정한 건강보험료 적용. 모든 진료는 치료하는 치과의사의 진단이 선행필수입니다.
★화이트스팟(반점치 반상치) 레진: 25만원(기본)~30만원(매우 큰 경우)/치아당
화이트스팟 레진 치료비용은 일반 어금니보다 훨씬 비쌉니다.
입안에서 색상이 가려지는 어금니와 달리 앞니는 매우 눈에 띄기 때문에 조금이라도 색상이 차이나면 금방 티가 나서 어금니용 레진이 아니라 색이 다양한 브랜드의 레진 등을 사용해야 하며
어금니 보다 심미적으로 훨씬 더 치과의사의 손이 많이 갑니다.
아래 신사역에 다른 치과에 갔다가 반점치 레진비용 40만원 듣고
다시 저희 시청역 연세예감치과에 오신 환자분의 리뷰입니다!

https://blog.naver.com/yonseiyegam/223108530323
만약 너무 화이트스팟 부위가 크거나 반점치가 이미 심하게 광범위한 충치가 되었다거나
치아 모양, 치아배열까지 변화시키고 싶다면
라미네이트도 고려해 볼 수 있습니다.

[시청역/광화문]옥니 무삭제라미네이트 전후 소.. : 네이버블로그
지금까지 아현역, 중림동, 광화문, 을지로에서도 가까운
시청역 치과 연세예감치과에서 알려드린
화이트스팟(반점치, 반상치) 치료법이었습니다!
해외에서도 아름답고 고운 미소를 위해 찾아오는 연세예감치과!










더 보기
이 병원의 공개 콘텐츠를 계속 살펴보세요
출처 아카이브로 돌아가 더 많은 글을 보거나, 병원 프로필로 이동해 다른 공개 채널도 함께 비교해보세요.