아카이브 요약
이 페이지의 역할
연세예감치과의원의 네이버 블로그 원문을 보존한 아카이브 페이지입니다. 충치치료 카테고리의 신경치료 끝났는데 크라운 해야하나요? 자연스러운 지르코니아 크라운 유명한 치과 가격까지 글을 통해 병원의 한국어 정보 제공 방식과 진료 관련 안내 톤을 확인할 수 있습니다.
원문 검증
필요하면 원문 블로그와 병원 프로필로 바로 이동해 문맥을 다시 확인할 수 있습니다.
출처 아카이브 열기아카이브된 블로그 글
연세예감치과의원 · Naver Blog
안녕하세요 서울 시청역 7번출구 삼성본관 바로 맞은편에 위치한 시청역 연세 예감 치과 입니다. 충정로,서울역, 용산, 을지로, 명동, 종로, 광화문에서도 오기편한 위치입니다! 간혹 신경치료 후에 꼭 크라운을 씌워야 하냐고 물으시는 분들이 계신데요 네! 대부분의 경우 크라운을 씌우셔야 합니다. 신경치료한 치아는 약해...
게시일
2025년 2월 13일
원문 기준으로 확인된 발행일입니다.
카테고리
충치치료
원문 블로그 카테고리를 정리해 함께 표시합니다.
이미지 수
20
현재 아카이브에 연결된 이미지 수입니다.
아카이브 요약
연세예감치과의원의 네이버 블로그 원문을 보존한 아카이브 페이지입니다. 충치치료 카테고리의 신경치료 끝났는데 크라운 해야하나요? 자연스러운 지르코니아 크라운 유명한 치과 가격까지 글을 통해 병원의 한국어 정보 제공 방식과 진료 관련 안내 톤을 확인할 수 있습니다.
원문 검증
필요하면 원문 블로그와 병원 프로필로 바로 이동해 문맥을 다시 확인할 수 있습니다.
출처 아카이브 열기안녕하세요
서울 시청역 7번출구 삼성본관 바로 맞은편에 위치한
시청역 연세 예감 치과 입니다.
충정로,서울역, 용산, 을지로, 명동, 종로, 광화문에서도 오기편한 위치입니다!
간혹 신경치료 후에 꼭 크라운을 씌워야 하냐고 물으시는 분들이 계신데요
네! 대부분의 경우 크라운을 씌우셔야 합니다.
신경치료한 치아는 약해져있기 때문에 계속 사용하다 보면 깨져서 발치하게 되는 경우가 많은데요
그런 경우 크라운이 아니라 임플란트까지 가는 경우가 흔하게 있기 때문입니다.
아마 그런 질문을 하시는 이유는 크라운가격때문이 아닐까 생각되는데요
신경치료는 보험이라 나라에서 어느정도 보장해줘서 보험치료로 비용이 적게 나오지만
크라운은 비보험진료라서 비용이 어느정도 되기 때문입니다.
(포스팅 맨 아래에서 저희 치과 크라운 비용도 설명해드릴게요)
그렇다고 치아를 신경치료 후에 크랑누을 안한채로 방치해 두시다가는 임플란트를 하게 되십니다.
[포스팅된 사진은 환자분의 동의를 얻은 사진만 게시합니다]
신경치료 후 크라운을 하지 않는다면?


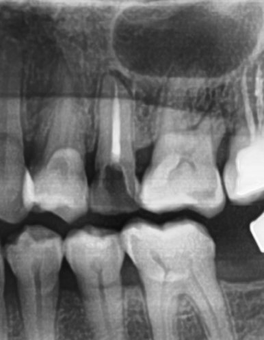
신경치료하고 크라운 안 한 치아->파절
신경치료하고 크라운 안 한 치아->파절이 흔합니다. 위 사진처럼 깎아서 크라운을 할 부위가 거의 없으면 잇몸위에다 크라운을 붙일 순 없겠죠. 발치가능성이 아주 커집니다.


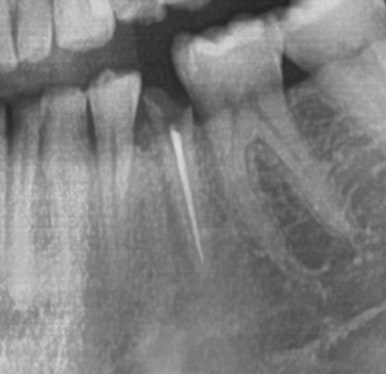
신경치료하고 크라운 안 한 치아->파절
위의 케이스도 비슷합니다.
신경치료를 외국에서 했는데 외국에서는 크라운 비용이 더 비싸다보니 방치해서
크라운으로 치아를 감싸지 못해 치아가 다 부러지고 저렇게 뿌리부분만 남아
크라운조차 할 수 없는 경우가 많습니다.
따라서 보통 어금니의 경우는 대부분 신경치료 후 크라운까지 하셔야 신경치료부터의 치료가 완료되게 되며
앞니의 경우 크라운을 하는 경우도 있고 간혹 하지 않아도 되는 케이스도 있으니
치과의사의 진단에 따르셔야 합니다.
시청역 연세예감치과, 자연스러운 지르코니아 크라운
아주 예전에는 크라운으로 골드를 사용했다면
요즘은 대부분의 치과에서 여러가지 이유로 지르코니아 크라운을 많이 사용하는데요
생체친화적이며, 강도도 꽤 높으며, 치아색상과 유사한 장점이 있기 때문입니다.
물론 골드크라운(금크라운)이 더 적절한 케이스는 골드크라운으로 진행합니다.
특히 저희 치과 지르코니아 크라운은 기공비가 나가더라도 확실하고 정확하게 만드는 곳에서
전문기공사가 만들어오고 있습니다.
간혹 저렴한 기공소의 경우는 치아의 형태를 살리지 않고 씹는 면도 밋밋하게 만들어오는 경우가 있어 문제가 되는데요


지르코니아 크라운 치료 전 후


지르코니아 크라운 치료 전후

또한 보철치료시 케이스에 따라 적절하게 구강스캔과 본 뜨는 것을 겸용하고 있습니다.
무조건 구강스캔이 좋은 것도, 무조건 본이 좋은 것도 아니라서
각각의 케이스와 재료에 맞게 가장 안정성이 높고 적절한 방법을 사용합니다.
[환자분의 동의 후 찍은 동영상입니다]
앞니 크라운의 경우는 어금니와 달리 더욱더 복잡한데요
앞니 크라운은 그 모양과 색에 특히 더 신경을 써야합니다.
아래 블로그 포스팅 참고해주세요
https://blog.naver.com/yonseiyegam/223752648029
크라운 비용은 얼마인가요?
2025년 기준 저희 연세예감치과 지르코니아 크라운 비용은
어금니 지르코니아크라운 : 50만원
앞니 지르코니아크라운: 65만원(앞니 두개이상시 개당60만원) 입니다.
*검진: 나라에서 정해놓은 건강보험치료비용 별도 별도적용
*기존 크라운이나 레진등 수복물 제거시: 나라에서 정해놓은 건강보험치료비용 별도
어금니와 앞니는 그 기능이 다르기 때문에 재료 자체도 다르게 들어갑니다.
일부러 외국인, 교포도 크라운하러 한국을 와서 찾아오는
저희 시청역 치과
연세예감치과의
지르코니아 크라운에 대해서 알아보았습니다.










