아카이브 요약
이 페이지의 역할
연세예감치과의원의 네이버 블로그 원문을 보존한 아카이브 페이지입니다. 치아미백 카테고리의 치아미백, 치과에서 하면 얼마나 오래갈까? 궁금하시다면, 실제사례 바탕으로 알아보아요 지속,유지 글을 통해 병원의 한국어 정보 제공 방식과 진료 관련 안내 톤을 확인할 수 있습니다.
원문 검증
필요하면 원문 블로그와 병원 프로필로 바로 이동해 문맥을 다시 확인할 수 있습니다.
출처 아카이브 열기아카이브된 블로그 글
연세예감치과의원 · Naver Blog
안녕하세요 시청역7번출구 직진 도보 3분거리(233m) 삼성본관 바로 맞은편에 위치한 연세 예감 치과입니다. 시청역에 위치하여, 서울 어디서든, 을지로,명동,충정로,신촌,이대,숙대,강남역 에서도 오기 편한 위치입니다. 날씨가 따뜻해지고, 모임, 결혼식 등이 많아지면서 치아미백을 알아보고 계시는 분들이 많은데요 아마...
게시일
2025년 5월 13일
원문 기준으로 확인된 발행일입니다.
카테고리
치아미백
원문 블로그 카테고리를 정리해 함께 표시합니다.
이미지 수
21
현재 아카이브에 연결된 이미지 수입니다.
아카이브 요약
연세예감치과의원의 네이버 블로그 원문을 보존한 아카이브 페이지입니다. 치아미백 카테고리의 치아미백, 치과에서 하면 얼마나 오래갈까? 궁금하시다면, 실제사례 바탕으로 알아보아요 지속,유지 글을 통해 병원의 한국어 정보 제공 방식과 진료 관련 안내 톤을 확인할 수 있습니다.
원문 검증
필요하면 원문 블로그와 병원 프로필로 바로 이동해 문맥을 다시 확인할 수 있습니다.
출처 아카이브 열기안녕하세요
시청역7번출구 직진 도보 3분거리(233m)
삼성본관 바로 맞은편에 위치한 연세 예감 치과입니다.
시청역에 위치하여, 서울 어디서든, 을지로,명동,충정로,신촌,이대,숙대,강남역 에서도 오기 편한 위치입니다.
날씨가 따뜻해지고, 모임, 결혼식 등이 많아지면서
치아미백을 알아보고 계시는 분들이 많은데요
아마 일반 미백치약이나 홈케어로 미백을 해보신 분들은 아시겠지만
그런 일반적으로 구할 수 있는 제품으로는 미백효과가 많이 떨어집니다.
치과에서 받는 전문 치아미백은 의료진이 사용하는 고농도의 약제와
기술력이 많이 들어간 고가의 치과전용 장비를 사용하기 때문에 더 빠른 효과와 안정성을 기대할 수 있습니다.
치아미백을 하기 전 많이 질문하시는 것 중 하나가
얼마나 지속되느냐 인데요.
이건 착색의 요소인 음식, 나이, 생활습관 등 각종요소에 좌우를 받기 때문에 사람마다 다르다 라고 답변드릴 수 밖에 없어요. 그리고 식사를 안하고 물만 먹을 수는 없기 때문에 아무래도 처음보다는 시간이 지날 수록 색이 돌아옵니다.
미백 주기를 설명드릴 때
보통은 꾸준히 관리하는 차원이라면 6개월에 한번씩 하는 정도로 설명드리는데요
실제 저희 치과의 내원하신 환자분들의 케이스를 통해서
얼마나 미백이 지속되는지 알아보겠습니다.
환자분의 동의를 얻은 사진만 게시합니다.
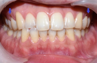
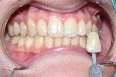
CASE 1. 미백 후 몇 달 만에 오신 환자분


당일 스케일링,화살표패인곳떼우는치료,미백2회 치료
보통 치아미백하러 오시면 원데이 3회를 하시는데
이분은 원데이 2회만 진행하신 분입니다.
커피를 너무 좋아해서 자주 마시기 때문에
다음에 또 추가로 원데이 2회를 더 하실거라고 하시면서 원데이 2회만 진행하셨습니다.
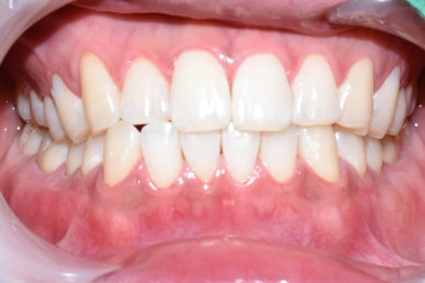
미백 원데이 2회만으로 왼쪽 사진에서 오른쪽 사진만큼 밝아졌습니다.
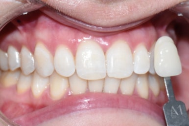
<6개월 후>


몇 달 후 오셔서 다시 치아미백 원데이2회 진행
6개월 정도 후에 오신 모습입니다.
위의 첫사진과 비교해봤을 때(미백을 전혀 하지 않은 때와 비교했을 때) 몇 달이 지났지만 처음만큼 어두워지지는 않은 것을 볼 수 있습니다.
또 미백 2회를 진행하여 오른쪽 만큼 밝아지셨습니다.
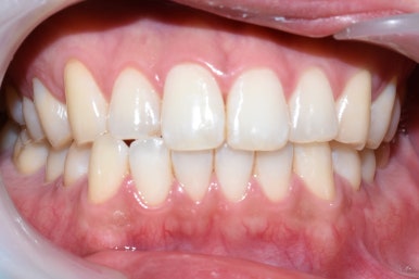
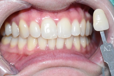
CASE 2. 치아미백 1년 후 오신 환자분


외국인 환자분입니다.
원래 미백 원데이2회를 생각하고 오셨는데 다른 분들보다 치아색이 많이 노래서 (실제로는 #A3보다 더 노래보이는 정도)
원데이 3회를 진행하셨을 정도로 치아가 노랬던 분입니다.
당일 원데이미백 3회 후 많이 밝아진 것을 볼 수 있습니다.
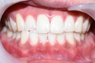
<1년 후>


1년후에 다시 한국을 방문하여
또 미백하러 오셨음에도 처음만큼 많이 노래지지는 않은 것을 볼 수 있었습니다.
이번에도 미백 3회를 진행하셨습니다.
저희 치과에서 치아미백을 진행하고 한참 후에 다시 또 오신
이런 케이스들을 보면 치과에서 제대로 치아미백을 하면
시간이 몇 달, 1년이 지나도 아주 처음만큼 노랗게 다시 돌아오지는 않은 것을 알 수 있습니다
[치과마다 미백 방법이 다르니 차이가 있을 수 있습니다!]
치아미백 가격. 비용
2026년 12월 31일까지 2026년 적용가능한
원데이 치아미백 가격알려드립니다.



파노라마 포함한 정밀 검진 후 미백 진행하고 있습니다.
: 검진 비용은 국민건강보험 적용됩니다.
원데이3회기준 33만원 (부가세 10프로 포함 36만3천원)입니다.
원데이2회기준 27만원 (부가세 10프로 포함 29만7천원)입니다.
-치아미백은 부가세를 받도록 법으로 정해져 있으며,
부가세 없이 진행하는 곳은 불법적인 루트로 진행되는 것입니다.
-시림 등의 부작용을 최소화하기 위해 반드시 구강검진 후에 미백치료 진행합니다.
-원데이 3회의 경우 2시간정도, 원데이 2회의 경우 1.5시간정도 걸리므로
시간 고려하여 내원 부탁드립니다.
-치아미백 후 2시간은 음식섭취 금지입니다.
https://blog.naver.com/yonseiyegam/223686449455
태국에 가면 타이마사지를 받듯
한국 서울을 외국인들이 방문시 치아미백 받으러
외국인 관광객들이 많이 찾아오는
서울 시청역 연세예감치과에서 알려드린 치아미백이었습니다.









