아카이브 요약
이 페이지의 역할
연세예감치과의원의 네이버 블로그 원문을 보존한 아카이브 페이지입니다. 충치치료 카테고리의 치아가 충치나 크랙으로 지르코니아 크라운을 해야한다면? 구강스캔사용치과의 지르코니아크라운 설명 글을 통해 병원의 한국어 정보 제공 방식과 진료 관련 안내 톤을 확인할 수 있습니다.
원문 검증
필요하면 원문 블로그와 병원 프로필로 바로 이동해 문맥을 다시 확인할 수 있습니다.
출처 아카이브 열기아카이브된 블로그 글
연세예감치과의원 · Naver Blog
크라운 치료를 고민 중이신가요? 자연치처럼 아름답고, 강도도 높은 지르코니아 크라운은 심미성과 기능을 모두 만족시켜 요즘 대부분의 치과에서 크라운의 재료르는 기본적으로 지르코니아를 사용합니다. 오늘은 지르코니아크라운에 대해서 서울 시청역 7번출구 직진 도보 3분 연세 예 감 치과 에서 알려드리겠습니다. 사진은 본원...
게시일
2025년 5월 31일
원문 기준으로 확인된 발행일입니다.
카테고리
충치치료
원문 블로그 카테고리를 정리해 함께 표시합니다.
이미지 수
19
현재 아카이브에 연결된 이미지 수입니다.
아카이브 요약
연세예감치과의원의 네이버 블로그 원문을 보존한 아카이브 페이지입니다. 충치치료 카테고리의 치아가 충치나 크랙으로 지르코니아 크라운을 해야한다면? 구강스캔사용치과의 지르코니아크라운 설명 글을 통해 병원의 한국어 정보 제공 방식과 진료 관련 안내 톤을 확인할 수 있습니다.
원문 검증
필요하면 원문 블로그와 병원 프로필로 바로 이동해 문맥을 다시 확인할 수 있습니다.
출처 아카이브 열기크라운 치료를 고민 중이신가요?
자연치처럼 아름답고, 강도도 높은 지르코니아 크라운은 심미성과 기능을 모두 만족시켜 요즘 대부분의 치과에서 크라운의 재료르는 기본적으로 지르코니아를 사용합니다.
오늘은 지르코니아크라운에 대해서
서울 시청역 7번출구 직진 도보 3분 연세 예 감 치과 에서
알려드리겠습니다.
사진은 본원의 실제 치료 사례이며, 환자 동의를 받아 게시되었습니다.
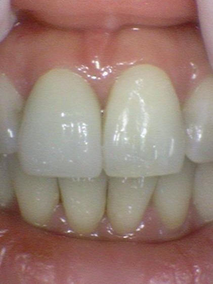
지르코니아 크라운
심미성과 강도를 모두 갖춘 소재를 사용한 지르코니아 크라운.
오래전 사용하던 골드크라운처럼 금색이 아니라 하얀 색이므로 티가 나지 않습니다.
앞니 중에 어떤게 지르코니아 크라운인지 티가 나시나요? ↓

앞니 중에 어떤게 지르코니아 크라운인지 티가 나시나요?


지르코니아크라운 진행과정
1차 내원: 진단 및 크라운 작업을 위한 치아다듬기 시작, 구강스캔
(저희 치과는 지르코니아 크라운을 위해서는 고무 본이 아닌 구강스캐너를 사용한 구강스캔을 이용하고 있습니다.)
치아를 깎아놓은 상태이므로 임시치아를 그 자리에서 직접 굳히면서 만들어드리고 장착하고 가셔야 해서
크라운 작업을 처음 시작하는 날은 1시간정도 생각하고 내원하시면 됩니다.
2차 내원: 지르코니아 크라운 장착 (보통 1주일안으로 영업일기준 3일후에 완성하여 장착가능)
저희는 원내기공소가 아닌
유명한 지르코니아크라운 전문 기공소에 크라운을 맡기고 있습니다.
저희 치과의 경우 지르코니아 크라운의 경우
고무본이 아닌 구강스캔을 사용합니다.
연세예감치과는 본 뜨는것이 아닌 구강스캔으로 지르코니아 크라운을 진행합니다.
구강스캔을 사용하여 제작이 용이한 재료 및 치료는 거의 정해져 있다고 보시면 되는데요,
지르코니아 크라운을 구강스캐너로 구강스캔을 뜰 경우
본을 뜰 경우 본 뜰 때의 오차, 본 뜬 틀에 석고를 부었을 때 팽창 수축 등에 의해 발생하는 오차 등이 구강스캔을 직접 환자입에서 뜨게되면 본을 뜨지 않아도 되어 그러한 오차가 사라집니다.
기존처럼 입에 끈적한 인상재를 물고 있지 않아도 됩니다. 고무에 의한 구역질 반사나 인상재에 대한 불편감이 최소화 됩니다.
구강스캔 데이터는 택배나 퀵 등의 배달 없이 즉시 기공소로 전송되어 운송시간을 줄이고 제작기간을 단축시킵니다. 따라서 저희 치과는 영업일 기준 3일후에 완성하여 환자 입안에 끼우는 것이 가능하므로 외국인
, 교포 분들도 한국에 단기간 관광하면서 크라운을 끼고 가는 것이 가능합니다.
이제는 구강스캔으로 더 편하고 정밀하게 !
시청역 연세예감치과는 디지털구강스캐너를 사용해 지르코니아 크라운을 제작합니다.


깨진 치아를 지르코니아 크라운으로 치료
위 케이스 지르코니아 크라운을 옆에서 본 사진 ↓

해외에서도 치료받기 위해 찾아오는 시청역 연세예감치과













시청역 치과 원장님 방송출연 사진