연세예감치과(시청역)
앞니가 작아 고민이신가요? 왜소치 무삭제 라미네이트로 자연스럽게 해결! 해외에서도 찾아오는 치과 비용까지
안녕하세요 서울 시청역 7번 출구 삼성본관빌딩 바로 앞에 위치한 연세예감치과입니다. 오늘은 왜소치 때문에 웃을 때 마다 스트레스 받으셨던 분들을 위한 포스팅입니다. 앞니가 너무 작아요. 옆니가 빠져보여요. 작은 앞니 때문에 까만 공간이 보여요 등등! 이런 고민이 왜소치에서부터 시작되는 경우가 많습니다. 특히 상악측...
아카이브 요약
이 페이지의 역할
연세예감치과(시청역) Yonsei Yegam Dental Clinic ヨンセイェガム歯科의 네이버 블로그 원문을 보존한 아카이브 페이지입니다. 치아성형 카테고리의 앞니가 작아 고민이신가요? 왜소치 무삭제 라미네이트로 자연스럽게 해결! 해외에서도 찾아오는 치과 비용까지 글을 통해 병원의 한국어 정보 제공 방식과 진료 관련 안내 톤을 확인할 수 있습니다.
안녕하세요
서울 시청역 7번 출구 삼성본관빌딩 바로 앞에 위치한 연세예감치과입니다.
오늘은 왜소치 때문에 웃을 때 마다 스트레스 받으셨던 분들을 위한 포스팅입니다.
앞니가 너무 작아요. 옆니가 빠져보여요. 작은 앞니 때문에 까만 공간이 보여요 등등!
이런 고민이 왜소치에서부터 시작되는 경우가 많습니다.
특히 상악측절치(대문니의 옆 치아: 정중앙에서 봤을 때 두번째 치아)가 유난히 작게 있는 경우가 많은데요
이런 경우 치아가 작아 옆공간이 비어 까만 공간이 보여 미소에 자신감이 떨어질 수 있습니다.
환자분의 동의를 얻은 사진만 게시합니다.

왜소치 라미네이트가 필요한 경우!
앞니 크기가 달라서 신경쓰이는 분
웃을 때 미소라인이 울퉁불퉁해 보이는 분
치아성형으로 빠르게 이미지 개선 원하는 분
왜소치 라미네이트를 통해
1.자연스러운 미소라인 복원
2.심미+기능개선: 음식물 끼임 방지 및 말할 때 발음 개선
등등 여러 효과를 볼 수 있습니다.
라미네이트! 절대 하지 말라고 인터넷에서 보셨나요?
살면서 충치나 치아깨짐 등등으로 크라운을 하게 되는 경우가 많은데요
라미네이트는 크라운보다 삭제량이 훨씬 적습니다. 따라서 크라운 보다 오히려 보존적입니다.
물론 멀쩡한 치아에 무작정 라미네이트를 하는 것도 좋지 않지만
왜소치로 인해 정신적인 스트레스를 받는다면,
라미네이트를 함으로써 그 정신적인 스트레스가 해소된다면
라미네이트 또한 좋은 치료법이 될 수 있습니다.
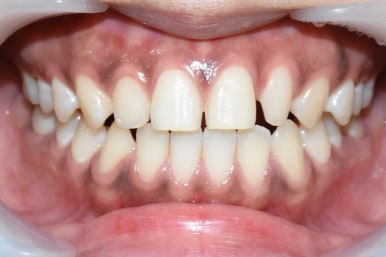
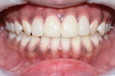
저희 시청역 연세예감치과의 실제 시술 사례입니다.
저희 연세예감치과는 해외에서도 외국인들 또한 일부러 한국 입국전에 예약해서
의료관광으로 라미네이트를 하러 오는 치과입니다.
라미네이트 시술 후기 ?
아래 전후 사진으로 비교하세요!


외국인 왜소치 라미네이트






라미네이트로 치아의 빈 공간 해결 (시청역 연세예감치과)
특히 왜소치 라미네이트는 치아가 기본적으로 작기 때문에
치아를 깎을 필요가 없습니다.
만약 왜소치가 아니라서
치아가 튀어나와있거나 더 크거나 하다면 정상 모양과 배치를 맞추기 위해
치아를 깎아야하겠지만
왜소치는 기본적으로 작기 때문에, 치아를 깎지 않는 무삭제 라미네이트가 가능한 좋은 케이스입니다.
라미네이트 가격, 비용 또한 궁금하시죠?
해외에서도 찾아오는 연세예감치과 라미네이트 비용 알려드립니다.
2026년 기준 서울 시청역 연세예감치과
라미네이트 가격(2026년 12월31일 작업시작시까지):
치아 개당 65만원
2개이상 진행시 개당 50만원
라미네이트와 치아미백은 미용목적진료이므로
법적인 부가세 10프로를 받도록 되어있습니다.
(1. 본 가격은 2개이상 부터 치아전후사진공개조건 가격입니다
2.사진공개를 원하지 않으시면, 개당 65만원에 진행가능합니다)
- 라미네이트 전 파노라마를 포함한 치과의사의 진단,상담이 필요합니다.
라미네이트 원하는 치아에 충치가 있는 경우
충치제거나 충치치료 후 라미네이트를 해야 할 수 있습니다.
- 라미네이트 제작기간은
대략 1개는 일주일, 2개이상은 8~10일 정도 입니다.)
라미네이트 이벤트 문의는
카톡예약과 문의 카카오톡채널 - 연세예감치과(클릭)
또는 카카오톡 아이디 ID: yonseiyegam 으로도 문의 가능합니다.
연 세 예 감 치과 네이버예약 네이버 예약 클릭
카톡 아이디 ID: yonseiyegam 친구추가하여 문의하시거나
또는 카톡채널(클릭) 으로 문의주셔도 됩니다!
앞니 작음을 해결하기 위한 방법!
무삭제 라미네이트! 고려해보세요.
지금까지 해외에서도 라미네이트하기위해 찾아오는
연세예감치과에서 알려드린 왜소치 라미네이트였습니다.

다른치과 오른쪽 임플란트와 색을 맞추기 위한 윗니 6개 라미네이트 (외국인)











서울시 인증 6년연속 서울특별시 의료관광 협력기관 치과 (2022~2027)
더 보기
이 병원의 공개 콘텐츠를 계속 살펴보세요
출처 아카이브로 돌아가 더 많은 글을 보거나, 병원 프로필로 이동해 다른 공개 채널도 함께 비교해보세요.