아카이브 요약
이 페이지의 역할
연세예감치과의원의 네이버 블로그 원문을 보존한 아카이브 페이지입니다. 충치치료 카테고리의 보여주는 충치치료, 믿고 치료받으세요. 서울시에서도 인증한 해외에서도 찾아오는 시청역치과 글을 통해 병원의 한국어 정보 제공 방식과 진료 관련 안내 톤을 확인할 수 있습니다.
원문 검증
필요하면 원문 블로그와 병원 프로필로 바로 이동해 문맥을 다시 확인할 수 있습니다.
출처 아카이브 열기아카이브된 블로그 글
연세예감치과의원 · Naver Blog
안녕하세요 서울 시청역 인근에 위치한 연세 예 감 치과입니다. 1호선,2호선 시청역 7번출구 기준 도보 3분(233m), 시청역 삼성본관 바로 맞은편에 위치하고 있습니다. 저희 치과 환자층은 주로 시청역 광화문 서울역 충정로 주변 기업 직장인들이고, 그리고 또 많은 비율을 차지하는 분들이 해외에 거주하는 교포분들과 한...
게시일
2025년 7월 15일
원문 기준으로 확인된 발행일입니다.
카테고리
충치치료
원문 블로그 카테고리를 정리해 함께 표시합니다.
이미지 수
29
현재 아카이브에 연결된 이미지 수입니다.
아카이브 요약
연세예감치과의원의 네이버 블로그 원문을 보존한 아카이브 페이지입니다. 충치치료 카테고리의 보여주는 충치치료, 믿고 치료받으세요. 서울시에서도 인증한 해외에서도 찾아오는 시청역치과 글을 통해 병원의 한국어 정보 제공 방식과 진료 관련 안내 톤을 확인할 수 있습니다.
원문 검증
필요하면 원문 블로그와 병원 프로필로 바로 이동해 문맥을 다시 확인할 수 있습니다.
출처 아카이브 열기안녕하세요 서울 시청역 인근에 위치한 연세 예 감 치과입니다.
1호선,2호선 시청역 7번출구 기준 도보 3분(233m),
시청역 삼성본관 바로 맞은편에 위치하고 있습니다.
저희 치과 환자층은 주로
시청역 광화문 서울역 충정로 주변 기업 직장인들이고,
그리고 또 많은 비율을 차지하는 분들이
해외에 거주하는 교포분들과 한국에 관광온 외국인 환자분,
한국에 거주하시는 대사관관계자분들 등 외국인 분들인데요
왜 이렇게 많은 외국인 및 교포분들과 외국인 환자분들께서 저희 치과를 찾아주시는지
한국인분들도 솔깃할 그 이유를 알려드릴게요


시청역치과
충치치료, 그냥 설명만 듣고 치료 받으세요?
저희는 '사진공유'와 '설명'을 먼저 합니다.
대부분의 치료해야하는 부위는 사진을 찍어서 직접 모니터로 보고 보여드립니다.
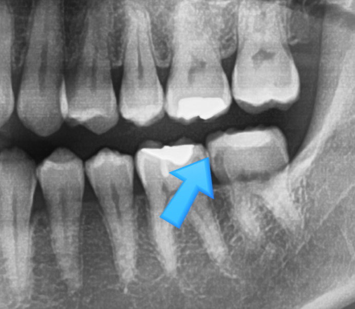
특히, 치아 속에 있는 충치는 눈으로는 보이지 않고, 엑스레이에서 볼 수 있는데요
오히려 이런 겉으로는 검게 보이지 않는 치아 속 충치가 더 위험합니다. 속에 위치하므로 더 깊기 때문이죠.
[아래 사진은 환자분이 공개에 동의한 사진입니다]

위 사진에서 치료가 필요한 충치가 보이시나요?

엑스레이에서는 명확히 알 수 있는데요


왼쪽처럼 겉에서는 멀쩡해보이는 치아도 파보면 충치가 있는 것을 확인할 수 있습니다.
위 사진에서 보듯이 왼쪽처럼 겉에서는 멀쩡해보이는 치아도 파보면 충치가 있는 것을 확인할 수 있습니다.
보여주는 치료.
이렇게 깊은 충치들을 사진을 찍어서 보여드리기 때문에 환자분들이 충치치료를 하고도
왜 충치가 안보이는데 치료를 했지? 라는 찝찝함을 없애드립니다.
상담자=충치치료 시술자=원장님입니다.
환자분들이, 특히 외국인분들이 가장 만족하시는 포인트는
바로 상담한 의사가 직접 치료한다 는 점입니다.
병원에 따라 상담은 따로, 충치치료나 잇몸치료, 임플란트 수술을 다른 의사가 진행하는 경우가 있는데요
이런 경우 실제 시술자가 봤을 때 적절하지 않은 치료를 상담자의 말에 끌려서 진행하는 문제가 생기기도 합니다.
하지만 저희는 상담과 진단, 진료를 원장님이 하시기 때문에
상담내용과 실제 치료가 다르지 않습니다.
예를 들어, 저의 경험을 예로 들자면
미용실을 갔는데 상담한 사람과 실제로 머리를 잘라준 사람이 달라서
상담한 내용과 전혀다른 디자인의 머리스타일이 나온 적이 있어요.
한 번 다른 사람의 말을 거칠 경우 말이 왜곡될 수 있기 때문에
의사소통의 오류를 줄이기 위해서도
상담자=충치치료, 잇몸치료, 임플란트 치료자는 같은 치과의사 원장님으로 진행됩니다.
특히 외국인들의 경우
우리나라의 실장만 상담하는 경우,
또는 이 사람이 상담했는데 다른 사람이 진료한다는 것을 이해하지 못할 때가 많고
치과 지식이 없고 통역만 할 수 있는 통역상담자가 얘기한 것과 실제 치료가 달라지는 경우가 많아
이런 부분들을 피하기 위해 직접 원장님이 상담하는 저희 연세예감치과를 찾아주십니다.
"As the dental consultation is directly done with the dentist without interpreter, we have less risk of communicating errors. "
이것이 저희 연세예감치과의 외국인 치료의 가장 큰 핵심입니다.






무통마취로 유명한 치과
저희 연세예감치과는 환자분들의 마취시의 통증경감을 위해 무통 마취기를 사용합니다.
디지털무통마취기를 사용하여 마취액이 들어가는 속도를 기계적으로 줄여서
마취액이 들어가면서 느껴지는 불쾌감을 최소화 합니다.
마취할 때 바늘이 들어간 느낌이 들어가지 않아서 마취한 거 맞냐는 얘기도 많이 듣는데요
특히 치과공포증 있는 분들이 많이 찾아오시는 치과이다 보니
마취하고 나서 외국인분들 포함해서 신기해하는 분들이 많습니다!

무통마취 치과
이런 부분들로 많은 신뢰감을 얻어
저희 연세예감치과는 벌써 서울 시청역에 자리잡고 개원한지 8년차가 되었습니다(2025년기준)
10년차 이상의 전문의 여자 원장님이 진료하시며,
시청역 주변의 우리나라의 경제를 책임지고 있는
많은 직장인분들이 치통 걱정없이 빠르고 정확하게 진료할 수 있다는 장점과
외국인들에게 한국의료의 우수성을 널리 알리고 있다는 점에서 자부심을 갖고 일하고 있습니다.
서울시에서도 예외적으로 저희 연세예감치과를 아낌없이 지원해주고 있는데요


2022년 1월2024년 12월, 2025년1월2027년12월까지
6년 연속 서울시에서 인증한 서울특별시 의료관광 협력기관으로 선정되어
서울특별시장님의 직인이 찍힌 증서도 받았습니다.


저희 치과 간판, 서울시에서 직접 제작해주신 것 알고계신가요?

서울시에서 직접 제작해주신 거랍니다.
이렇게 많은 곳에서 인정해주시고 도와주고 계셔서
저희도 정성을 다해 환자분들을 치료하고 있습니다.
특히 많은 각국 대사관에서 대사관 외교관 환자분들도 보내주고 계십니다.










치과공포증이 있거나
치과치료를 안받은지 오래되는 분들,
한국에 머무르게 되는 외국인분들이나 교포분들
모두 연세예감치과에서 건강하고 아름다운 치아를 가져보세요.
임플란트 수술 중에는 다른 환자를 볼 수 없으니 될 수 있으면 예약 후 방문 부탁드립니다.
아래 지도 클릭하여 네이버예약도 가능합니다!
