연세예감치과(시청역)
해외에서도 찾아오는 앞니레진치료, 광화문 시청역 서울역 근처 연세예감치과 외국인도 찾는 이유
안녕하세요 서울 시청역 7번출구, 삼성본관 바로 맞은편에 위치한 연세예감치과입니다. 앞니는 웃을 때 가장 먼저 시선을 받는 부위이죠 작은 깨짐, 틈, 변색, 보이는 충치, 또는 앞니 벌어짐만 있어도 인상과 자신감에 영향을 줍니다. 앞니 레진은? Composite resin이라고 불리는 복합레진은 생체친화적 소재...
아카이브 요약
이 페이지의 역할
연세예감치과(시청역) Yonsei Yegam Dental Clinic ヨンセイェガム歯科의 네이버 블로그 원문을 보존한 아카이브 페이지입니다. 충치치료 카테고리의 해외에서도 찾아오는 앞니레진치료, 광화문 시청역 서울역 근처 연세예감치과 외국인도 찾는 이유 글을 통해 병원의 한국어 정보 제공 방식과 진료 관련 안내 톤을 확인할 수 있습니다.
안녕하세요
서울 시청역 7번출구, 삼성본관 바로 맞은편에 위치한
연세예감치과입니다.
앞니는 웃을 때 가장 먼저 시선을 받는 부위이죠
작은 깨짐, 틈, 변색, 보이는 충치, 또는 앞니 벌어짐만 있어도 인상과 자신감에 영향을 줍니다.
앞니 레진은?
Composite resin이라고 불리는 복합레진은 생체친화적 소재로 치아에 부착되는 충전재입니다.
거두절미하고, 백문이 불여일견이니
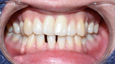
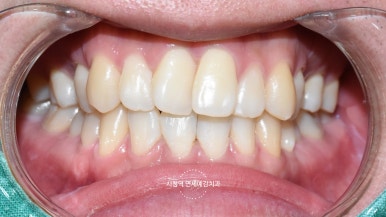
앞니레진. 저희 치과에서 진행한 앞니 레진치료 사진
전후사진 여러 케이스들을 공개합니다.
[환자분들의 동의를 얻은 사진만 게시합니다.]
- 앞니 화이트 스팟 치료


화이트스팟, 반점치 전후 사진
앞니사이 충치치료


앞니사이 충치치료
깨진 앞니 치료


살짝 깨진 앞니 치료
치경부마모(치아 목부위 패인 부위, 시린부분) 레진


치경부 마모 레진치료
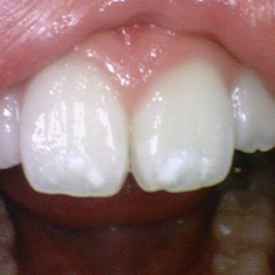
다이아스테마(앞니 사이 벌어진 부분) 레진 치료


다이아스테마 레진치료
치료받은 환자분들
이 남겨주시는 말씀들
"너무 자연스러워서 어디를 했는지 모르겠어요"
"해외에서 살다가 일부러 잘하는 치과 찾아서 왔는데 정말 만족해요"
또 다른 앞니 치료환자의 네이버리뷰도 한 번 볼게요!

앞니 치료의 경우 어금니와 달리 색상, 모양 등을 맞추기가 굉장히 힘들기 때문에
대부분의 치과에서 앞니 치료비용이 어금니 보다 비쌉니다.
그럼에도 불구하고 위의 리뷰처럼 다른 치과 앞니가 사실상 저희 앞니치료비용보다 더 비싼 경우가 많아요

앞니 레진치료 만족한 환자분 메세지
↑Gap filling(앞니 다이아스테마) 레진 치료 후 만족하신 외국인 환자분.
I can't stop looking at it 이라고 만족해서 자꾸 보게 된다고 하시네요
레진 치료는
적절한 시간만 된다면 당일 치료가 가능한 치료입니다.
진단-> 상담-> 당일치료 원하시고 치과 및 환자분이 치료를 위한 시간이 있다면 당일 치료완료 가능합니다.
레진은 치과 충치치료 중 거의 최소 삭제가 가능한 치료라고 생각하시면 됩니다.
모양을 만들어야 해서 치아를 전반적으로 깎아야하는 크라운과 달리 치아를 필요한 충치 부위 등만 깎아서 레진을 충전하는 것이 가능합니다.

앞니 레진치료의 핵심은 색상과 모양인데요
색이 상대적으로 덜 중요한 어금니는 흰색만 대략적으로 맞추면 입안에서 잘 보이지 않는데 반해
앞니는 바로 보이는 부위라 색상 및 모양이 매우 중요합니다.
특히 색상은 사람마다, 치아마다도 한 색상,밝기,명도가 아니라 너무나도 다양하기 때문에 앞니의 경우 다양한 레진이 필요하며
외국인들도 앞니 레진을 하기위해 찾아오는 저희 연세예감치과에서는
그만큼 다양하고 자연스러운 여러 브랜드의 레진과 색상을 구비하고 있습니다.
앞니 레진의 가격은 10만원에서 35만원까지
그 범위가 굉장히 다양하며
케이스와 부위에 따라 난이도가 상이하므로 가격이 다릅니다.
특정 케이스에 대한 설명은 아래 링크 참고해주세요
모든 케이스는 치료하시는 원장님의 진단 하에 가능하다고 진단받은 경우에만 진행됩니다.
https://blog.naver.com/yonseiyegam/223353579370
https://blog.naver.com/yonseiyegam/223746229223
깨진 치아 레진치료 방법 실제사진 : 네이버 블로그
지금까지 해외에서도
레진치료를 받기 위해 찾아오는 연 세 예 감 치과에서
앞니 레진 치료에 대해 알려드렸습니다!










더 보기
이 병원의 공개 콘텐츠를 계속 살펴보세요
출처 아카이브로 돌아가 더 많은 글을 보거나, 병원 프로필로 이동해 다른 공개 채널도 함께 비교해보세요.