연세예감치과(시청역)
서울시청 용산 치아미백 잘 하는 치과, 예비신랑신부, 외국인, 교포들이 일부러 치아미백하러 찾아오는 치과
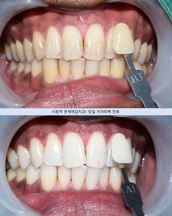
안녕하세요 서울 시청역 7번 출구 시청역 연세예감치과입니다. 서울역, 충정로, 광화문, 아현 역, 용산 등등 서울 어디에서도 찾아오기 편한 위치에, 심지어 해외에서도 찾아오는 치과입니다. 예 쁜 치아를 위해 치아미백을 생각하는 분들이 많으실 거예요! 특히 요즘은 "관리"가 대세이다 보니, 관리의 끝, 입안도 관리하려면 미...
아카이브 요약
이 페이지의 역할
연세예감치과(시청역) Yonsei Yegam Dental Clinic ヨンセイェガム歯科의 네이버 블로그 원문을 보존한 아카이브 페이지입니다. 치아미백 카테고리의 서울시청 용산 치아미백 잘 하는 치과, 예비신랑신부, 외국인, 교포들이 일부러 치아미백하러 찾아오는 치과 글을 통해 병원의 한국어 정보 제공 방식과 진료 관련 안내 톤을 확인할 수 있습니다.
안녕하세요 서울 시청역 7번 출구 시청역 연세예감치과입니다.
서울역, 충정로, 광화문, 아현 역, 용산 등등 서울 어디에서도 찾아오기 편한 위치에,
심지어 해외에서도 찾아오는 치과입니다.
예 쁜 치아를 위해 치아미백을 생각하는 분들이 많으실 거예요!
특히 요즘은 "관리"가 대세이다 보니, 관리의 끝, 입안도 관리하려면 미백을 해야 완성이죠!
치아미백 노하우
치아 미백이 단순히 미백제와 미백기계로만 이루어 진다고 생각하는 분들이 계신데 아닙니다!!
치아미백은 노하우가 필요한 진료인데요
한국인들에 비해 외국인들, 특히 서양인들이 가장 선호하는 치과치료가 뭔지 아시나요?
치아미백입니다.
저희 서울 시청역 연세예감치과는 외국인들에게 유명한 치과인데요
명동, 남대문, 광화문, 덕수궁 근처에 위치하여 외국인 관광객이 들르는 치과로 유명합니다.
관광객들이 보통 뭐하러 오냐구요? 치아 미백하러요
따라서 저희 치과의 2018년 개원 이래 외국인관광객 포함 수많은 치아미백 데이터에 의해
노하우가 엄청나게 쌓였습니다. (원장님은 치과의사 10년차 이상)
저희 치과가 구비하고 있는 다양한 미백제와 미백기계

연세예감치과가 구비한 다양한 미백제
서울 시청역 연세예감치과, 저희 치과는 원장님이 여자원장님이라 미백에 관심이 많으셔서
어떤 제품이 제일 좋은지 어떻게 전처리를 해야하는지 다루 는 노하우가 있답니다
미백제가 정말 다양하게 있고, 저희 치아에도 해보고요.
그리고 기계도 이런 비싼 미백기계를 여러개 두는 치과 보셨어요?

시청역 연세예감치과가 구비한 다양한 미백기계
치아미백에서 환자분들이 가장 힘들어 하시는 게
큰 미백기 아래에서 오도가도 못하고 절대 못움직이고 갇힌 채 (미백기를 입에 딱 붙이고 있어야 하니까요) 긴 시간을 있어야 한다는 것인데요
저희가 최근 몇 년 전에 도입한 한국치과기업 중 가장 no.1인 기업이 만든 미백기인
목걸이형 미백기는 최신기계로 효과도 좋으면서 움직일 수도 있어서 환자분들의 선호도가 큽니다.
미백하는 동안 휴대폰도 할 수 있어요!
저희 치과는 워낙 미백하러 오시는 분들이 많아서 목걸이형 미백기를 여러 대 보유하고 있답니다.

예전 형식의 미백기 vs 목걸이형 형식의 최신 미백기
부작용 방지
치아미백을 하러 오시는 분들이 가장 두려워하시는 부분이 치아 미백 후 시림인데요
이런 치아미백시 시림이 없기 위한 노하우가 또 필요하죠.
정기적으로 오는 외국인도 있을 정도니까 보통 미백 후
저희 치과에서 검진하고 정상적으로 상담받고 시릴 것으로 예상될 부분을 치료하고 미백하신다면 시림을 피해서 미백하실 수 있을 겁니다.
미백에 대한 지식과 노하우
저희 연세예감치과 원장님은 2013년에 오스템 스탠드형 미백기랑 미백제가 출시되기 전에
3명의 동기들과 함께 오스템 부산 공장에도 직접 내려갔다오셨대요.
거기서 직접 상품 출시전 데모도 하시고 개발자로부터 설명도 들으셨답니다.
이 정도면 치아미백에 대한 전문성이 확실하겠죠?
치아미백 가격 설명드릴게요
2026년 연세예감치과 치아미백 가격 비용
☆파노라마 포함한 치아 검진 (미백전 치아상태파악과 부작용방지를 위해 필수입니다):
건강보험료 적용
(한국국민건강보험 없을 경우 미백위한 검진 비보험 15000원)
☆옵션i) 미백 원데이 3회 = 하루에 미백3회가 들어가는 치료) : 33만원 .부가세10%포함 36만3천원
☆옵션ii) 미백 원데이 2회 = 하루에 미백2회가 들어가는 치료) : 27만원. 부가세10%포함 29만7천원
- 치아미백은 성형외과나 피부과 진료처럼 법적으로 부가세가 정해져 있는 치료입니다.
치아미백, 1회로 홍보하는 곳은 미끼상품일 뿐이구요
치아미백은 원데이로는 원데이2회 또는 원데이3회까지 진행하셔야
눈에 보일만한 효과가 느껴집니다.: 대부분의 미백제 제조회사가 권장하는게 3회입니다.
요즘 대부분의 치과에서는 적절한 효과를 위해 원데이 3회로 진행합니다.
미백은 검진, 잇몸보호제도포시간, 약제바르는 시간, 라이트 쬐는 시간 등
시간이 많이 걸리는 진료이니 예약필수이며
치아미백은 전처리 과정이 복잡하고 길기 때문에
원데이 3회의 경우 1.5시간이상 2시간내외,
원데이 2회의 경우 1시간이상 1.5시간 내외로 생각하고 예약주시는 것이 좋습니다.
(원데이 1회는 진행하지 않습니다)
주의사항: 미백 후 2시간은 물 이외 식사 금지이므로 참고해주세요



지금까지 해외에서도 치아미백하러 외국인들이 찾아오는
서울 시청역 연세예감치과에서 치아미백에 대해 알려드렸습니다!












더 보기
이 병원의 공개 콘텐츠를 계속 살펴보세요
출처 아카이브로 돌아가 더 많은 글을 보거나, 병원 프로필로 이동해 다른 공개 채널도 함께 비교해보세요.