연세예감치과(시청역)
넘어져서 또는 부딪혀서 앞니 아주 많이 부러진 경우, 시청역치과 실제 앞니브릿지케이스
요새 너무 춥죠? 갑자기 추운 겨울이 찾아온 것 같아요. 이런 겨울이 될 때마다 급격히 늘어나는, 미끄러워서 넘어져서 치아가 부러진 환자분들... 연말 회식으로 술을 많이 드시고 어디 부딪혀서 앞니가 부러진 환자분들... 오늘은 서울 시청역 연세예감치과에서 앞니가 부러진 환자분. 즉 외상환자분의 앞니 브릿지 케이스...
아카이브 요약
이 페이지의 역할
연세예감치과(시청역) Yonsei Yegam Dental Clinic ヨンセイェガム歯科의 네이버 블로그 원문을 보존한 아카이브 페이지입니다. 치아외상 카테고리의 넘어져서 또는 부딪혀서 앞니 아주 많이 부러진 경우, 시청역치과 실제 앞니브릿지케이스 글을 통해 병원의 한국어 정보 제공 방식과 진료 관련 안내 톤을 확인할 수 있습니다.
요새 너무 춥죠? 갑자기 추운 겨울이 찾아온 것 같아요.
이런 겨울이 될 때마다 급격히 늘어나는,
미끄러워서 넘어져서 치아가 부러진 환자분들...
연말 회식으로 술을 많이 드시고 어디 부딪혀서 앞니가 부러진 환자분들...
오늘은 서울 시청역 연세예감치과에서
앞니가 부러진 환자분. 즉 외상환자분의 앞니 브릿지 케이스를 소개해드리고자 합니다.
[환자분의 사진 공개 동의를 받은 케이스입니다. 공개 동의를 받은 케이스만 게시합니다]
서울 시청역 연세 예감 치과
시청역 7번출구에서 직진 도보 3분(233미터)이며
삼성본관 빌딩 바로 맞은편에 위치하고 있습니다.
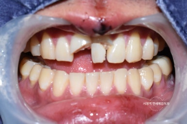
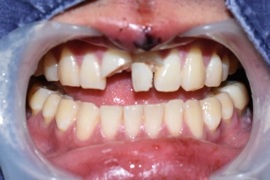
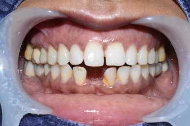
기둥에 부딪혀서 치아가 많이 부러진 환자분입니다.


보기만 해도 앞니가 많이 부러져 있죠?
앞니 대문이가 반이상 깨지고 붙어있는 것도 덜렁덜렁한 상태입니다.
보기만 해도 아픈 상태입니다.
치아 신경도 노출되고 치아도 조각나고 난리인데요,
치아가 넘어져서 깨지는 경우 그 치아만 크라운을 하는 경우가 가장 흔하긴 한데,
깎아서 크라운 하는 것도 어느정도 치아가 남아있어야 하는 것이고
너무 치아가 많이 파절되었기 때문에 발치로 결정하였습니다.
발치 후 임플란트냐, 브릿지냐 그것이 고민이실 텐데요
임플란트의 경우 임플란트수술 후 임플란트가 뼈랑 붙을 때까지 충분히 몇 달 기다린 후
임플란트 머리가 완성되기 때문에 시간이 오래걸리며, 앞니의 경우 뼈가 보통 얇다보니 임플란트 예후가 어금니보다는 안정적이지는 않을 수 있습니다.
브릿지의 경우는 양 옆의 치아를 깎아서 거는 건데요
브릿지는 양옆의 치아를 깎아야한다는 단점이 있지만 양 옆의 치아가 이미 충치가 있거나 이미 크라운이 되어 있는 경우, 또는 임플란트보다는 그래도 빠르게 최종 완성을 원하는 경우에 브릿지를 시행할 수 있습니다.
임플란트의 경우 임플란트 수술 후 위 앞니의 경우 보통 4개월정도 기다리고 임플란트머리가 완성되는데 반해
브릿지의 경우 발치 후 잇몸이 아물기를 최소 한달정도 기다리고(물론 더 기다리면 좋습니다) 브릿지 작업을 들어가서 옆치아를 깎은 후 일주일 정도면 브릿지는 완성되므로 기간자체는 브릿지가 훨씬 짧습니다.
그래서 갑자기 사고를 당해 앞니가 없어지신 분들은
당연히 기간이 짧은 걸 선호해서 브릿지를 선택하시는 경우도 흔합니다.
(발치 후 잇몸이 아물동안은 빈채로 지낼 수는 없으니 임시치아를 끼고 계시게 됩니다)
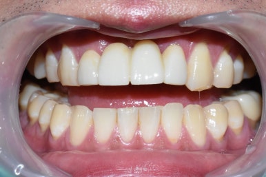
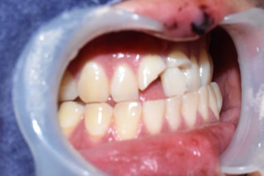
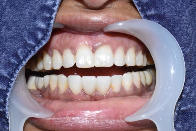
일단 앞니브릿지
먼저 전후사진부터 보여드릴게요!


깨진 치아 브릿지 전후 사진입니다.
치과 브릿지 작업과정
브릿지 작업과정은 아래 그림과 같습니다.


- -> 2.


3 -> 4
옆 치아를 깎고 기공소에서 브릿지를 만들어와서 치과에서 브릿지를 붙이게 됩니다.
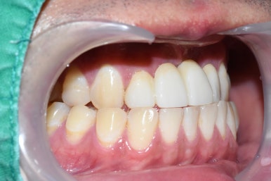
부러진 앞니 브릿지 전후사진


부러진 앞니 브릿지 전후사진


부러진 앞니 브릿지 전후사진


부러진 앞니 브릿지 전후사진
원래도 앞니가 들어간 부정교합이셨는데 브릿지를 하면서 들어갔던 앞니를 정상처럼 원래보다는 약간 나오게 제작하였고 가장 잘 보이는 앞니 4개를 조금 더 밝은 색으로 제작하여
전체적으로 치아들이 밝게 보이는 이미지로 들어갔습니다.
아래 앞니 브릿지 환자사진도 보여드릴게요
이분 같은 경우는 외국인인데 다른 치과에서 아랫니를 뺀지 오래 되셨고
한국에서 빨리 치료 받고 출국하기를 원하셔서 임플란트보다는 브릿지로 진행하였습니다.


겨울마다 넘어져서 이가 깨져서 오시거나 빠져서 오시는 분들이 굉장히 많아요
이가 깨졌다고해서 모두 동일하게 진행해야하는 것이 아니라
깨진 정도, 증상에 따라
레진, 크라운, 브릿지, 임플란트 등 치료방법이 케이스에 따라 다르기 때문에
치료를 직접 시행할 치과의사에게 진단받고 상담하셔야 합니다.
겨울철에 미끄러짐, 사고 등등
모두 주의하시고 다른 케이스들도 아래 링크에 있으니 참고해주세요!
https://blog.naver.com/yonseiyegam/222619692686
이가 빠졌어요. 이 빠진 환자 보철 환자 케이.. : 네이버블로그
[서울역/충정로/치과] 앞니깨짐 - 앞니깨진 .. : 네이버블로그
해외에서도 아름답고 바른, 건강한 치아를 위해 찾아오는
시청역 연세 예감 치과










서울시 인증 의료관광협력기관


더 보기
이 병원의 공개 콘텐츠를 계속 살펴보세요
출처 아카이브로 돌아가 더 많은 글을 보거나, 병원 프로필로 이동해 다른 공개 채널도 함께 비교해보세요.