연세예감치과(시청역)
앞니 치아가 부러졌다면? 앞니부러짐 시청역 서울역 치과 치료사례
시청역 7번출구 도보 직진 3분, 삼성본관 바로 맞은편에 위치한 시청역 연세 예감 치과입니다. 서울역,광화문, 을지로, 충정로, 서대문역 에서도 오기 편한 위치입니다 요즘 날씨가 너무 춥죠? 며칠 전 첫눈이 오고 빙판길이 되어 정말 미끄러웠는데요 이런 겨울일 수록 넘어짐, 외상, 계단에서 미끄러짐, 또 연말에는 음...
아카이브 요약
이 페이지의 역할
연세예감치과(시청역) Yonsei Yegam Dental Clinic ヨンセイェガム歯科의 네이버 블로그 원문을 보존한 아카이브 페이지입니다. 치아외상 카테고리의 앞니 치아가 부러졌다면? 앞니부러짐 시청역 서울역 치과 치료사례 글을 통해 병원의 한국어 정보 제공 방식과 진료 관련 안내 톤을 확인할 수 있습니다.
시청역 7번출구 도보 직진 3분, 삼성본관 바로 맞은편에 위치한
시청역 연세 예감 치과입니다.
서울역,광화문, 을지로, 충정로, 서대문역 에서도 오기 편한 위치입니다
요즘 날씨가 너무 춥죠?
며칠 전 첫눈이 오고 빙판길이 되어 정말 미끄러웠는데요
이런 겨울일 수록 넘어짐, 외상, 계단에서 미끄러짐, 또 연말에는 음주 후 넘어짐 다툼 등으로 치아가 파절되어 오시는 분들이 많습니다.
보통 넘어지는 경우 어금니 보다는 앞니가 부러지게 되는데요
서울 시청역 인근에 있는 연세예감치과에서는
한국인 환자분들 뿐만 아니라 외국인 관광객들도(외국인 관광객들이 주로 연말 홀리데이 시즌에 한국방문을 하다보니 미끄러지거나 다치는 경우가 많더라구요) 앞니 치료를 위해 찾아오기 떄문에
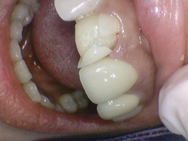
앞니가 부러진 환자 사례로 알려드리는, 어떤 치료가 가능하고 어떻게 치료되었는지 실제 치료 사진 보여드릴게요!
[환자분들의 동의를 얻은 케이스만 게시합니다]
앞니가 빼야 할 정도로 너무 많이 부러졌는데 임플란트 말고 브릿지로 해결한 케이스






앞니 작은 부위 부러져서 레진으로 치료한 케이스


타치과 보철 파절되어 앞니크라운 한 케이스


앞니가 넘어져 부러져서 앞니크라운 2개 한 케이스

앞니가 깨진 케이스라도 깨진 범위와 상태에 따라 재료, 치료방법이 모두 다릅니다.
또한 앞니는 어금니와 다르게 심미적인 치료가 필요한 부분으로
모양, 색깔이 사람마다 제각각이므로 어금니 보다 훨씬 고난도의 기술을 요하는 치료입니다.
꼭 믿을수 있는 치과에서 치과의사와 직접 상담하여
치료의 방법과 계획을 상담받으셔야 합니다.
지금까지 넘어짐 사고가 많은 겨울철에
시청역 연세예감치과 에서 알려드린
깨진 앞니 치료법 케이스였습니다.
↓아래 지도 클릭하여 네이버예약 가능합니다.











더 보기
이 병원의 공개 콘텐츠를 계속 살펴보세요
출처 아카이브로 돌아가 더 많은 글을 보거나, 병원 프로필로 이동해 다른 공개 채널도 함께 비교해보세요.