연세예감치과(시청역)
치아미백 유명한 치과, 외국인 관광객도 관광와서 하고 가는 치아미백
안녕하세요 서울 시청역 삼성본관 바로 맞은편에 위치한 연세 예감 치과 입니다. 시청역 7번출구에서 직진 도보3분거리(233미터)에 위치하여 시청역 뿐만 아니라, 서대문역, 서울역, 충정로역, 마포역, 숙대입구역, 광화문, 을지로 등 어느곳에서도 오기 편한 위치입니다. 요즘은 결혼식, 웨딩촬영, 연말이니 연말모임, 면접...
아카이브 요약
이 페이지의 역할
연세예감치과(시청역) Yonsei Yegam Dental Clinic ヨンセイェガム歯科의 네이버 블로그 원문을 보존한 아카이브 페이지입니다. 치아미백 카테고리의 치아미백 유명한 치과, 외국인 관광객도 관광와서 하고 가는 치아미백 글을 통해 병원의 한국어 정보 제공 방식과 진료 관련 안내 톤을 확인할 수 있습니다.
안녕하세요 서울 시청역 삼성본관 바로 맞은편에 위치한 연세 예감 치과 입니다.
시청역 7번출구에서 직진 도보3분거리(233미터)에 위치하여
시청역 뿐만 아니라, 서대문역, 서울역, 충정로역, 마포역, 숙대입구역, 광화문, 을지로 등 어느곳에서도 오기 편한
위치입니다.
요즘은 결혼식, 웨딩촬영, 연말이니 연말모임, 면접, 방송 등
치아미백은 피부과 시술처럼 기본 루틴이 되어가고 있는데요
그러나 환자분들이 효과가 없을까봐, 하고 많이 시릴까봐 걱정하는 경우가 많습니다.
그래서 오늘은 "치아미백 유명한 치과"를 찾는 분들을 위한 팁과 실제 사례 사진들을 보여드리도록 하겠습니다.
한국에서 "치아미백 유명한 치과"로 손꼽히는 곳
바로 시청역 연세 예감 치과입니다.
해외에서도 외국인 관광객들이 일부러 관광코스에 넣는 미백 맛집인데요!
시청역 근처 직장인 뿐만 아니라 외국인, 웨딩촬영준비하는 예비신랑 신부들이 저희 치과를 치아미백을 위해
특히 많이 찾는 이유는 명확합니다.
- 연세예감치과 다양한 미백제, 미백기계 보유

다양한 미백제 보유

비싼 미백기계를 이렇게 다양한 종류로 보유하고 있는, 치아미백 유명한 시청역 연세예감치과
다양한 미백제 보유하여 다 직접 저희 치아에 발라보고 직접 미백해보고
가장 효과 좋고 시리지 않은 미백제와 미백기계를 사용합니다.
- 예전의 움직이지 못하는 답답한 미백기계가 아니라
앉아서 휴대폰을 하며 움직을 수 있는 최신 오스템 미백기계사용

예전 형태의 미백기 VS 착용하고 움직일 수 있는 최신 오스템 미백기

- 원장님이 이미 10년도 전인 2013년 겨울에
오스템 미백 공장까지 직접 방문하고 제품출시전 데모시연도 직접 받고 오셨을 만큼 미백에 진심!
4)해외에서도 광고없이도 치아미백으로 유명
치아미백은 LED 빛을 쬐는 시간이 길어서 시간이 오래 걸리는 치료임에도 불구하고
외국인 관광객들이 꼭 미백을 하고 갈만큼
저희 치과에서 인기가 많은 치료입니다.

얼마전에 외국에서 온 뭔가 블링블링하고 고급스러운 연예인 느낌 나는 여자분께
어떻게 저희 치과를 알게 되었냐고 여쭤봤더니
본인 말레이시아 친구가 의사이고 결혼식을 해서 갔는데 치아가 너무 하얘서 물어봤더니
결혼 한달전에 결혼을 완벽하게 하고 싶어서 한국에 일부러 방문해서 치아미백을 했다고 하셨다고 합니다!
그래서 그 의사인 친구의 추천을 받아서 저희 치과에 한국방문할 때 미백하러 오신 거예요.
친구가 의사이니 믿고 방문했다고 하셨어요.
이럴 정도로 해외에 광고없이도(해외 광고 어떻게 하는거죠?)
외국인들이 스스로 찾아오는 치과입니다.




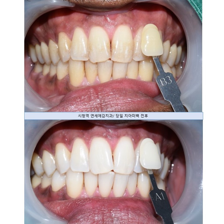
동의를 받은 환자분의 사진만 공개합니다.
궁금해하실 미백 가격 안내드릴게요
2026년 연세예감치과 치아미백 가격 비용
☆파노라마 포함한 치아 검진 (미백전 치아상태파악과 부작용방지를 위해 필수입니다):
건강보험료 적용
(한국국민건강보험 없을 경우 미백위한 검진 비보험 15000원)
☆옵션i) 미백 원데이 3회 = 하루에 미백3회가 들어가는 치료) : 33만원 .부가세10%포함 36만3천원
☆옵션ii) 미백 원데이 2회 = 하루에 미백2회가 들어가는 치료) : 27만원. 부가세10%포함 29만7천원
- 치아미백은 성형외과나 피부과 진료처럼 법적으로 부가세가 정해져 있는 치료입니다.
간혹 치아미백1회로 홍보하는 곳은 다른 진료를 위한 미끼상품일 뿐이구요
치아미백은 원데이로는 원데이2회 또는 원데이3회까지 진행하셔야
눈에 보일만한 효과가 느껴집니다.
대부분의 미백제 제조회사가 권장하는게 3회이고 대부분의 치과들도 요새 미백 원데이3회를 기준으로 하고 있어요. (원데이 3회: 하루에 미백 사이클이 3번 돌아감)
미백은 검진, 잇몸보호제도포시간, 약제바르는 시간, 라이트 쬐는 시간 등
시간이 많이 걸리는 진료이니 예약필수이며
특히 저희 치과의 치아미백은 최대 효과를 위해 전처리 과정이 특별하고 복잡하고 길기 때문에
원데이 3회의 경우 1.5시간이상 2시간내외,
원데이 2회의 경우 1시간이상 1.5시간 내외로 생각하고
치과 진료시간 참고하여 예약주시는 것이 좋습니다.
(원데이 1회는 진행하지 않습니다)
주의사항: 미백 후 2시간은 물 이외 식사 금지이므로 참고해주세요
지금까지 해외에서 외국인 관광객들도
관광중에 시간내어 치아미백위해 찾아오는 서울 시청역 연세예감치과에서 알려드린 치아미백이었습니다.











더 보기
이 병원의 공개 콘텐츠를 계속 살펴보세요
출처 아카이브로 돌아가 더 많은 글을 보거나, 병원 프로필로 이동해 다른 공개 채널도 함께 비교해보세요.