아카이브 요약
이 페이지의 역할
연세예감치과의원의 네이버 블로그 원문을 보존한 아카이브 페이지입니다. 치아미백 카테고리의 치아미백 시림? 해외관광객 외국인들도 미백하러 찾아오는 치과에서 알려드립니다 글을 통해 병원의 한국어 정보 제공 방식과 진료 관련 안내 톤을 확인할 수 있습니다.
원문 검증
필요하면 원문 블로그와 병원 프로필로 바로 이동해 문맥을 다시 확인할 수 있습니다.
출처 아카이브 열기아카이브된 블로그 글
연세예감치과의원 · Naver Blog
안녕하세요 서울 시청역 7번출구에서 직진 도보3분거리(233m)이며 삼성본관빌딩 바로 맞은편에 위치한 시청역 연세 예감 치과입니다. 종로, 을지로,광화문, 서대문역, 충정로에서도 오기 편한 위치입니다. 저희 치과는 외국인관광객들이 관광와서도 일부러 미백을 하러오는 치아미백 성지 (?) 인데요 외국인, 특히 서양인들은...
게시일
2026년 1월 13일
원문 기준으로 확인된 발행일입니다.
카테고리
치아미백
원문 블로그 카테고리를 정리해 함께 표시합니다.
이미지 수
23
현재 아카이브에 연결된 이미지 수입니다.
아카이브 요약
연세예감치과의원의 네이버 블로그 원문을 보존한 아카이브 페이지입니다. 치아미백 카테고리의 치아미백 시림? 해외관광객 외국인들도 미백하러 찾아오는 치과에서 알려드립니다 글을 통해 병원의 한국어 정보 제공 방식과 진료 관련 안내 톤을 확인할 수 있습니다.
원문 검증
필요하면 원문 블로그와 병원 프로필로 바로 이동해 문맥을 다시 확인할 수 있습니다.
출처 아카이브 열기안녕하세요 서울 시청역 7번출구에서 직진 도보3분거리(233m)이며
삼성본관빌딩 바로 맞은편에 위치한 시청역 연세 예감 치과입니다.
종로, 을지로,광화문, 서대문역, 충정로에서도 오기 편한 위치입니다.
저희 치과는 외국인관광객들이 관광와서도 일부러 미백을 하러오는
치아미백 성지 (?) 인데요
외국인, 특히 서양인들은 치아미백에 관심이 아주 많아서 외국인들이 많이 오는 치과이다 보니
치아미백을 굉장히 많이 하고 있습니다.
그런데 인터넷에서 치아미백으로 검색을 해보면


치아미백 후기(인터넷 검색)
위의 캡쳐와 같이 너무 시리고 아팠다, 하지마라, 후회한다는 글을 종종 검색할 수 있는데요
정말 치아미백 시릴까요?
치아미백의 성지인 저희 연세예감치과에서 치아미백에 대해 알려드립니다.
예전에는 많은 치과들에서 검진 없이 치아미백을 많이 하고
치아미백을 마치 피부과에서 보톡스를 미끼상품으로 해서 환자들을 모집하듯
값싼 가격에 치아미백을 하다보니 검진도 없이 치아미백을 해버리는 경우들이 있었는데요
치아미백, 치아미백을 진행할 치과의 치과의사의 검진부터 하고 진행하셔야합니다.
또한 일반 치아정기검진과 달리 치아미백은 시림 방지를 위해 특별히 봐야되는 부위가 있습니다!
[치과마다 다른데 일종의 노하우죠]
저희 치과에서 검진받고 치아미백 진행하시는 분들은 크게 시려하시는 분들은 없습니다.
위의 인터넷 글 캡쳐처럼 너무 시리고 아팠다고 할 만큼 시리거나 아프신 분들도 없어요.
대부분 만족하셔서 정기적으로 치아미백 받으러 오시고
외국인 분들도 다시 비행기타고[!] 한국 내원해서 치아미백 받으실 만큼 만족하십니다.
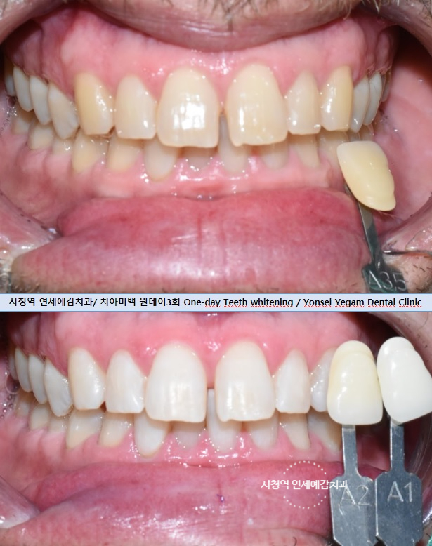
치아미백 전후사진 한번 보실까요?
당일에 마무리되는 치아미백입니다.
[환자분들의 동의를 받은 사진만 게시합니다]




대부분의 치과에서 그냥저냥 설명서보고 미백을 하시지만
2018년 개원이래 많은 외국인들의 치아미백, 예비 신랑신부들의 치아미백을 진행한
저희 연세 예감 치과는 치아미백에 대한 노하우가 있습니다.
현재 대한민국에서 가장 많이 쓰고 있는 미백제 및 미백기를 제조하는 오스템 본사 공장에 원장님께서 2013년, 제품출시도 전에 직접 동기분들 3명과 초대되어 가서 데모 시연 및 개발자로부터 직접 설명듣고 오셨습니다
다양한 치아미백제와 치아미백 기계 보유하여 저희가 직접 테스트 및 결과를 관찰하고 가장 효과적인 제품과 미백기계를 사용합니다.

다양한 치아미백제



연세예감치과가 보유한 다양한 치아미백 기계
효과는 좋으면서도 환자분이 움직일 수 있는 목걸이형 전문가치아미백기를 사용합니다.
미백받으면서 휴대폰을 하거나 움직일 수 있어서 환자분들의 반응이 매우 좋습니다.


과거의 치아미백기 vs 요즘의 목걸이형 치과치아미백기
지금까지 수많은 외국인들이 2018년 개원이래 저희 연세예감치과를 찾아주셨습니다.
저희 연세예감치과는 외국인 치과의사들도 탐방하러 오는 치과입니다.










2026년 치아미백 가격 알려드려요
2026년 연세예감치과 치아미백 가격 비용
☆파노라마 포함한 치아 검진 (미백전 치아상태파악과 부작용방지를 위해 필수입니다):
건강보험료 적용
(한국국민건강보험 없을 경우 미백위한 검진 비보험 15000원)
☆옵션i) 미백 원데이 3회 = 하루에 미백3회가 들어가는 치료) : 33만원 .부가세10%포함 36만3천원
☆옵션ii) 미백 원데이 2회 = 하루에 미백2회가 들어가는 치료) : 27만원. 부가세10%포함 29만7천원
간혹 치아미백1회로 홍보하는 곳은 다른 진료를 위한 미끼상품일 뿐이구요
치아미백은 원데이로는 원데이2회 또는 원데이3회까지 진행하셔야
눈에 보일만한 효과가 느껴집니다.
대부분의 미백제 제조회사가 권장하는게 3회이고 대부분의 치과들도 요새 미백 원데이3회를 기준으로 하고 있어요. (원데이 3회: 하루에 미백 사이클이 3번 돌아감)
치아미백 걸리는 시간 소요시간
미백은 다른 일반 치과치료처럼 30분 걸리는 치과치료가 아닙니다.
검진, 잇몸보호제도포시간, 약제바르는 시간, 라이트 쬐는 시간 등
시간이 많이 걸리는 진료이니 예약필수이며
특히 저희 치과의 치아미백은 최대 효과를 위해 전처리 과정이 특별하고 복잡하고 길기 때문에
원데이 3회의 경우 1.5시간이상 2시간내외,
원데이 2회의 경우 1시간이상 1.5시간 내외로 생각하고
치과 진료시간 참고하여 예약주시는 것이 좋습니다.
(원데이 1회는 진행하지 않습니다)
주의사항: 미백 후 2시간은 물 이외 식사 금지이므로 참고해주세요
지금까지 해외에서도 찾아오는 을지로, 명동, 광화문, 종로에서도 오기편한
서울 시청역 연세예감치과에서 직접 알려드린
치아미백 시림?, 전후 사진, 소요시간, 비용에 관한 내용이었습니다!
시청역 연세예감치과는 서울특별시가 3단계 심사를 거쳐 인증한
서울특별시 의료관광 협력기관입니다.
