아카이브 요약
이 페이지의 역할
연세예감치과의원의 네이버 블로그 원문을 보존한 아카이브 페이지입니다. 충치치료 카테고리의 앞니깨짐 실제 치료 사례, 넘어져서 변색된 앞니 깨진 앞니 글을 통해 병원의 한국어 정보 제공 방식과 진료 관련 안내 톤을 확인할 수 있습니다.
원문 검증
필요하면 원문 블로그와 병원 프로필로 바로 이동해 문맥을 다시 확인할 수 있습니다.
출처 아카이브 열기아카이브된 블로그 글
연세예감치과의원 · Naver Blog
앞니 깨짐은 특히 겨울에 생각보다 흔한 사고입니다. 미끄러지거나, 넘어지거나, 부딪혀서, 연말연초에 회식으로 술을 많이 먹은 후 부딪혀서 앞니가 깨져 오는 경우도 있고 딱딱한 것을 씹다가도 앞니는 깨질 수 있습니다. 오늘은 이러한 앞니깨짐을 치료한 케이스에 대해 저희 서울 시청역 7번출구 도보직진3분(233m)에...
게시일
2026년 1월 14일
원문 기준으로 확인된 발행일입니다.
카테고리
충치치료
원문 블로그 카테고리를 정리해 함께 표시합니다.
이미지 수
20
현재 아카이브에 연결된 이미지 수입니다.
아카이브 요약
연세예감치과의원의 네이버 블로그 원문을 보존한 아카이브 페이지입니다. 충치치료 카테고리의 앞니깨짐 실제 치료 사례, 넘어져서 변색된 앞니 깨진 앞니 글을 통해 병원의 한국어 정보 제공 방식과 진료 관련 안내 톤을 확인할 수 있습니다.
원문 검증
필요하면 원문 블로그와 병원 프로필로 바로 이동해 문맥을 다시 확인할 수 있습니다.
출처 아카이브 열기앞니 깨짐은 특히 겨울에 생각보다 흔한 사고입니다.
미끄러지거나, 넘어지거나, 부딪혀서, 연말연초에 회식으로 술을 많이 먹은 후 부딪혀서 앞니가 깨져 오는 경우도 있고
딱딱한 것을 씹다가도 앞니는 깨질 수 있습니다.
오늘은 이러한 앞니깨짐을 치료한 케이스에 대해
저희 서울 시청역 7번출구 도보직진3분(233m)에 위치한
시청역 연세예감치과(삼성본관 바로 맞은편)에서 알려드리겠습니다!
[환자분의 동의를 얻은 케이스만 공개합니다.]

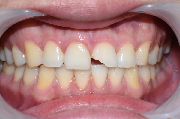
위 환자분은 "술먹고 넘어져서 앞니가 깨졌다"라는 내용으로 내원하였습니다.
위 앞니 2개 중에 1개(사진상 오른쪽)는 굉장히 많이 사선 방향으로 깨졌고
다른 1개(사진상 왼쪽)은 사진에서도 보이듯이 금이 가있는 상태였습니다.


부딪혀서 깨진 앞니. 앞니 뒤에 붙어있던 교정 유지장치
씹을 떄 건드릴 때 아픈 상태였고 많이 깨진 치아는 시리기도 했습니다.
이렇게 외상을 입은 치아는 심하게 외상받은 치아는 신경치료가 들어가는 경우가 꽤 있습니다.
일단 원래 계획은 왼쪽은 금만 가있는 정도라서 많이 깨진 오른쪽 치아만 라미네이트를 하는 것이었는데요,
크라운과 라미네이트 중 라미네이트를 하기로 한 이유는 오른쪽 사진처럼
치아 뒤쪽에 교정이 끝나고 유지장치가 붙어있는 상태였기 때문에 크라운을 하는 경우 크라운에 유지장치가 잘 붙지 않을 뿐더러, 크라운을 하면 크라운을 하고 다시 새로운 유지장치를 재제작해야하기 떄문에
유지장치가 있는 부위는 크게 건드리지 않고 치아 앞쪽만 처리해서 붙일 수 있는 라미네이트를 하기로 하였습니다.


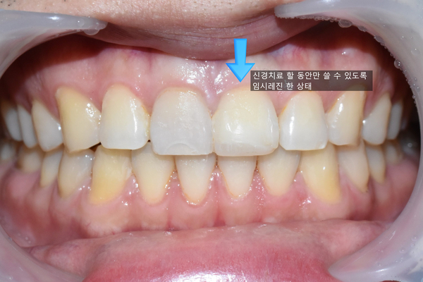
깨진 앞니(좌측사진), 깨진 앞니에 한 임시 레진(우측사진)
오른쪽 치아는 신경치료도 진행해야 하는 상황이라 신경치료를 하는 동안 마스크를 쓰지 않고도 사회생활을 할 수 있도록 오른쪽 사진처럼 임시로 레진을 해놓아서 다행히 크게 티나지 않게 환자분이 사회생활을 할 수 있었습니다.
임시는 말그대로 임시라서 완벽하거나 이쁘지는 않습니다.

임시로 단기간만 쓸 레진을 한 상태
임시로 레진을 한 상태에서 신경치료를 몇 번 진행하는 도중에
크게 깨지지 않아서 가만히 두었던 왼쪽 앞니가 서서히 색이 붉어지는 것이 몇 주후에 관찰되었습니다.

변색된 외상치아
서서히 치아 신경이 죽어서 변색되는 경우가 외상치아에서는 발견되는 경우가 많습니다.
그래서 신경치료 들어가게 되는 경우도 흔한데요,
이 변색치아도 신경치료 후 라미네이트를 같이 하기로 결정하였습니다.
라미네이트는 크라운 보다 얇기 때문에
이렇게 변색된 경우에서 비쳐보일 수 있는데요
크라운을 하는것이 비쳐보일 것을 고려하면 더나을 수도 있겠지만 앞에서 말씀드렸듯이
치아 뒤에 교정 유지장치가 있어서 같이 라미네이트를 하기로 하였습니다.
즉, 총 2개 치아 라미네이트를 하게 되었는데요
마스킹 과정을 철저하게 하고, 앞니 정중치 2개라서 기존 치아들보다 조금 더 하얗게 하면
전체적으로 치아들이 밝아보이는 효과도 있어서 조금더 하얗게 라미네이트를 하였습니다.
단, 변색이 없었더라면 마스킹이 특별히 안들어가도 되어서 치아의 투명감이 조금 더 자연스럽게 되었겠지만
변색때문에 마스킹이 들어가서 조금 불투명하게 제작된 점은 아쉬웠습니다.
그러나 입안에서 크게 부자연스럽지 않고 오히려 하얘서 웃었을 때 더 전반적으로 밝은 치아 이미지가 되었습니다.

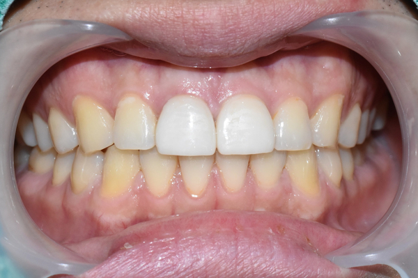
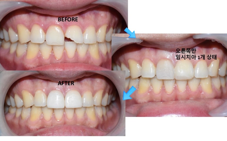
깨진 앞니, 변색된 앞니 2개 라미네이트 한 후 사진입니다.
변색을 가리기 위해 조금 불투명하게 제작되었습니다.

정리해보면
추후에 변색된 치아
그리고 뒤에 교정 유지장치가 붙어있는 케이스로
위 사진과 같은 식으로 진행되었는데요
교정 장치가 붙어있지 않았다면 크라운을 하거나 다른 방법으로 진행할 수도 있습니다.
즉, 개개인의 케이스마다 다르고 깨진 정도도 모두 다를 것이므로
꼭 진료할 치과의사의 진단과 상담을 받으신 후 개개별 치아에 맞는 치료방법으로 진행하셔야 합니다.
뿐만 아니라 외상을 입은 치아는 서서히 신경이 죽거나 나중에 증상이 나타나는 경우도 있어서
치과의사와 상담 후 신중하게 진행해야 하니 참고해주세요
앞니의 경우 어금니보다 훨씬 더 색깔이나 모양에 신중을 기해야하는 치료로,
앞니 치료경험이 많은 곳에서 적절하게 상담하여 진행하세요!
외상으로 변색된 앞니의 치료 케이스들 아래 링크에도 있습니다!
https://blog.naver.com/yonseiyegam/223164133365
https://blog.naver.com/yonseiyegam/223347286599
https://blog.naver.com/yonseiyegam/224056684804
지금까지 외상입어서 크게 깨진 치아의 치료방법 및 외상으로 변색된 치아의 치료케이스에 대해
서울중구 시청역 연세 예 감 치과에서 알려드렸습니다!
광화문, 시청역, 서울역, 남대문, 충정로, 서대문역 등 서울 어디에서도 오기 편한 위치입니다.

해외에서도 아름답고 건강한 치아를 위해 찾아오는 연세예감치과입니다.









