연세예감치과(시청역)
[서울 광화문/남대문] 화이트스팟 레진으로 치료케이스, 비용안내 등등 / 반점치, 반상치
안녕하세요 서울 1호선&2호선 시청역 7번출구 기준 도보 3분(233m) 삼성본관 바로 앞에 위치한 시청역 연세 예 감 치과 입니다. 남대문과 광화문 사이 위치한 시청역 근방에 위치하고 있습니다. 서울의 중심에 위치하여 어디서나 찾아오기 좋아서 홍대/공덕/마포 쪽에서도 많이 방문하시고 전세계에서도 찾아오는 치과입니다. ...
아카이브 요약
이 페이지의 역할
연세예감치과(시청역) Yonsei Yegam Dental Clinic ヨンセイェガム歯科의 네이버 블로그 원문을 보존한 아카이브 페이지입니다. 치아성형 카테고리의 [서울 광화문/남대문] 화이트스팟 레진으로 치료케이스, 비용안내 등등 / 반점치, 반상치 글을 통해 병원의 한국어 정보 제공 방식과 진료 관련 안내 톤을 확인할 수 있습니다.
안녕하세요
서울 1호선&2호선 시청역 7번출구 기준 도보 3분(233m)
삼성본관 바로 앞에 위치한 시청역 연세 예 감 치과 입니다.
남대문과 광화문 사이 위치한 시청역 근방에 위치하고 있습니다.
서울의 중심에 위치하여 어디서나 찾아오기 좋아서 홍대/공덕/마포 쪽에서도 많이 방문하시고
전세계에서도 찾아오는 치과입니다.
오늘은 꽤 많은 분들이 가지고 있는 화이트스팟 치아의 치료 케이스에 대해 알아보도록 하겠습니다.
화이트스팟의 레진치료는 환자분들의 반응이 좋은 치료 중 하나입니다.
빠르고 간편하게 거의 영구적으로 치료되기 때문인데요,
화이트스팟의 레진치료는
치아삭제를 최소화하면서 색을 얼마나 자연스럽게 맞추느냐가 핵심입니다.
왜냐면 대부분의 분들이 미용 치료를 목적으로 화이트 스팟을 치료하기 원하기 때문입니다.
[저희 치과에서 진행된 치료로 환자분의 동의를 얻은 사진만 게시합니다.]
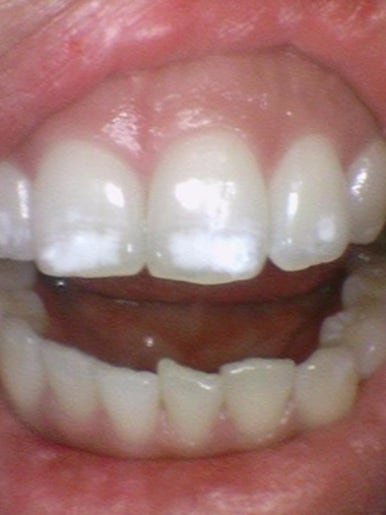
화이트스팟
![[서울 광화문/남대문] 화이트스팟 레진으로 치료케이스, 비용안내 등등 / 반점치, 반상치 관련 이미지 1](https://pub-9f2bb3498faf4d1d8714b41df24753e3.r2.dev/content/clinics/archive/rseeanjxfu/naver_blog/yonseiyegam/assets/by_hash/3e1fa918e802677b8bebd104cb7d57f0b45227a61e3f6b4ac2ff58569976edc6.jpg)
치아 표면에 불투명하게 보이는 흰색 반점. 바로 화이트스팟 White Spot, White stain입니다.
교정장치 제거 후 하얗게 얼룩처럼 보이는 경우도 있고
원래 그 치아가 날때부터 화이트스팟이 있는 경우도 있고
초기 충치로 아직 구멍은 없지만 미네랄이 빠져나간 상태 등등
원인은 다양합니다.
아무래도 앞니의 화이트스팟, 반점치는 치아가 얼룩덜룩해보이다 보니
많이 신경이 쓰이는데요,
그래서 방문하시는 환자분들이 많습니다.
(단, 화이트스팟은 화이트스팟을 많이 해보고 잘 치료하는 치과를 찾으셔야 합니다.
앞니라 잘못하면 티가 많이 나기 때문입니다.)
![[서울 광화문/남대문] 화이트스팟 레진으로 치료케이스, 비용안내 등등 / 반점치, 반상치 관련 이미지 2](https://pub-9f2bb3498faf4d1d8714b41df24753e3.r2.dev/content/clinics/archive/rseeanjxfu/naver_blog/yonseiyegam/assets/by_hash/deb79ce2fbd395a84fa86c94064d8107b641c3cc775a56c81630ecb6fa391fef.jpg)
![[서울 광화문/남대문] 화이트스팟 레진으로 치료케이스, 비용안내 등등 / 반점치, 반상치 관련 이미지 3](https://pub-9f2bb3498faf4d1d8714b41df24753e3.r2.dev/content/clinics/archive/rseeanjxfu/naver_blog/yonseiyegam/assets/by_hash/0df8caf4ed2c1e058dcdc9751f2d67397244c64c99495d30d8d84825ed62555e.jpg)
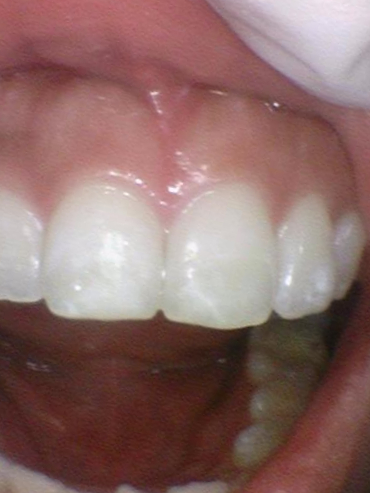
화이트스팟 치료 전후
위의 환자분은 화이트스팟 치료를 원하셔서 진행하였고
내원 30분 정도만에 화이트스팟을 잘 치료하셔서 일주일 후에 오셨을 때 만족한다고 말씀하셨습니다.
![[서울 광화문/남대문] 화이트스팟 레진으로 치료케이스, 비용안내 등등 / 반점치, 반상치 관련 이미지 4](https://pub-9f2bb3498faf4d1d8714b41df24753e3.r2.dev/content/clinics/archive/rseeanjxfu/naver_blog/yonseiyegam/assets/by_hash/bd5a9fad4de7a3d982a6b45705d801af777aa9d2c8bb4c327591419c0eb4e2cb.jpg)
화이트스팟 레진치료시 삭제정도
화이트스팟으로 치아 삭제한 정도는 위 사진과 같습니다.
물론 깊을수록 많이 삭제되겠지만 겉부분만 어느정도 삭제한다고 보면 될 것 같아요.
![[서울 광화문/남대문] 화이트스팟 레진으로 치료케이스, 비용안내 등등 / 반점치, 반상치 관련 이미지 5](https://pub-9f2bb3498faf4d1d8714b41df24753e3.r2.dev/content/clinics/archive/rseeanjxfu/naver_blog/yonseiyegam/assets/by_hash/272fec5154640ce213d355ee7b8c8a245fd351a128a2be6c6e5383afcc21bbba.jpg)
화이트스팟 치료비용
저희 치과 의 앞니 화이트 스팟 의 레진 치료 경우에는
크기에 따라 25만원~30만원/치아당 정도 입니다.(2026년 기준)
보통은 250,000원 정도, 아주 범위가 넓거나 깊으면 30만원 정도라고 생각하시면 될것 같습니다.
- 치료 전 엑스레이를 찍고 화이트 스팟 레진 치료가 가능하다고 치료를 시행할 치과의사로부터 진단 된 경우에만 치료 가능합니다
(+검진은 국민 건강 보험에 따른 건강보험비 적용 됩니다)
강남 신사에서 상담받으신 분은 화이트스팟 레진을 40만원으로 상담받고 오셨다고 하네요.
그리고 화이트스팟 반점치 환자분들이 "아이X"치료에 대해 많이 여쭤보시는 데요
저희 치과는 화이트스팟에 대해 아이X 치료를 아직 시행하지 않습니다.
왜냐하면 아이X의 경우 화이트스팟이 완전히 커버되지 않은 경우도 많고
시간도 아주 오래 걸리는 반면 재발도 잦아서 아직 완전한 치료라고 생각되지 않기 때문에
현재는 가장 확실하고 클래식한 치료인 레진으로 진행하고 있습니다.
또한 아이X의 경우 70~90만원 정도라고 하고,
이 사진의 환자분은 저희치과에서 상담받기 전에
다른 치과에서는 70만원으로 강남의 치과에서 들으셨다고 하네요. 아주 비싸죠.
가장 효과도 확실하고 정확하여, 효율적인 레진으로 저희는 치료하고 있습니다.
저희치과는 화이트스팟 반점치 치료를 위해
해외에서도 많은 관광객들이 빠른 시간내에 치료를 받고 가기도 하는
화이트스팟 치료로도 유명한 치과입니다.
보통 화이트스팟을 치료를 원하는 분들은 앞니의 화이트스팟을 없애고 싶어하는만큼
앞니는 티가 나면 안되고 자연스러운 치료가 들어가야 하기때문에
꼭 경험많고 잘 하는 곳에서 치료 받으세요!
![[서울 광화문/남대문] 화이트스팟 레진으로 치료케이스, 비용안내 등등 / 반점치, 반상치 관련 이미지 6](https://pub-9f2bb3498faf4d1d8714b41df24753e3.r2.dev/content/clinics/archive/rseeanjxfu/naver_blog/yonseiyegam/assets/by_hash/b91c0f56d8af081fa04aa526040383bbaeb6d21491067c4c50b69800fe92d84e.jpg)
![[서울 광화문/남대문] 화이트스팟 레진으로 치료케이스, 비용안내 등등 / 반점치, 반상치 관련 이미지 7](https://pub-9f2bb3498faf4d1d8714b41df24753e3.r2.dev/content/clinics/archive/rseeanjxfu/naver_blog/yonseiyegam/assets/by_hash/be145eeaa0b4e57889b2f34cb9377db7e676bc8192dd61f7f62850e6dcfab5df.jpg)
![[서울 광화문/남대문] 화이트스팟 레진으로 치료케이스, 비용안내 등등 / 반점치, 반상치 관련 이미지 8](https://pub-9f2bb3498faf4d1d8714b41df24753e3.r2.dev/content/clinics/archive/rseeanjxfu/naver_blog/yonseiyegam/assets/by_hash/416b83d568b2b4584af4d4387f6d693008677ef599bbcecb638d9f7433ce3c32.jpg)
![[서울 광화문/남대문] 화이트스팟 레진으로 치료케이스, 비용안내 등등 / 반점치, 반상치 관련 이미지 9](https://pub-9f2bb3498faf4d1d8714b41df24753e3.r2.dev/content/clinics/archive/rseeanjxfu/naver_blog/yonseiyegam/assets/by_hash/6554731eea297c21ce505b6b209314d76f2b2ce5c9e801f10f14a8c1d36f798c.jpg)
화이트스팟 반점치 치료 전후
![[서울 광화문/남대문] 화이트스팟 레진으로 치료케이스, 비용안내 등등 / 반점치, 반상치 관련 이미지 10](https://pub-9f2bb3498faf4d1d8714b41df24753e3.r2.dev/content/clinics/archive/rseeanjxfu/naver_blog/yonseiyegam/assets/by_hash/9b7ce6e9cb388c7c5b7018fb32cc495b099ce614cfd94e93e1e03042be5b2298.jpg)
![[서울 광화문/남대문] 화이트스팟 레진으로 치료케이스, 비용안내 등등 / 반점치, 반상치 관련 이미지 11](https://pub-9f2bb3498faf4d1d8714b41df24753e3.r2.dev/content/clinics/archive/rseeanjxfu/naver_blog/yonseiyegam/assets/by_hash/f5800b6e53b99a18a3e0d34129984c10c4c3f2c2459038f16e9eedabe67f4d22.jpg)
지금까지 아름답고 건강한 치아를 위해
해외에서도 찾아오는 연세예감치과에서 알려드린
앞니 화이트스팟 치료였습니다.
![[서울 광화문/남대문] 화이트스팟 레진으로 치료케이스, 비용안내 등등 / 반점치, 반상치 관련 이미지 12](https://pub-9f2bb3498faf4d1d8714b41df24753e3.r2.dev/content/clinics/archive/rseeanjxfu/naver_blog/yonseiyegam/assets/by_hash/87354c94d7e6bb1fcc6e223bff29ff514dd9f8f852f301cde4200b2548dc845d.png)
![[서울 광화문/남대문] 화이트스팟 레진으로 치료케이스, 비용안내 등등 / 반점치, 반상치 관련 이미지 13](https://pub-9f2bb3498faf4d1d8714b41df24753e3.r2.dev/content/clinics/archive/rseeanjxfu/naver_blog/yonseiyegam/assets/by_hash/c7222c1ece1a117d9f8f9ad411c349a252e70bf3c0ae7d143b9c7094a84dfbf6.png)
![[서울 광화문/남대문] 화이트스팟 레진으로 치료케이스, 비용안내 등등 / 반점치, 반상치 관련 이미지 14](https://pub-9f2bb3498faf4d1d8714b41df24753e3.r2.dev/content/clinics/archive/rseeanjxfu/naver_blog/yonseiyegam/assets/by_hash/e8c1799d3ccaec7d7d74dbbfe40fb4db15f79724ce9887ee04ebbec99435e71c.png)
![[서울 광화문/남대문] 화이트스팟 레진으로 치료케이스, 비용안내 등등 / 반점치, 반상치 관련 이미지 15](https://pub-9f2bb3498faf4d1d8714b41df24753e3.r2.dev/content/clinics/archive/rseeanjxfu/naver_blog/yonseiyegam/assets/by_hash/61974872c0da0e3e1164778a05c43e132eea459cb4802442d20445ca394d33c6.png)
![[서울 광화문/남대문] 화이트스팟 레진으로 치료케이스, 비용안내 등등 / 반점치, 반상치 관련 이미지 16](https://pub-9f2bb3498faf4d1d8714b41df24753e3.r2.dev/content/clinics/archive/rseeanjxfu/naver_blog/yonseiyegam/assets/by_hash/0890e8849bc41c05c338e6894438c316863edb7dd5ce17fd668f4738f98f8944.png)
![[서울 광화문/남대문] 화이트스팟 레진으로 치료케이스, 비용안내 등등 / 반점치, 반상치 관련 이미지 17](https://pub-9f2bb3498faf4d1d8714b41df24753e3.r2.dev/content/clinics/archive/rseeanjxfu/naver_blog/yonseiyegam/assets/by_hash/ff5f89f1e9321f1d2362ce39c821d7958e293882b298f26d276bd72d93b8b3ca.png)
![[서울 광화문/남대문] 화이트스팟 레진으로 치료케이스, 비용안내 등등 / 반점치, 반상치 관련 이미지 18](https://pub-9f2bb3498faf4d1d8714b41df24753e3.r2.dev/content/clinics/archive/rseeanjxfu/naver_blog/yonseiyegam/assets/by_hash/9b2ca9f58f39be6dfb633480fc596ca7c3a073536e892affcd2e6099949ebebb.png)
![[서울 광화문/남대문] 화이트스팟 레진으로 치료케이스, 비용안내 등등 / 반점치, 반상치 관련 이미지 19](https://pub-9f2bb3498faf4d1d8714b41df24753e3.r2.dev/content/clinics/archive/rseeanjxfu/naver_blog/yonseiyegam/assets/by_hash/c9eb04f1b53cc34c17d7bfb6a4978b911b0e33ef374012fede9fc56935b1a268.png)
![[서울 광화문/남대문] 화이트스팟 레진으로 치료케이스, 비용안내 등등 / 반점치, 반상치 관련 이미지 20](https://pub-9f2bb3498faf4d1d8714b41df24753e3.r2.dev/content/clinics/archive/rseeanjxfu/naver_blog/yonseiyegam/assets/by_hash/4476e7011efe45ef61d3705c7871a70b6c31409e4173c1365513a6541e87cc93.png)
![[서울 광화문/남대문] 화이트스팟 레진으로 치료케이스, 비용안내 등등 / 반점치, 반상치 관련 이미지 21](https://pub-9f2bb3498faf4d1d8714b41df24753e3.r2.dev/content/clinics/archive/rseeanjxfu/naver_blog/yonseiyegam/assets/by_hash/6e8ef29fc8779cfe497a25703b38ef6622d6d321eb75cbba2946719d33aecfd5.png)
더 보기
이 병원의 공개 콘텐츠를 계속 살펴보세요
출처 아카이브로 돌아가 더 많은 글을 보거나, 병원 프로필로 이동해 다른 공개 채널도 함께 비교해보세요.