연세예감치과(시청역)
라미네이트 2개이상시 개당 50만원(부가세별도) 깨진 앞니 최소삭제한 라미네이트 케이스
안녕하세요 겨울에 미끄러져서 바닥에 이가 부딪쳐서 이가 깨지시거나 단단한 음식을 잘 못 깨물어서 앞 니가 깨지거나 겨울은 여러가지이유로 앞니 깨져서 오시는 분들들이 아주 많습니다. 오늘은 충정로역에서도 가까운 시청역 연세 예 감 치과에서 최소삭제 또는 무삭제 라미네이트를 통해 깨진 치아를 수복 한 케이스를 알아...
아카이브 요약
이 페이지의 역할
연세예감치과(시청역) Yonsei Yegam Dental Clinic ヨンセイェガム歯科의 네이버 블로그 원문을 보존한 아카이브 페이지입니다. 치아성형 카테고리의 라미네이트 2개이상시 개당 50만원(부가세별도) 깨진 앞니 최소삭제한 라미네이트 케이스 글을 통해 병원의 한국어 정보 제공 방식과 진료 관련 안내 톤을 확인할 수 있습니다.
안녕하세요
겨울에 미끄러져서 바닥에 이가 부딪쳐서 이가 깨지시거나
단단한 음식을 잘 못 깨물어서 앞 니가 깨지거나
겨울은 여러가지이유로 앞니 깨져서 오시는 분들들이 아주 많습니다.
오늘은 충정로역에서도 가까운
시청역 연세 예 감 치과에서
최소삭제 또는 무삭제 라미네이트를 통해
깨진 치아를 수복 한 케이스를 알아 보도록 하겠습니다
[환자분이 사진공개 동의한 케이스만 게시합니다]
연세예감치과는 서울 시청역 7번출구 기준 도보 3분거리(직진230미터)
삼성본관맞은편 위치로 서울 어디서든 오기 편한 위치에 있습니다.
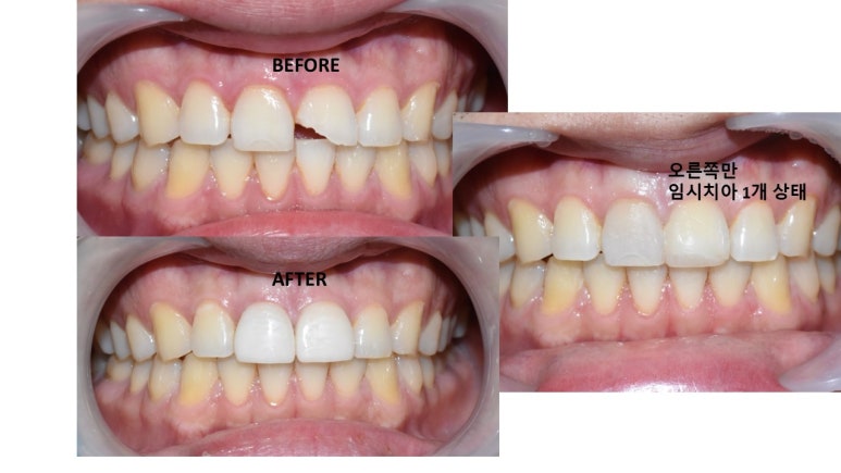
깨진 앞니 라미네이트 앞니 2개 진행한 케이스


깨지고 삐뚠 치아 라미네이트(2개) 전후사진
앞니 라미네이트를 통해
앞니 치아도 고르게 만들고
색깔도 자연스러우면서 더 하얗게 변화시킬 수 있습니다
무삭제로 가능한 케이스는 무삭제로 가능하지만
사고로 앞 니가 다쳐서 오시는 분들은 앞 니가 다른 치아보다 들어간 경우도 많고
깨진 부분이 매끄럽지 않고 삐뚤삐뚤 하기 때문에
튀어나온 나온 부분이나 너무 삐뚤삐뚤 거친 부분은 부드럽게 다듬어야 합니다
따라서 최소 삭제로 한 후에 가능합니다
크라운과 다른 점은 앞니 크라운은 치아의 앞뒤옆면을 모두 깎아서 크라운을 씌우게 되지만
라미네이트는 무 삭제 또는 최소 삭제이고
삭제를 하더라도 치아의 앞 면만 깎게 됩니다
크라운과 라미네이트의 삭제량이 얼마나 차이나는지
아래 링크에 예전에 설명한 글이 있습니다!
↓
깨진 아래 앞니 라미네이트

2개만 진행하기 때문에 자연스러우면서도 기존보다는 하얗게 될 수 있도록 진행하였습니다.
치아뒤에 교정유지장치가 붙어있는 경우에도 가능한 라미네이트
치아 뒤에 교정유지장치가 붙어있는 경우에도
라미네이트는 치아 뒷면은 건드리지 않고 가능하므로
크라운보다 환자분의 비용적부담(유지장치를 뗐다가 다시 제작해서 붙이는 비용 등)을 덜어드릴 수 있고
치아도 덜 깎게 됩니다.


치아가 많이 깨졌으나 뒤에 유지장치가 있어서 라미네이트로 진행한 케이스: 치아 하나는 꺠져서, 하나는 외상으로 나중에 변색이 와서 앞니 2개 진행
충치나 레진으로 얼룩덜룩해진 치아의 라미네이트(치아4개 진행)

들어간 옥니의 무삭제 라미네이트

[시청역 연세예감치과 2026년도 기준 라미네이트
사진제공 이벤트가격안내]
라미네이트 전에는 반드시 치과의사의 진단이 필요합니다: 검진비용 건강보험적용
라미네이트 치아 개당 65만원
2개이상 진행시 개당 50만원 : 전후 사진제공시
라미네이트와 치아미백은 미용목적으로
관련법에 따라 부가세 10프로를 받도록 되어있습니다.
(1. 본 가격은 2개이상 부터 치아전후 사진공개조건 가격입니다
(개구기 낀 구강내 단순 “잇몸과 치아 전후 ”사진만 공개 조건입니다. 얼굴X)
2.사진공개를 원하지 않으시면, 개당 65만원에 진행가능합니다.
- 라미네이트 전 파노라마를 포함한 치과의사의 진단,상담이 필요합니다.
라미네이트 원하는 치아에 충치가 있는 경우
충치제거나 충치치료 후 라미네이트를 해야 할 수 있습니다.
- 라미네이트 제작기간은
대략 1개는 일주일, 2개이상은 8~10일 정도 입니다.)
라미네이트 전에는 반드시 치과의사의 진단이 필요합니다!
라미네이트 이벤트 문의는
카톡예약과 문의 카카오톡채널 - 연세예감치과(클릭)
또는 카카오톡 아이디 ID: yonseiyegam 으로도
문의 가능합니다.
오늘은 깨진 앞니 라미네이트 치료에 대해 자세히 설명드렸습니다.
앞니는 작은 파절이라도 눈에 잘 띄기 때문에,
방치할 경우 심미적인 스트레스는 물론 치아 손상이 더 커질 수 있습니다.
앞니가 깨진 경우, 손상 범위가 크지 않다면
라미네이트 치료를 통해 자연스러운 색감과 형태를 회복하는 것이 가능합니다.
특히 깨진 앞니 라미네이트는 정밀한 진단과 디자인이 중요하기 때문에
치아 상태에 맞는 치료 계획이 반드시 필요합니다.
충정로역에서도 한정거장 거리, 시청역 연세예감치과는
깨진 앞니, 앞니 파절, 앞니 라미네이트 치료 경험을 바탕으로
치아 삭제를 최소화하면서도 심미성과 기능을 함께 고려한 치료를 진행하고 있습니다.
앞니 라미네이트가 가능한 상태인지,
혹은 레진·크라운 등 다른 치료가 더 적합한지는
직접 진단을 통해 정확히 확인할 수 있습니다.
깨진 앞니로 고민 중이시라면
혼자 판단하지 마시고 내원 상담을 통해 현재 치아 상태를 확인해보시길 권해드립니다.
해외에서도 아름다운 치아, 건강한 치아를 만들기 위해 찾아오는
시청역 연세예감치과 에서 알려드린 라미네이트 정보 였습니다.










더 보기
이 병원의 공개 콘텐츠를 계속 살펴보세요
출처 아카이브로 돌아가 더 많은 글을 보거나, 병원 프로필로 이동해 다른 공개 채널도 함께 비교해보세요.