아카이브 요약
이 페이지의 역할
연세예감치과의원의 네이버 블로그 원문을 보존한 아카이브 페이지입니다. 치아성형 카테고리의 앞니사이벌어짐, 레진으로 메울 수 있을까? 비용,가격까지. 종로치과/광화문 치과 글을 통해 병원의 한국어 정보 제공 방식과 진료 관련 안내 톤을 확인할 수 있습니다.
원문 검증
필요하면 원문 블로그와 병원 프로필로 바로 이동해 문맥을 다시 확인할 수 있습니다.
출처 아카이브 열기아카이브된 블로그 글
연세예감치과의원 · Naver Blog
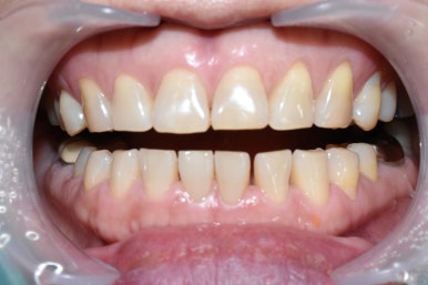
앞니 사이가 살짝 또는 많이 벌어져 있으면 신경이 많이 쓰이죠. 사진을 찍거나 웃을 때 말할 때 등 하얀 이사이의 까만 비어있는 공간이 눈에 잘 띄기 때문입니다. 앞니 사이에 작은틈(치아사이 갭)이 있는 경우 간단한 레진치료로 하루에, 약 30분~1시간만에 자연스럽게 메워서 평생의 컴플렉스를 해결할 수 있는 경우가 많...
게시일
2026년 3월 12일
원문 기준으로 확인된 발행일입니다.
카테고리
치아성형
원문 블로그 카테고리를 정리해 함께 표시합니다.
이미지 수
21
현재 아카이브에 연결된 이미지 수입니다.
아카이브 요약
연세예감치과의원의 네이버 블로그 원문을 보존한 아카이브 페이지입니다. 치아성형 카테고리의 앞니사이벌어짐, 레진으로 메울 수 있을까? 비용,가격까지. 종로치과/광화문 치과 글을 통해 병원의 한국어 정보 제공 방식과 진료 관련 안내 톤을 확인할 수 있습니다.
원문 검증
필요하면 원문 블로그와 병원 프로필로 바로 이동해 문맥을 다시 확인할 수 있습니다.
출처 아카이브 열기앞니 사이가 살짝 또는 많이 벌어져 있으면 신경이 많이 쓰이죠.
사진을 찍거나 웃을 때 말할 때 등 하얀 이사이의 까만 비어있는 공간이 눈에 잘 띄기 때문입니다.
앞니 사이에 작은틈(치아사이 갭)이 있는 경우 간단한 레진치료로 하루에, 약 30분~1시간만에 자연스럽게 메워서
평생의 컴플렉스를 해결할 수 있는 경우가 많습니다.
오늘은 시청역 7번출구에서 도보3분(230미터) 거리에 위치한 연세 예감 치과에서
앞니 사이 벌어짐을 레진으로 막은 케이스를 소개해드리겠습니다.
저희 연세예감치과는 시청역 부근에 위치하여 종로,광화문, 서울역에서도 오기 편한 위치입니다.
앞니 사이 갭은 여러 원인으로 발생하는데요
-공간에 비해 치아 크기가 작은 경우
-치아 배열이 벌어진 경우
-치아 크기 자체가 작은 경우
-교정 후 미세한 공간이 남은 경우
-잇몸이나 치아형태 등등으로 인해
갭이 있을 수 있습니다. 이런 경우 교정이 필요한 경우도 있지만
공간이 어느정도 작다면 레진치료로 빠르게 개선할 수 있습니다.
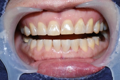
그럼 저희 치과에서 실제로 치료한 사례를 보여드릴게요.
환자분들의 동의를 받은 사진만 게시합니다.
어떻게 보면 치아성형이지만, 저희 치과는 치아 삭제를 하지 않고
앞니 사이 벌어진 틈 레진치료를 하기 때문에 시리거나 아프지 않습니다.
앞니 치아 사이 벌어진 틈, 갭(공간) 레진치료
시청역 연세예감치과


어디를 때웠는지 찾아보세요!




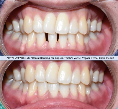
다른 치과에서 치아교정을 받은 후에도
아래 사진처럼 다시 치아가 벌어져서 레진을 하는 경우도 있습니다.


앞니 사이 벌어진 갭 레진 치료 비용 안내
벌어진 앞니 사이 레진 치료는
일반적인 어금니 충치 레진 치료보다 난이도가 높은 치료입니다.
어금니 충치 레진은 매우 작은 경우 : 약 8만원/ 일반적인 경우 : 10~12만원/ 크고 깊은 경우 : 약 15만원이지만
충치가 아닌 성형, 미용 목적의 앞니 사이 벌어진 부위 레진 치료 (다이아스테마)는 치아 면당 30만원입니다.
레진 전 치료를 위한 검진과 상담은 나라가 정해놓은 건강보험비용 발생합니다.

위의 사진처럼 한치아에만 비대칭적으로 레진을 붙여도 되는 경우는 30만원입니다.

만약 위 사진처럼 정중앙 앞니 사이가 벌어진 경우
양쪽 치아에 대칭모양을 만들기 위해 두 치아에 레진을 붙여야 하기 때문에
30만원 × 2치아 = 총 60만원으로 생각하시면 됩니다.
앞니 사이 메꾸는 레진치료는 거의 미용치료이자 거의 성형이라고 보셔야 하는데요
(그렇지만 앞니 갭 메꾸는 레진치료는 치아삭제는 하지 않습니다)
앞니사이 메꾸는 레진 치료가 어려운 이유
"색과 모양을 맞추는 것이 어렵습니다"
어금니는 입안 깊숙한 곳에 있어 빛이 직접적으로 닿지 않기 때문에
색이 약간 달라도 크게 티가 나지 않습니다.
하지만 앞니는 빛이 바로 닿고 정면에서 보이는 치아이기 때문에
치아의 다양한 색과 투명도, 모양을 맞추는 것이 어금니 보다 매우 중요합니다.
치아 하나에도 색이 다양합니다.
자연스럽게 보이기 위해서는
치아 색과 모양을 세밀하게 맞추는 과정이 필요합니다.
보통 치료 시간은 약 30분에서 1시간 정도이며,(내원시 1시간정도, 개수가 많은 경우 더 많은 시간을 비우고 오셔야 합니다)
환자분 입장에서는 비교적 간단하게 앞니 콤플렉스를 개선할 수 있는 치료입니다.
하지만 시술하는 치과의사 입장에서는 생각보다 까다롭고 어려운 치료입니다.
많은 분들이 하는 어금니 충치 레진 치료보다
앞니 사이 레진 치료는 훨씬 섬세한 작업이 필요합니다.
앞니 사이 공간을 메꾸는 레진 치료는 치아 삭제는 하지 않지만
모양을 바꾼다는 점에서 성형 및 미용치료입니다
해외에서도 많은 분들이 관광을 온 김에 받고 가는 미용치료로, 만족도가 높습니다.
저희 연세예감치과는 앞니 벌어진 틈 레진치료를 위해 다양한 색상의 레진과
다양한 도구를 가지고 있습니다.
앞니 벌어진 틈 레진 치료는 어금니에 들어가는 색상의 레진으로는 자연스럽게 진행될 수 없습니다.
만약 앞니 사이가 벌어져서 고민이라면,
교정, 라미네이트, 레진 등 여러방법이 있습니다.
꼭 치료할 치과의사와 상담한 후 적절한 방법을 찾아 진행하세요.
저희 시청역 연세예감치과는
해외에서 관광객이 아름답고 건강한 치아를 만들기 위해
찾아오는 걸로 유명합니다.










