YES! SMILE!
안녕하세요,
서울 고덕동 예스미르치과입니다😊
오늘은 넘어지면서 앞니가 부러진 환자분의 치료 사례를 통해
갑자기 외상으로 앞니가 부러진 경우,
어떤 과정을 거쳐 치료가 이루어지는지
실제 사례를 바탕으로 소개해드릴게요 :)
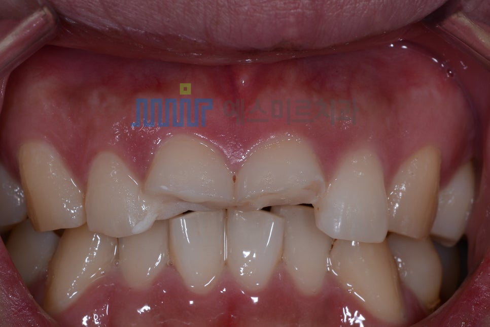
📍 내원 당시 상태

환자분은 넘어지면서 앞니가 크게 부러져 내원하셨습니다.
겉보기에는 치아 일부만 손상된 것처럼 보였지만,
정밀검사 결과 치아 구조 대부분이 손상되어 발치 가능성도 고려해야 하는 상황이었어요
하지만 환자분이 젊은 연령대였고,
충분한 상담 후에
발치 대신 치아를 보존하는 치료 방향으로 결정하게 되었습니다
🦷 신경치료 (근관치료) 과정 – 미세현미경 사용
외상으로 치아가 크게 손상된 경우,
치아 내부 신경(치수)에 손상이 발생할 수 있기 때문에
신경치료가 필요합니다
환자분의 경우 통증도 심하고, 많이 시려하셨고,
신경 손상이 확인되어
신경치료를 진행했습니다
예스미르치과에서는
미세현미경을 활용하여
정밀하게 근관 내 구조를 확인하고 치료하고 있습니다.
-
손상된 치아 내부의 감염된 조직 제거
-
치근관(신경이 지나가는 길)을 소독 및 세척
-
세균이 다시 침투하지 않도록 밀봉
-
치아가 깨어진 부위를 보강할 수 있도록 코어(기둥) 형성
이렇게 치아 내부를 안전하게 정리하고 구조를 보강한 뒤,
기능과 심미성을 함께 고려한 보철 치료를 이어갔습니다

신경치료 과정
🦷 지르코니아 크라운으로 마무리
앞니는 기능뿐 아니라 심미적인 역할도 중요한 부위입니다.
환자분은 내구성과 자연스러운 색감이 장점인
‘지르코니아 크라운’을 선택하셨습니다.
지르코니아는 세라믹 재질 중에서도 강도가 높고
빛 반사도 자연스러워
앞니 보철물로 많이 사용되는 재료입니다.


치료 후 환자분은
“다시 웃을 수 있게 되어 마음이 놓인다”며 만족감을 표현해주셨어요😊
💡 예스미르치과는 이렇게 진료합니다
환자분의 연령, 치아 상태, 치료 목적 등을 종합적으로 고려해
가급적 자연치 보존을 우선으로 진료 방향을 설정합니다.
신경치료부터 보철까지
보존과 전문의와 보철과 전문의 원장님이
병원 내 연계 시스템을 통해
치료가 이어질 수 있도록 진행합니다.


보철과 나기원원장님, 보존과 박혜진원장님
앞니 외상으로 치료가 필요하신 분들은
진단 시기를 놓치지 않고 빠르게 치과에 내원해주시는 것이 중요합니다
궁금한 점이 있다면 언제든 예스미르치과에 문의해주세요.
정확하고 친절하게 안내드리겠습니다 😊
📌 예스미르치과 | 서울 강동구 고덕비즈밸리로 26 강동U1센터 A동 2층
☎️ 02-427-2875
🔔 본 게시물은 특정 시술이나 효과를 홍보하거나 유도하기 위한 목적이 아닌,
치과 진료 과정에 대한 이해를 돕기 위한 건강 정보 제공용 콘텐츠입니다
※ 위 치료 사례는 환자 개인의 상태에 따라 진행된 내용으로,
모든 환자에게 동일하게 적용되지 않으며 치료 여부와 방식은 반드시 의료진 진단을 바탕으로 결정됩니다.