YES! SMILE!
์๋ ํ์ธ์ ๐
์์ธ ๊ณ ๋๋น์ฆ๋ฐธ๋ฆฌ ์์ค๋ฏธ๋ฅด์น๊ณผ์ ๋๋ค.
๋ฉฐ์น ์ , ์์ค๋ฏธ๋ฅด์น๊ณผ์์ ์งํ๋ ์ํ๋ํธ ์์ ํ์ฅ์
์น๊ณผ ์ ๋ฌธ ๋ฐฉ์ก ์ฑ๋ ๋ด์ฌTV(DenALL TV) ์ดฌ์ํ์ด ๋ฐฉ๋ฌธํด์ฃผ์ จ์ต๋๋ค!
์ด๋ฒ ์์ ์ฅ๋ฉด์
์ค์คํ ์๋๋ฏธํ ๋ฌ์์์์ ์์ค๊ณ๋ ์์ ์ผ๋ก,
๋ง์ ์น๊ณผ์์ฌ ์ ์๋๋ค๊ณผ ๊ด๊ณ์๋ถ๋ค์ด ์ ์ธ๊ณ์์ ํจ๊ป ์์ฒญํ๊ฒ ๋ฉ๋๋ค ๐
๐ธ ์์ค๋ฏธ๋ฅด ์ํ๋ํธ ์์ ์ ์ด๋ ๊ฒ ์งํ๋ฉ๋๋ค
์์ ์ ํ์๋ถ์ ํธ์ํจ๊ณผ ์์ ์ ์ต์ฐ์ ์ผ๋ก
๊ผผ๊ผผํ๊ฒ ์ค๋นํ์ฌ ์งํ๋ฉ๋๋ค.


๋ชจ์์์ ๊ฐ์ด๋, ์ธ๋ฐ๋ ํ์๊ณ
โ ์์ ์ ์ค๋น
-
๋ด์ ๋ฐ ์ปจ๋์ ์ฒดํฌ
-
ํ์ ์ธก์ , ์ ์ ์งํต์ ๋ณต์ฉ
-
ํ๋ ธ๋ผ๋ง ์ดฌ์ ๋ฐ ์ง๋ฃ ์ฌ์ง ๊ธฐ๋ก
ํ์๋ถ์ ๊ธด์ฅ์ ๋์ด๋๋ฆฌ๊ธฐ ์ํด ์ค๋ชฐํ ํฌ๋ฅผ ๋๋ ๋ค,
์ค๋ ์งํ ๋ ์์ ๊ณผ ์ ์ฐจ์ ๋ํด ์๋ด๋๋ ธ์ต๋๋ค
ํธ์ํ ๋ถ์๊ธฐ ์์์ ์ง๋ฃ๊ฐ ์์๋ ์ ์๋๋ก ๋์๋๋ฆฌ๊ณ ์์ด์


๋์งํธ ์ํ๋ํธ ๋ชจ์ ์์
โ๏ธ ์์ค๋ฏธ๋ฅด์น๊ณผ์์๋ ์์ ์ ,
๋์งํธ ์ํ๋ํธ ๋ชจ์์์ โ์ ํตํด
ํ์๋ถ์ ๊ตฌ๊ฐ ์ํ๋ฅผ ์ ๋ฐํ๊ฒ ๋ถ์ํฉ๋๋ค.
CT์ ๊ตฌ๊ฐ์ค์บ ๋ฐ์ดํฐ๋ฅผ ๋ฐํ์ผ๋ก
์ํ๋ํธ ์์น, ๊ณจ ๋์ด, ์ ๊ฒฝ ๊ตฌ์กฐ ๋ฑ์ ์๋ฎฌ๋ ์ด์ ํ์ฌ
๋ ์์ ํ๊ณ ์์ธก ๊ฐ๋ฅํ ์์ ๊ณํ์ ์๋ฆฝํ๊ฒ ๋ฉ๋๋ค.
์ด๋ฒ ๋์งํธ ๋ชจ์์์ ์
์ด์คํ ๋ํ์์ฅ๋์ด ๋ด๋นํด์ฃผ์ จ์ผ๋ฉฐ,
์ฌ์ ๋ถ์๋ถํฐ ์์ ๊น์ง
์ฒด๊ณ์ ์ผ๋ก ์งํ๋์์ต๋๋ค.


๐ ๊ตญ์๋ง์ทจ ํ, ์์ ์ค๋ก ์ด๋
์์ค๋ฏธ๋ฅด์น๊ณผ๋ ์ํ๋ํธ ์ ์ฉ ์์ ์ค์ ์ด์ํ๋ฉฐ,
ํ์๋ถ๊ป ์์ ์ ์ธ ํ๊ฒฝ์์ ์์ ์ด ์งํ๋ ์ ์๋๋ก ์ฒ ์ ํ ์ค๋นํ๊ณ ์์ต๋๋ค.

๋ฉธ๊ท ๋ ๊ธฐ๊ตฌ๋ค

์์ ์ค๋นํ์๋ ๊น์ฉ์ง ์์ฅ๋
๐จโโ๏ธ ํ์ง ์์คํ โ ์์ ๊ณผ ๋ณด์ฒ , ๋ชจ๋ ์ ๋ฌธ์๊ฐ ํจ๊ปํฉ๋๋ค
์ด๋ฒ ์ํ๋ํธ ์์ ์
๊ตฌ๊ฐ์ ์๋ฉด์ธ๊ณผ ์ ๋ฌธ์ ๊น์ฉ์ง ์์ฅ๋์ด ์์ ์ ์ง๋ํ์๊ณ ,
๋ณด์ฒ ๊ณผ ์ ๋ฌธ์ ๋๊ธฐ์ ์์ฅ๋์ด ๋ณด์ฒ ์ค๊ณ๋ฅผ ๋งก์ ์งํํ์ต๋๋ค.


๋ด์ฌTV ์์ ์ฅ๋ฉด ์ดฌ์์ค
โ๏ธ ์์ ์ค์๋ ๋ณด์ฒ ๊ณผ ์์ฅ๋์ด ํจ๊ป ์ฒดํฌ
โ๏ธ ๋ณด์ฒ ์ธํ ์์๋ ์์ ์์ฅ๋์ด ์๋ฆฝ ์์น๊น์ง ํ์ธ
์ง๋ฃ์ ์ ํ๋๋ฅผ ๋์ด๊ธฐ ์ํ
์ ๋ฌธ์ ๊ฐ ํ์ง ์์คํ ์ด
์์ค๋ฏธ๋ฅด์น๊ณผ์ ํฐ ์ฅ์ ์ด์์.


๋ณด์ฒ ๊ณผ ์์ฅ๋์ด ์์์น์๋ฅผ ์ฒดํฌํ๋ ์ค
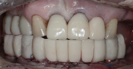
๐ฆท ๋น์ผ, ์ํ์ ์์ ๋ณด์ฒ ๊น์ง ์ธํ ์๋ฃ!
์ด๋ฒ ์์ ์ ํ๋ฃจ์ โ์์ +ํ์ ์ํ๋ํธ ์๋ฆฝ์ด ๋ชจ๋ ์งํ๋์๊ณ ,
๊ฐ์ ๋ , ์์ ๋ณด์ฒ ๋ฌผ๊น์ง ์ธํ ํด๋๋ ธ์ต๋๋ค.
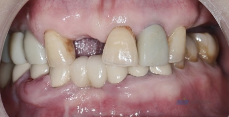
ํ์๋ถ์ ๊ตฌ๊ฐ ์ํ์ ์น๋ฃ ๊ณํ์ ๋ฐ๋ผ
๊ฐ๋ฅํ ๊ฒฝ์ฐ ๋น์ผ ๊ธฐ๋ฅ์ ํ๋ณต์ด ๊ฐ๋ฅํ
์์ ๋ณด์ฒ ์ ์งํํ๊ณ ์์ต๋๋ค.
*ํ์๋ถ์ ๊ตฌ๊ฐ์ํ์ ๋ฐ๋ผ ์๋ฃ์ง์ ํ๋จํ์ ์งํ๋ฉ๋๋ค


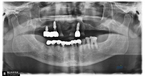
์์ ์ ํ๋ ธ๋ผ๋ง์ ๊ตฌ๊ฐ์ฌ์ง


์์ ํ ํ๋ ธ๋ผ๋ง์ ๊ตฌ๊ฐ์ฌ์ง
๐ฅ ์ค์คํ ์๋๋ฏธํ ์์ค๊ณ ์์ !
์์ค๋ฏธ๋ฅด์น๊ณผ์์ ์งํ๋ ์ด๋ฒ ์์ ์ฅ๋ฉด์
์ค์คํ ์ํ๋ํธ ์ฃผ๊ด โ2025 ์๋๋ฏธํ in ๋ฌ์์โ์์
์์ค๊ณ๋ก ์ ์ธ๊ณ์ ์ก์ถ๋ ์์ ์ ๋๋ค.
์์ค๋ฏธ๋ฅด์น๊ณผ๋ ์์ ์ ์ค๋น๋ถํฐ
์์ , ๋ณด์ฒ ์ธํ ๊น์ง
์ํ๋ํธ ์น๋ฃ์ ์ ์ฒด ํ๋ฆ์ ๋ณด์ฌ๋๋ฆด ์ ์์ด
๋์ฑ ๋ป๊น์ ์๊ฐ์ด์์ต๋๋ค ๐


์์ ํ ๋น์ผ ์์์น์๋ฅผ ์ค๋นํ์๋ ๋๊ธฐ์์์ฅ๋
๐โโ๏ธ ํ์๋ถ์ ์์ ํ๊ฒ ๊ท๊ฐํ์ จ์ต๋๋ค
์์ ํ์๋ ์งํ ์ํ๋ฅผ ํ์ธํ๊ณ ,
์์ฅ๋์ด ์ง์ ์น๋ฃ ๊ณผ์ ๊ณผ ์ฃผ์์ฌํญ์ ์๋ดํด๋๋ฆฐ ํ ๊ท๊ฐํ์ จ์ต๋๋ค.
์์ผ๋ก ํ๋ณต ๊ณผ์ ์ ๊ผผ๊ผผํ ์ฒดํฌํ ์์ ์ด์์!

์์ ํ ์งํ ํ์ธํ๋ ์์ฅ๋
๐ฌ ์์ค๋ฏธ๋ฅด์น๊ณผ๋ ์ด๋ ๊ฒ ์ง๋ฃํฉ๋๋ค
-
์ง๋จ๋ถํฐ ์๋ฆฝ, ๋ณด์ฒ ๊น์ง
-
์ ๋ฌธ๊ณผ ํ์ง ์์คํ
-
์ธ๊ณผ์ ์ฉ ์ํ๋ํธ ์์ ์ค
-
์์ค๋ฏธ๋ฅด์น๊ณผ ๋ถ์๊ธฐ๊ณต์์์ ์ ๊ธฐ์ ์ธ ํ์
์์ค๋ฏธ๋ฅด์น๊ณผ๋ ํ์ ํ ๋ถ ํ ๋ถ์ ์น๋ฃ ๊ณผ์ ์
๋ ์ ๋ฐํ๊ณ , ๋ ์ฒด๊ณ์ ์ผ๋ก ์ค๊ณํ๊ณ ์์ต๋๋ค.
๊ถ๊ธํ ์ ์ด ์์ผ์๋ฉด ์ธ์ ๋ ํธํ๊ฒ ๋ฌธ์ํด์ฃผ์ธ์ ๐

์์ ํ ์ผ์ด์ค ๋ฆฌ๋ทฐ์ค์ธ ์์ฅ๋
์์ค๋ฏธ๋ฅด์น๊ณผ
์์ธํน๋ณ์ ๊ฐ๋๊ตฌ ๊ณ ๋๋น์ฆ๋ฐธ๋ฆฌ๋ก 26 ๊ฐ๋U1์ผํฐ A๋ 2์ธต
์์ธํน๋ณ์ ๊ฐ๋๊ตฌ ๊ณ ๋๋ 343-2 ๊ฐ๋U1์ผํฐ A๋ 2์ธต
์์ฝ ๋ฐ ๋ฌธ์๋
โ๏ธ 02-427-2875 ๋๋
๐ฌ ์นด์นด์ค์ฑ๋์ ํตํด ํธํ๊ฒ ๋จ๊ฒจ์ฃผ์ธ์!
๐ ์๋ด๋๋ฆฝ๋๋ค
๋ณธ ์ฝํ ์ธ ๋ ํน์ ์์ ์ด๋ ํจ๊ณผ๋ฅผ ํ๋ณดํ๊ฑฐ๋ ์ ๋ํ๊ธฐ ์ํ ๋ชฉ์ ์ด ์๋,
์น๊ณผ ์ง๋ฃ ํ๋ฆ๊ณผ ๊ณผ์ ์ ์ดํดํ์๊ธฐ ์ฝ๊ฒ ์๋ด๋๋ฆฌ๋ ๊ฑด๊ฐ ์ ๋ณด ์ฝํ ์ธ ์ ๋๋ค.
์น๋ฃ ์ฌ๋ถ์ ๋ฐฉ์์ ํ์๋ถ์ ์ํ์ ์๋ฃ์ง์ ์ง๋จ์ ๋ฐ๋ผ ๊ฒฐ์ ๋ฉ๋๋ค.
ํ์๋ถ์ ์ฌ์ ๋์๋ฅผ ๋ฐ๊ณ , ์น๋ฃ ์ฅ๋ฉด ์ผ๋ถ๋ฅผ ์ดฌ์ํด ์๊ฐํด๋๋ฆฝ๋๋ค.
๋ณด๋ค ์์ํ ์ง๋ฃ ๊ณผ์ ์ ์ดํดํ๋ ๋ฐ ๋์์ด ๋์ จ์ผ๋ฉด ํฉ๋๋ค ๐