YES! SMILE!
안녕하세요
서울 고덕동 예스미르치과입니다
오늘은 심한 통증과 염증으로 내원하신 환자분의
'상악동 천공, 뼈이식 치료 사례'를
소개해드릴게요
치아가 흔들리고 잇몸이 자주 붓는다면,
단순한 문제가 아닐 수 있습니다
이번 사례처럼 상악동까지 염증이 퍼진 경우도 있기 때문에
정확한 검진과 조기 치료가 무엇보다 중요합니다
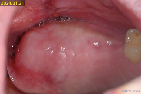
📍 내원 당시 상태
환자분은 왼쪽 위아래 치아가 흔들리고,
잇몸이 붓고 통증이 심하다며 내원하셨습니다
파노라마, 3D CT 정밀 촬영을 통해
검사를 진행해보니
👉 왼쪽 위쪽 상악동(코 옆 공기주머니)에
염증이 가득 차 있고,
뼈도 많이 녹아 있는 상태였습니다

💡 상악동이란?
상악동은 코 옆에 위치한 빈 공간으로
공기가 순환하며
항상 비어있어야하는 구조입니다
그런데 치아 뿌리에서 시작된 염증이
상악동으로 퍼지면서
이 공간이 염증 조직으로 가득 찬 상태였어요
⚠️증상이 없다고 방치할 경우,
이비인후과적 수술적 치료가 필요한 상황까지 진행될 수 있습니다
따라서 조기 발견과 치료가 매우 중요합니다

예시 사진입니다
🦷 발치 & 뼈이식& 임플란트 진단
상태가 심각해 왼쪽 위 #25,26 치아는 발치가 필요했고,
임플란트를 심기엔
뼈가 거의 없는 상태였습니다
특히
볼 쪽 뼈(협측골)은 염증으로 많이 녹아 있었고,
상악동(위쪽 뼈) 역시 염증으로
천공(구멍 발생) 되어 있는 상태였습니다
원장님과 충분한 상담 후
뼈이식수술과 #25,26,27,37 임플란트를
진행하기로 계획을 세웠습니다
🛠️ 수술 진행 과정
🔹1. 염증조직 제거, 발치
치아 발치 후,염증 조직을 제거했습니다
상악동 쪽 염증도 함께 제거하며
약 5ml 정도의 상악동 염증을 제거했습니다


🔹 2. 상악동 거상술 + 뼈이식
상악동에 뼈가 거의 없는 상태였기 때문에
상악동 거상술(sinus lift)와 뼈이식, 골유도재생술을
함께 진행했습니다
환자분의 뼈 상태와 수술 부위의 특성에 따라
수술하는 원장님이
적합한 뼈이식재를 선택하여
안전하게 이식하고 있습니다
재료 선택부터 이식방법까지 신중하게 결정됩니다
아래 환자의 경우,
뼈상태가 좋지 않아서
상악동 거상술 (Sinus lift)을 통해 이식재가 들어갈 자리를 만들어주었고,
뼈이식 (Bone Grafting)을 통해 뼈를 가득 채워 넣었습니다
뼈이식재가 단단하게 자리 잡을 수 있도록
골유도 재생술 (Guided Bone Regeneration with membrane)을 함께 진행 후
임플란트 식립까지 당일에 완료했습니다




뼈이식과 골유도재생술을 동반한 임플란트식립
🔹 3. 회복 및 경과
2주 뒤 실밥 제거를 했습니다
이 시기에는 잇몸 주변이 노랗게 보이는 부위가 있을 수 있는데요
많은 환자분들이 "염증이 생긴 건가요?"하고 걱정하시지만
이건 염증이 아니라 잇몸이 회복되는 정상적인 과정입니다
노란빛은 상처 회복 중 생기는 섬유조직이나 백혈구 반응으로,
자연스러운 회복의 일부입니다
⚠️다만,
열감이 느껴지거나 통증, 붓기가 심해지는 경우에는
병원으로 연락해주세요
초기 대응이 빠르면 회복도 원활해질 수 있습니다


윗니 임플란트의 일반적인 기간이 4개월인데
상당량의 뼈이식을 진행한 케이스라
긴 회복기간이 필요했습니다
약 6개월 후 상악의 뼈가 충분히 단단해진 것을 확인하고
임플란트를 완성해드렸습니다




왼쪽 치료 전, 오른쪽 치료 후
✅ 예스미르치과의 뼈이식 치료, 이렇게 진행됩니다
정확한 3D 진단으로 염증과 골 상태 파악
불필요한 발치는 지양, 꼭 필요한 경우에만 진행
환자 상태에 따라 맞춤형 회복 계획 수립
치과 공포가 있다면 수면치료(의식하진정법)도 가능합니다

💡이런 증상이 있다면 꼭 진단 받아보세요!
✅ 잇몸이 자주 붓고 통증이 있는 경우
✅ 오래된 보철물 주변에서 이상 증상이 느껴질 때
✅ 위쪽 어금니 부위가 눌리는 듯한 통증이 있을 때
✅ 과거 상악동 수술 이력이 있다면
👉 상악동은 코와 가까워 치료 시 고난이도 수술이 필요한 부위입니다.
정확한 진단과 풍부한 경험이 중요한 이유예요


예스미르치과
서울특별시 강동구 고덕비즈밸리로 26 강동U1센터 A동 2층
서울특별시 강동구 고덕동 343-2 강동U1센터 A동 2층
예약 및 문의는
☎️ 02-427-2875 또는
💬 카카오채널을 통해 편하게 남겨주세요!
🔔 본 게시물은 특정 시술을 유도하거나 그 효과를 보장하기 위한 목적이 아닙니다.
해당 내용은 치과 진료 과정을 이해하시기 위한 건강 정보 콘텐츠이며,
치료 방법 및 경과는 환자 개인의 구강 상태에 따라 달라질 수 있습니다.
정확한 진단과 치료 계획은 반드시 의료진과의 상담 후 결정됩니다.
본 사례는 환자분의 동의하에 게시되었습니다.