아카이브 요약
이 페이지의 역할
예스미르치과의원의 네이버 블로그 원문을 보존한 아카이브 페이지입니다. 치료케이스 카테고리의 ✨앞니 색상, 자연스럽게? 새하얗게? 고민된다면 - 미라클네이트 글을 통해 병원의 한국어 정보 제공 방식과 진료 관련 안내 톤을 확인할 수 있습니다.
원문 검증
필요하면 원문 블로그와 병원 프로필로 바로 이동해 문맥을 다시 확인할 수 있습니다.
출처 아카이브 열기아카이브된 블로그 글
예스미르치과의원 · Naver Blog
YES! SMILE! 안녕하세요 강동구 예스미르치과입니다😊 오늘은 미라클네이트 상담 시 많은 분들이 가장 많이 물어보시는 질문! 바로 앞니 색상을 어떻게 정하나요? 대한 이야기를 해보려고 합니다 🦷 미라클네이트란? 미라클네이트는 예스미르치과의 무삭제 또는 최소삭제 방식의 라미네이트 치료입니다. 치아를...
게시일
2025년 7월 21일
원문 기준으로 확인된 발행일입니다.
카테고리
치료케이스
원문 블로그 카테고리를 정리해 함께 표시합니다.
이미지 수
11
현재 아카이브에 연결된 이미지 수입니다.
아카이브 요약
예스미르치과의원의 네이버 블로그 원문을 보존한 아카이브 페이지입니다. 치료케이스 카테고리의 ✨앞니 색상, 자연스럽게? 새하얗게? 고민된다면 - 미라클네이트 글을 통해 병원의 한국어 정보 제공 방식과 진료 관련 안내 톤을 확인할 수 있습니다.
원문 검증
필요하면 원문 블로그와 병원 프로필로 바로 이동해 문맥을 다시 확인할 수 있습니다.
출처 아카이브 열기YES! SMILE!
안녕하세요
강동구 예스미르치과입니다😊
오늘은 미라클네이트 상담 시
많은 분들이 가장 많이 물어보시는 질문!
바로 앞니 색상을 어떻게 정하나요?
대한 이야기를 해보려고 합니다
🦷 미라클네이트란?
미라클네이트는 예스미르치과의
무삭제 또는 최소삭제 방식의 라미네이트 치료입니다.
치아를 거의 깎지 않고 0.1mm 내외의 얇은 세라믹 코팅을 통해
치아의 모양, 색상, 배열 등을 개선하는 심미 치료로,
기존 라미네이트에 비해 치아 손상이 적고
자연치아를 보존하면서 아름다운 결과를 기대할 수 있습니다.
숙련된 의료진, 기공사, 기공 장비까지 삼박자가 갖춰진
예스미르치과만의 맞춤 제작 시스템으로
환자 개개인에 꼭 맞는 라미네이트를 제작해드립니다.

🎨 자연스럽게? 새하얗게?
정답은 없습니다
어떤 분은 자연스럽고 은은한 색상을 원하시고,
어떤 분은 환하고 새하얀 이미지로 변화하길 원하시기도 하죠
앞니치아는 얼굴의 인상을 좌우하는 중요한 부위인 만큼
색상 선택에 있어 딱 정해진 '정답'은 없어요
사람마다 원하는 느낌이 다 다르기 때문이죠!
그래서 치아 색상은
환자분의 취향과 원하는 이미지를 고려해서
충분한 상의 후 결정하게 됩니다

VITA shade guide

미라클네이트는 단순히 한 가지 색상만 있는 것이 아니라
여러 단계의 밝기와 색조를 선택할 수 있어요
그냥 하얗거나 노란 게 아니라,
VITA shade guide를 활용해
다양한 톤을 비교합니다.
특히, 치아는 조명에 따라 달라 보이기 때문에
형광등, 자연광, 따뜻한 조명 아래 등 여러 환경에서 확인합니다.
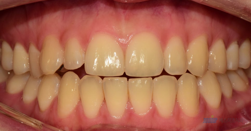
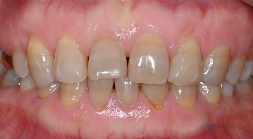
📷 아래 사진은
같은 시간, 같은 장소, 같은 기기(갤럭시 S24 울트라)로
조명만 바꿔 촬영한 비교 이미지예요.
→ 조명에 따라 치아 색이 얼마나 달라 보이는지 보이죠?

조명에 따라서 치아 색상이 달라 보일 수 있어요
환자분의 피부톤, 입술색, 전체적인 이미지까지 고려해서
환자분이 원하는 방향을 고려해서
가장 잘 어울리는 색상을
매우 신중하게 결정합니다🧑🏻⚕️
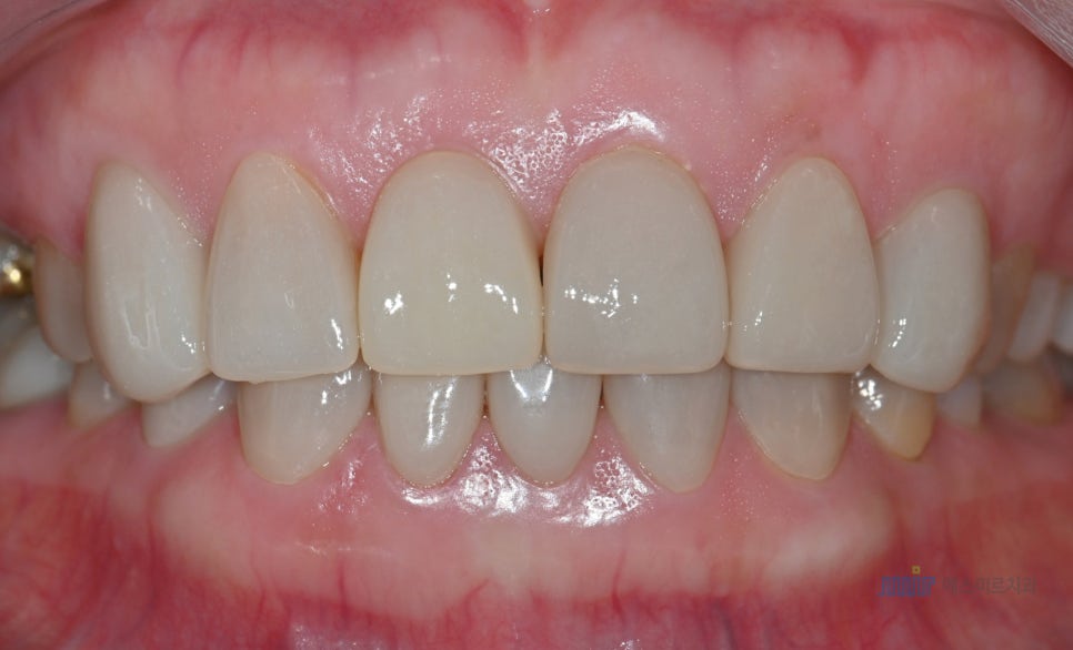
실제 사례로 살펴볼게요
💎20대 여성 환자분
"완전 하얗게요!"
이 분은 평소에 치아가 누렇게 보이는 게 늘 신경 쓰이셨다고해요.
치료를 받더라도 무조건 "새하얗게!"라는 걸 원하셨죠
원장님과 충분히 상담 후 가장 밝은 색으로 결정하셨어요



🌿50대 여성 환자분
"자연스러운 톤이면 좋겠어요"
이 분은 나이가 들면서 치아 색이 부분적으로 변색되어
전체적으로 톤이 균일했으면 좋겠다고 하셨어요
너무 하얗게만 만드는게 아니라
자연스럽고 단정한 이미지를 유지하면서
얼굴 톤과 조화를 이루는 부드럽고 환한 색상을 추천드렸어요


두 분 다
원하시는 색상과 이미지가 달라
미라클네이트의 색상도 다르게 제작되었습니다
색상 선택의 핵심은 '만족감' 입니다
치아 색상은
환자 본인이 거울을 보고
만족할 수 있느냐가 가장 중요합니다
치과는 전문가의 시선으로 조언을 드리지만,
최종 결정은 환자의 만족감을 최우선으로 합니다.
단, 원하시는 방향이
자연스럽지 않거나, 인상이 어색해질 수 있다면
전문의가 그 이유를 충분히 설명드리고
더 좋은 대안을 함께 고민합니다.
👉 원하는 방향으로 가되,
더 좋은 선택을 할 수 있도록 도와드립니다.
사람마다
원하는 이미지와 미적 기준은 다르기에
예스미르치과에서는
충분한 상담을 거쳐 치료를 진행합니다😊

✨미라클네이트
궁금하시다면, 언제든 편하게 연락주세요!
✔️ 치아 색상 때문에 미소 지을 때 신경 쓰이는 분
→ 평소 치아가 누렇게 보이거나, 색이 고르지 않아 자신감 있는 미소가 어려운 경우
✔️ 앞니가 살짝 벌어지거나 비뚤어져 있는 경우
→ 교정이 부담스럽거나 시간이 오래 걸리는 게 고민이신 분들
(※ 단, 교정이 필요한 경우는 진단 후 구분해서 안내드립니다)
✔️ 치아 표면이 매끄럽지 않고 까끌까끌한 경우
→ 법랑질의 표면이 손상되어 보이거나 착색이 잘 되는 경우
✔️ 결혼, 면접, 발표 등 중요한 일정 전 이미지 개선을 원하시는 경우
→ 짧은 기간 내 밝고 정돈된 인상을 만들고 싶은 분들
✔️ 기존 라미네이트가 불만족스러워 개선을 원하시는 경우
→ 너무 두껍거나, 어색한 색상, 탈락 등의 문제로 재치료를 고민하신다면
무삭제 라미네이트인 미라클네이트를 상담해보실 수 있습니다
의료진과 함께 꼼꼼히 상담하고 결정하신다면
만족스러운 결과를 얻어 내실거에요!

https://youtu.be/npsXu2Stb5Q?si=s_3UN8fCQwy-VqHh
예스미르치과
서울특별시 강동구 고덕비즈밸리로 26 강동U1센터 A동 2층
서울특별시 강동구 고덕동 343-2 강동U1센터 A동 2층
예약 및 문의는
☎️ 02-427-2875 또는
💬 카카오채널을 통해 편하게 남겨주세요!
🔔 본 게시물은 특정 시술을 유도하거나 그 효과를 보장하기 위한 목적이 아닙니다.
해당 내용은 치과 진료 과정을 이해하시기 위한 건강 정보 콘텐츠이며,
치료 방법 및 경과는 환자 개인의 구강 상태에 따라 달라질 수 있습니다.
정확한 진단과 치료 계획은 반드시 의료진과의 상담 후 결정됩니다.
본 사례는 환자분의 동의하에 게시되었습니다