아카이브 요약
이 페이지의 역할
예스미르치과의원의 네이버 블로그 원문을 보존한 아카이브 페이지입니다. 스마트 진료소개 카테고리의 예스케어 예방 프로그램 ㅣ 치아는 관리가 먼저! 글을 통해 병원의 한국어 정보 제공 방식과 진료 관련 안내 톤을 확인할 수 있습니다.
원문 검증
필요하면 원문 블로그와 병원 프로필로 바로 이동해 문맥을 다시 확인할 수 있습니다.
출처 아카이브 열기아카이브된 블로그 글
예스미르치과의원 · Naver Blog
YES! SMILE! 안녕하세요 고덕비즈밸리 예스미르치과입니다 "치아는 아플 때만 치료하면 되지 않을까?" 하고 생각하기 쉽지만 사실 치아와 잇몸은 "미리 관리하는 습관"이 무엇보다 중요해요 치아는 한 번 손상되면 원래 상태로 회복이 어렵기 때문에 예방하는 습관이 중요해요 아프기 전에, 약해지기 전에...
게시일
2025년 8월 19일
원문 기준으로 확인된 발행일입니다.
카테고리
스마트 진료소개
원문 블로그 카테고리를 정리해 함께 표시합니다.
이미지 수
10
현재 아카이브에 연결된 이미지 수입니다.
아카이브 요약
예스미르치과의원의 네이버 블로그 원문을 보존한 아카이브 페이지입니다. 스마트 진료소개 카테고리의 예스케어 예방 프로그램 ㅣ 치아는 관리가 먼저! 글을 통해 병원의 한국어 정보 제공 방식과 진료 관련 안내 톤을 확인할 수 있습니다.
원문 검증
필요하면 원문 블로그와 병원 프로필로 바로 이동해 문맥을 다시 확인할 수 있습니다.
출처 아카이브 열기YES! SMILE!
안녕하세요
고덕비즈밸리 예스미르치과입니다
"치아는 아플 때만 치료하면 되지 않을까?"
하고 생각하기 쉽지만
사실 치아와 잇몸은 "미리 관리하는 습관"이 무엇보다 중요해요
치아는 한 번 손상되면
원래 상태로 회복이 어렵기 때문에
예방하는 습관이 중요해요
아프기 전에, 약해지기 전에
예방관리만 잘해도
👉불필요한 통증을 막을 수 있고,
👉치료비 부담도 훨씬 줄일 수 있어요
예스미르치과의
예스케어 프로그램은
치아가 아프기 전에
잇몸이 약해지기 전에
미리 관리하는 예방 중심의 프로그램입니다

예스케어 프로그램에서는 무엇을 하나요?
예스케어 프로그램의 구성은 다양하지만
몇가지만 먼저 소개해드릴게요
생각보다 칫솔질을 제대로 하지 못하는 경우가 많아요
"선생님, 저 하루에 양치질을 다섯번이나 해요!"
라고 말씀하셨지만,
잘못된 칫솔질 습관 때문에
잇몸 쪽 치태관리가 되지 않아
잇몸이 부어있는 경우도 있죠
그래서 양치하는 습관 교육이 중요합니다
예스케어에서는
칫솔질 하는 법 부터,
치간칫솔, 치실 사용법까지
꼼꼼히 알려드려요
또, 평소 쓰시는 칫솔을 확인하고,
평소 양치 습관까지 점검합니다


칫솔은 모양과 용도에 따라 차이가 있고,
치간칫솔의 사이즈는 다양해서
제대로 고르기 쉽지 않습니다
예스케어에서는 구강내 상태를 검진한 후
칫솔, 치간칫솔, 치약 등
적절한 구강용품을 맞춤으로 추천해드려요


타액/침을 통해
구강내 유해균을 확인합니다
유해균 검사를 통해서
👉내가 충치가 잘 생기는 타입인지,
👉잇몸이 안 좋은 타입인지,
qPCR 유전자 분석으로
병원성 구강유해균을 정량 분석하고,
유해균 데이터를 기반으로
주의해야할 질병군도 예측할 수 있습니다
개인별 맞춤 예방 방향을 세우는데 도움을 드립니다

치아 법랑질에는 미세한 틈이 있는데
충치균이 침투하기 쉬워요
불소케어는 이 틈을
코팅해주는 과정이라고 생각하면됩니다
불소케어를 통해서
치아 법랑질의 내산성을 높여
👉충치를 예방할 수 있도록 도와주고,
👉시린 증상 완화에도 도움을 줍니다

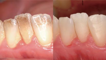
스케일링은초음파 진동을 통해서 치석을 제거하는 방식이라면,
아쿠아케어는
특수처리된 미세 파우더와 용액을 분사해
자극과 통증을 최소화하면서
섬세하게 클리능할 수 있습니다

👉칫솔이 닿지 않는 부위까지 세심하게 관리하고,
👉치석과 바이오필름 제거해
상쾌한 구강환경을 유지하는데 도움을 줘요

이 외에도 치아영양제, 잇몸마사지, 위상차 검사, Qray 등
여러가지 케어와 검사가 준비되어 있어요
자세한건 병원으로 문의해주시면
친절히 안내해 드릴게요!
🙋어떤 분들에게 좋을까요?
| 스케일링만으로는 관리가 부족하다고 느끼시는 분 |
|---|
| 양치질은 열심히 하는데 충치가 자주 생기는 분 |
| 교정치료 중인 분 |
| 임플란트 시술 후 유지관리가 필요한 분 |
예스케어 프로그램은
단순한 클리닝이 아니라
정밀 진단과 생활습관 교육이 함께하는
맞춤형 예방관리 시스템입니다
"치아는 하루하루 작은 관리가 모여
평생의 건강으로 이어집니다"
예스케어 프로그램은
환자분들이 일상 속에서도 꾸준히 관리할 수 있도록 돕는
든든한 동반자가 될거에요
예방치료에 관심 있으신 분들은
정기검진과 함께
상담 받아 보시길 권해드립니다

예스미르치과
서울특별시 강동구 고덕비즈밸리로 26 강동U1센터 A동 2층
서울특별시 강동구 고덕동 343-2 강동U1센터 A동 2층
예약 및 문의는
☎️ 02-427-2875 또는
💬 카카오채널을 통해 편하게 남겨주세요!
🔔 본 게시물은 특정 시술을 유도하거나 그 효과를 보장하기 위한 목적이 아닙니다.
해당 내용은 치과 진료 과정을 이해하시기 위한 건강 정보 콘텐츠입니다