

약수동치과, 충치치료 미루면 안되는 이유
구강질환은 성별, 연령 관계없이 누구나 한 번 이상은 경험하게 되는 질환입니다. 그 중에서도 충치는 우리나라 인구 중 90% 이상이 현재 진행 중인 충치를 1개 이상 갖고 있거나 충치치료 경험이 있는 것으로 알려졌습니다.
충치는 양치질로 미처 제거되지 못한 입 안의 남은 음식물 찌꺼기와 세균이 만나 발생하는 산에 의해 치아가 부식되는 구강질환으로 발생 초기에는 충치를 의심해볼 만한 특별한 증상이 나타나지 않아 자신이 충치가 발생한지 모르다 중기, 말기가 되어 치통, 이 시림 등이 느껴질 때가 되서야 치과를 찾는 분들이 많습니다.

충치는 초기에 발견하면 비교적 짧은 기간 내 적은 비용으로 치료가 가능하지만 충치는 시간이 지날수록 정도가 심해지는 구강질환이기에 늦게 약수동치과에 내원하는 경우 치료 난이도가 어려워지고 비용적이나 치료 및 회복기간이 길어질 수 있으므로 미비한 증상이라도 가벼이 여기지 말고 치아에 이상이 생긴 것을 느낀다면 빠르게 치과에 내원하여 검사를 받고 적절한 치료를 하는 것이 중요합니다.

충치를 예방하는 가장 기본적인 방법은 하루 3번 꼼꼼히 양치질을 해주는 것인데요. 한 번 양치질을 안 한다고 해서 당장 충치가 발생하는 것은 아니지만 이러한 나쁜 구강관리 습관이 지속될 경우 충치를 유발하는 세균들이 입 안에 자리를 잡게 되고 음식물 찌꺼기가 누적되어 충치가 발생하기 좋은 환경을 제공하게 됩니다. 때문에 음식물 섭취 후에는 반드시 양치질을 해주는 것이 좋은데요.

하지만 양치질만으로는 충치를 예방하는 것은 어렵습니다. 칫솔모가 치아와 치아 사이의 미세한 틈까지는 닦아내지는 못하기 때문인데요. 그렇기 때문에 정기적으로 스케일링을 통해 양치질로는 미처 제거하지 못했던 음식물 찌꺼기 산물인 치태와 치석을 제거해주는 것이 매주 중요합니다.

이 두가지만 지켜도 충치 예방이 가능하며, 만약 이미 충치가 생겼다면 초기에 빠르게 적절한 치료를 통해 충치가 더 이상 커지지 않도록 해주는 것이 좋습니다. 스케일링을 1년에 12번, 사람에 따라서는 34번까지 권장하는 이유도 치태, 치석을 제거하는 것 외에도 스케일링 치료를 받으면서 아직 증상이 나타나지 않는 초기의 충치를 발견하여 치료하기 위함이기도 합니다.

충치는 크게 4단계로 분류됩니다. 우리가 매일 보는 치아의 겉면인 법랑질에만 충치가 생긴 경우는 1단계이며, 특별히 나타나는 증상이 없어 대부분 구강검진이나 스케일링 치료 시에만 충치를 발견하는 경우가 많습니다. 이 때에는 레진치료를 통해 통증도 거의 없고 당일 치료가 가능하기 때문에 치료에 대한 부담이 적은 단계라 할 수 있습니다.
이후 법랑질 바로 아래의 상아질까지 손상된 경우는 2단계로 이때부터는 충치로 인한 증상이 조금씩 나타나게 됩니다. 바로 온도 차가 나는 음식물이나 음료를 먹었을 때 약한 이 시림이나 통증이 나타나는 것인데요. 상아질에 충치가 침범한 후부터는 충치가 번지는 속도가 빠르기 때문에 즉시 충치를 제거하고 인레이 치료를 받는 것이 현명합니다.


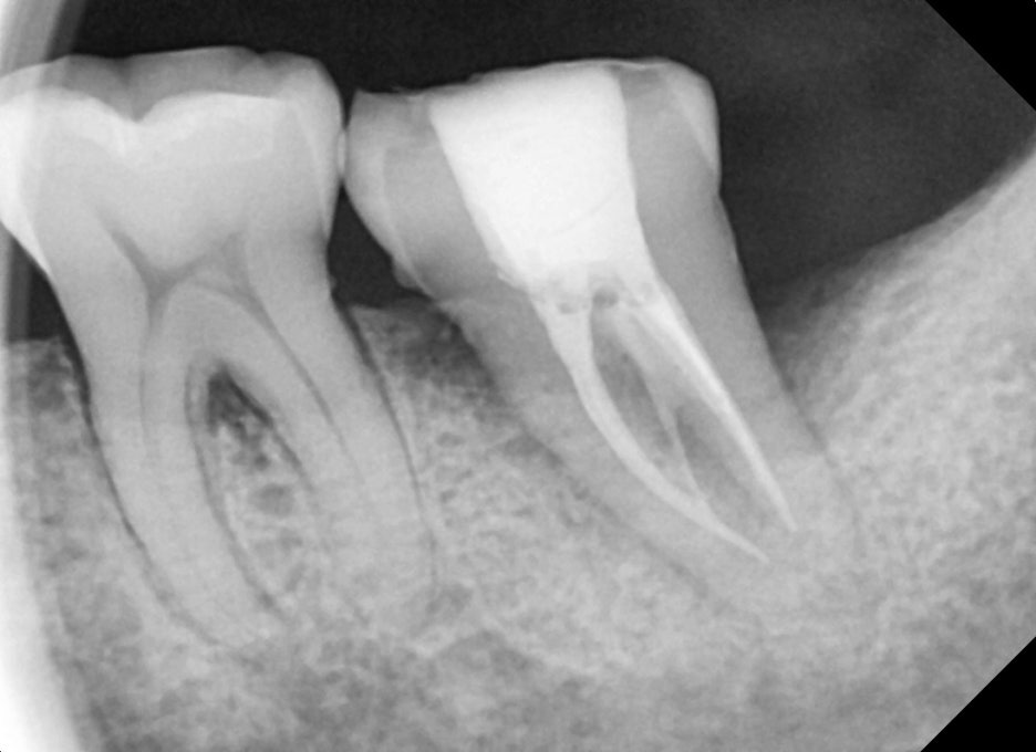
바른영치과 신경치료 전후 사례
3단계는 상아질 내부에 있는 신경까지 충치가 침습한 경우입니다. 이 때는 특별한 자극이 없어도 치통이 느껴지고 이 시림 증상이 있어 일상생활에 지장이 생기기 시작합니다. 이 때는 레진, 인레이 만으로는 치료가 어렵고 충치가 침범해 염증이 생긴 치수 즉 신경을 제거한 후 보충재를 채운 후 크라운을 씌워주는 치료를 진행하게 되며, 이 단계가 자연치아를 살릴 수 있는 마지막 단계입니다.
4단계는 치수괴사 상태로 자연치아 즉 영구치를 더 이상 살릴 수 없는 상태로 해당 단계로 접어들었다면 충치치료나 신경치료가 아닌 발치 후 임플란트와 같은 인공치아를 수복하는 치료를 진행하게 됩니다.
충치 3단계부터는 비용적인 부분도 부담이 크고 치료 횟수 및 기간이 길어지기 때문에 가급적 늦어도 2단계 전에 약수동치과 충치치료를 통해 자연치아를 살리는 것이 좋으며, 늦어도 3단계 신경치료를 통해 자연치아의 수명을 연장하는 것을 중요히 생각해야 합니다.

간혹 약수동치과에 내원한 환자 분들 중에는 치아 하나쯤 없어도 큰 불편함을 느끼지 못한다며 충치 및 신경치료를 중요하게 생각하지 않거나 그냥 발치 후 임플란트를 식립하는 것이 더 낫지 않을까 하는 생각을 하시는 분들이 있습니다.
그러나 아무리 뛰어난 인공치아라도 자연치아의 저작능력, 심미성을 따라잡기는 힘들며, 만약 임플란트 식립을 생각하고 치수괴사 단계까지 통증을 참는다 해도 그 동안에 다른 치아로 충치가 전이될 수도 있으며, 심각한 잇몸질환을 유발하기도 하기 때문에 미루는 것은 금물입니다.

약수동치과 바른영치과에서는 자연치아 살리기를 우선으로 생각하며 모든 치과진료를 진행하고 있으며 모든 치과진료에 대한 지식과 경험을 갖춘 통합치의학과 원장님이 늘 상주하고 있어 충치치료, 신경치료, 잇몸치료 등 다양한 자연치아 살리기 치료를 원스톱으로 받아보실 수 있습니다.

만약 이미 상태가 많이 심각해 적절한 치료시기를 잃은 경우에도 자연치아를 살릴 수 있는 방법을 우선으로 생각하여 한 번 더 정밀 검사를 통해 방법을 모색하기 위해 노력하며, 모든 치과진료는 환자 개개인의 구강상태에 맞추어 진행하기 위하여 3D-CT와 같은 정밀 진단 장비를 통해 환자의 현재 구강을 면밀히 관찰한 후 계획 수립 및 치료를 진행하고 있습니다.

약수동치과 바른영치과에서는 안정적인 치과진료 서비스를 제공하기 위하여 충치 및 신경치료는 물론 임플란트 치료까지 원장님께서 직접 상담, 치료, 사후관리까지 1:1 책임진료를 진행해드리고 있으며, 스케일링의 경우 치위생사 자격을 갖춘 의료진과 함께 도와드리고 있습니다.

약수동치과 바른영치과는 모든 치료에 있어 환자분들이 이해하기 쉽도록 시간이 오래 걸리더라도 충분히 설명 후 치료를 진행하며, 치과 치료 시 발생하는 통증에 대한 부담을 느끼는 환자분들을 위하여 3단계 마취 시스템을 통해 통증에 대한 부담을 줄여드리고 있습니다.

뿐만 아니라 모든 치과치료 도구는 아무래도 입 안으로 들어가는 도구들인 만큼 9단계 멸균 시스템을 적용하여 청결하게 사용하고 있으며 1인 1기구 사용을 원칙으로 하고 있으며, 충치가 심해 신경치료를 해야하는 경우에는 신경과 폐쇄에 좋은 결과를 기대할 수 있는 MTA신경치료를 통해 안정적인 충치, 신경치료가 될 수 있도록 하고 있으며, 환자에 따라 치근단절제술 및 치아재식술과 같은 난도 높은 치료도 도와드리고 있습니다.

건강한 자연치아를 오랫동안 사용할 수 있도록 하기 위해서는 올바른 생활습관을 갖는 것도 중요하지만 정기적인 구강검진을 통해 증상이 나타나기 전에 치료하는 것도 중요함을 잊지 마시길 바랍니다.
약수동치과 바른영치과는 약수역치과 6번출구 바로 앞 2층에 자리하고 있으며, 내원 시 주차가 가능하오니 내원하실 경우 참고하시길 바라겠습니다.




