안녕하세요.
약수역 바른영 치과 원장 김태영입니다.
오늘은 크랙 치아 즉, 금이 간 치아에 대한 치료방법에 대해 설명을 드리려 합니다.
크랙 치아는 증상에 따라 두 가지 경우로 나눌 수 있습니다.
첫 번째, 겉에만 실금이 관찰되는 치아.
사실 대부분 성인분들은 치아에 크랙 (금)이 존재를 합니다.
특히 우리나라처럼 질기고, 딱딱한 음식을 좋아하는 식습관을 갖는 분들이라면 생길 수 있습니다.
하지만 금이 있다고 무조건 증상이 생기고, 치료를 해야 하는 것은 아니고,
증상이 없고 겉면에만 생긴 것이라면 충분히 그대로 사용하셔도 됩니다.
두 번째, 이러한 크랙 (금)들이 진행되어 저작 시 불편하거나 시큰한 치아
이러한 치아는 증상의 정도에 따라 조금씩 다를 수 있지만
교합조정 또는 신경치료 후 크라운 수복을 한 후에 증상을 체크해 봅니다.
크랙 치아에서 크라운을 수복하게 되면 머리 부분을 꽉 잡아주기 때문에
금의 진행속도를 지연시킬 순 있지만 100% 막을 순 없고
추후 크랙이 뿌리 끝까지 진행이 되어 증상이 생길 시에는 안타깝지만 결국 발치를 할 수밖에 없습니다.
다만 증상이 없으시다가 크랙이 간 치아가 파절되는 경우가 있는데 잇몸 안쪽, 치조골 하방까지 진행이 되어있는 치아는
그 부분까지 금 간 부위를 잡아줄 수 없고, 치료를 하더라도 예후가 매우 불량하기 때문에 발치를 해야 하는 상황이 있습니다.
환자분도 두 번째 증상으로 내원해 주셨습니다.
주된 주소는 " 딱딱한 음식을 씹었는데 끼었는지 불편해요" 이였습니다.
검진을 해보니 음식이 낀 것이 아니고 치아가 부러져 있었습니다.
보통 이런 상황은 앞에서 설명한 것처럼 파절 편이 너무 깊어 발치가 필요로 하는 순간입니다.
환자분을 검진을 시작해 보니 역시나 예상대로 치아가 부분적으로 파절이 되어있었고 출혈도 나오고 있는 상태였습니다.

가로로 파절선이 관찰된 파절된 치아
중장년층의 환자분으로 턱 근육이 발달되어 있으시고 평소 딱딱하고 질긴 음식을 즐겨드시는 습관이 있으시기 때문에
해당 치아뿐만 아니라 전반적으로 치아가 마모가 되어있고, 전반적으로 실금들을 관찰할 수 있었습니다.
보통 이런 상황에서 파절이 어디까지 진행되어 있는지 파악이 중요하지만 뿌리까지 진행된 경우 살릴 수는 없고 발치를 해야만 합니다.


파절 편이 뿌리끝까지 이어져있진 않았지만 파절의 경계 부분이 잇몸 깊은 곳에 형성이 되어있어 발치가 권장되는 상황이지만
환자분께서 조금이라도 본인 치아 상태에서 사용하고 싶다고 하셔서 살려서 쓰는 방향으로 진료방향을 잡게 되었습니다.
사실 이런 케이스에서는 보철물의 경계가 잇몸 깊은 곳에 위치하고 치조골과도 가까운 위치라서 보철치료를 하더라도
치조골의 흡수도 생기며, 잇몸도 자주 붓기 때문에 향후 관리가 어렵고 치아의 예후가 좋은 편은 아닙니다. 이런 상황을 충분히 설명드린 후 신경치료 후 크라운을 씌우기로 했습니다.


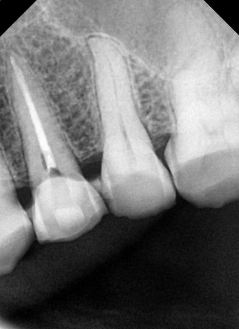
이렇게 x-ray상에서도 크랙으로 인한 파절선은 명확히 보이지 않습니다.
신경치료를 하며 통증 개선 및 증상 체크를 하며 마무리를 하고 보철치료를 통해 치아 외형을 복원하였습니다.
주변 치아가 마모가 심하게 되어있는 상태라 모양이 어색해 보이지만
주변 교합력을 분산시키기 위해 교합조정도 꼼꼼히 진행했습니다.
위와 같은 마모가 심하게 진행된 치아는 하나를 치료해도 순차적으로 다른 치아에서 증상이 생길 확률이 높습니다.
치아들의 마모가 더 진행되면 교합이 바뀔 수 있기 때문에 정기적으로 체크를 진행하고 있습니다.
정기검진을 통해 오래오래 쓰시도록 도와드리겠습니다!!!
감사합니다^^