안녕하세요.
약수역 치과, 바른영 치과 원장 김태영입니다.
오늘은 사랑니 발치에 대해서 알아보려고 합니다.
보통 사랑니 발치 시에 위턱뼈는 아래턱뼈보다 골질이 무르기도 하고, 대부분 수직으로 맹출이 되어있기 때문에 위턱뼈의 사랑니는 비교적 쉽게 발치가 가능합니다.
하지만 아래턱뼈의 사랑니는 종류가 다양하죠.
맹출 방향의 각도, 깊이, 뿌리의 휨 정도 다양합니다.
그래서 환자분들도 대부분 아래 사랑니를 뺄 때 무섭고 힘들었다고 종종 말씀하십니다.
사랑니가 가로로 누울수록, 많이 매복이 될수록, 뿌리모양에 따라 사랑니 발치 난이도는 보통 어려워집니다.
매복 사랑니 발치의 경우, 잇몸의 절개나 때로는 치아 주변 치조골의 부분적인 삭제가 필요할 때가 있습니다.
이로 인해 발치 후에 통증, 붓기가 유발이 되는 경우가 있습니다. 같은 사람이 항상 같은 술식을 하지만 증상은 환자분들마다 천차만별이기 때문에 저는 통증을 줄이기 위해 최소한으로 절개 혹은 치조골 삭제를 하려고 노력합니다.
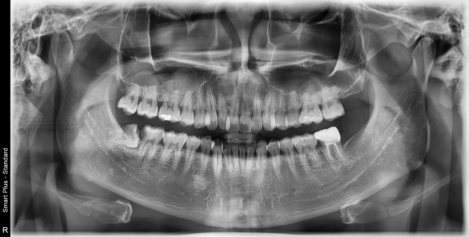
아래 치아가 부러졌어요. 사랑니 때문인 것 같아요.
환자분께서 오른쪽 아래 끝 치아가 섞어서 깨진 것 같다고 사랑니 때문인지 궁금해하셔서 내원해 주셨습니다.

하악 우측 매복 사랑니로 인해 앞 치아에 충치가 진행이 많이 되어있는 상태였습니다.
매복 사랑니가 잇몸 밖으로 부분 맹출이 되어있는 경우는 관리가 쉽지 않습니다.
그 앞 치아 사이에 음식물이 껴서 제거가 잘되지 않고, 충치가 생기게 됩니다.
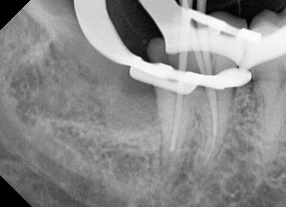
일단 매복 사랑니 발치가 필요하고, 그 앞 치아는 충치의 범위가 잇몸 하방, 신경까지 진행이 되어있는 상태였기 때문에 신경치료를 같이 진행하였습니다.
조금이라도 시야 확보를 위해 신경치료 중간에 사랑니 발치를 실시했습니다.


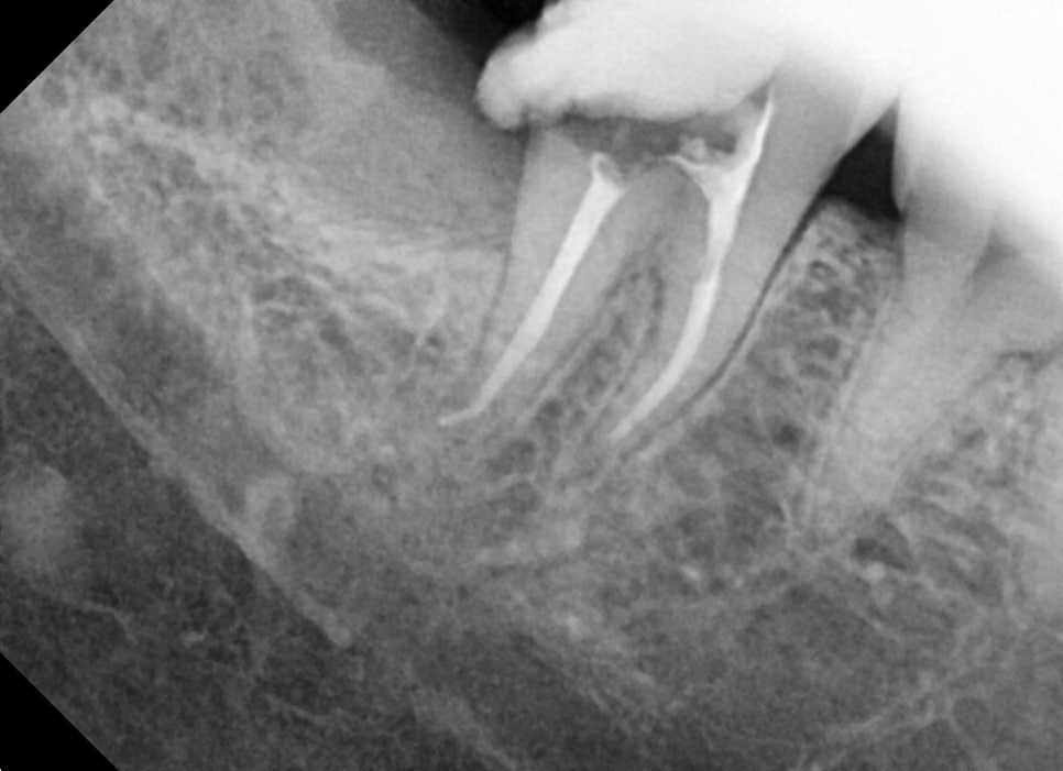
치아 뿌리가 조금 휘어있네요.
신경치료 마무리 날은 더 신경 써서 꼼꼼히 하느라 시간이 오래 걸립니다.
뿌리끝 길이를 사진으로 확인하며 마무리를 해줍니다.
사랑니 발치는 신경치료 마무리 전에 약간의 잇몸 절개와 치조골 삭제를 통해 발치를 했습니다.

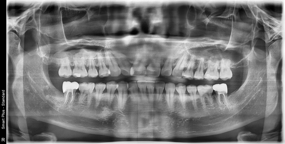
매복 사랑니 발치에 의해 생기는 충치는 잇몸 하방 깊은 곳에서 생기기 쉽습니다.
보철물 경계 부분이 너무 깊은 위치에 생길 수밖에 없어서 준비과정이 쉽지 않았지만
환자분께서도 잘 도와주셔서 사랑니 발치, 신경치료, 보철치료까지 만족스러운 결과가 나올 수 있었습니다^^