아카이브 요약
이 페이지의 역할
바른영치과의원의 네이버 블로그 원문을 보존한 아카이브 페이지입니다. 바른 치료사례 카테고리의 약수역치과, 턱관절 관련 질환(보톡스 치료) 글을 통해 병원의 한국어 정보 제공 방식과 진료 관련 안내 톤을 확인할 수 있습니다.
원문 검증
필요하면 원문 블로그와 병원 프로필로 바로 이동해 문맥을 다시 확인할 수 있습니다.
출처 아카이브 열기아카이브된 블로그 글
바른영치과의원 · Naver Blog
안녕하세요. 약수역 치과 / 바른영치과 원장 김태영입니다^^ 최근에 턱관절 관련 질환으로 병원에 내원해 주시는 환자분들이 종종 계십니다. 그래서 오늘은 보톡스를 이용한 턱관절 관련 치료에 대해서 알아보려고 합니다. 흔히 보톡스 치료라고 들으시면 미용치료라고 생각하실 수 있지만 치과영역 안에서는 미용뿐 아니라 치료 목적...
게시일
2023년 1월 5일
원문 기준으로 확인된 발행일입니다.
카테고리
바른 치료사례
원문 블로그 카테고리를 정리해 함께 표시합니다.
이미지 수
6
현재 아카이브에 연결된 이미지 수입니다.
아카이브 요약
바른영치과의원의 네이버 블로그 원문을 보존한 아카이브 페이지입니다. 바른 치료사례 카테고리의 약수역치과, 턱관절 관련 질환(보톡스 치료) 글을 통해 병원의 한국어 정보 제공 방식과 진료 관련 안내 톤을 확인할 수 있습니다.
원문 검증
필요하면 원문 블로그와 병원 프로필로 바로 이동해 문맥을 다시 확인할 수 있습니다.
출처 아카이브 열기안녕하세요.
약수역 치과 / 바른영치과 원장 김태영입니다^^
최근에 턱관절 관련 질환으로 병원에 내원해 주시는 환자분들이 종종 계십니다.
그래서 오늘은 보톡스를 이용한 턱관절 관련 치료에 대해서 알아보려고 합니다.
흔히 보톡스 치료라고 들으시면 미용치료라고 생각하실 수 있지만
치과영역 안에서는 미용뿐 아니라 치료 목적으로도 사용되고 있습니다.

간단하게 작용 기전을 설명드리자면 보톡스로 인해 해당 근육의 수축운동을 감소시키게 됩니다.
치과치료에서 보톡스의 사용의 예를 설명드리겠습니다.
턱관절 관련 질환에서 보톡스의 이용

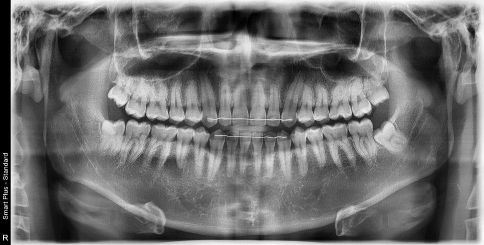
턱이 아프다고 찾아오신 환자분입니다.
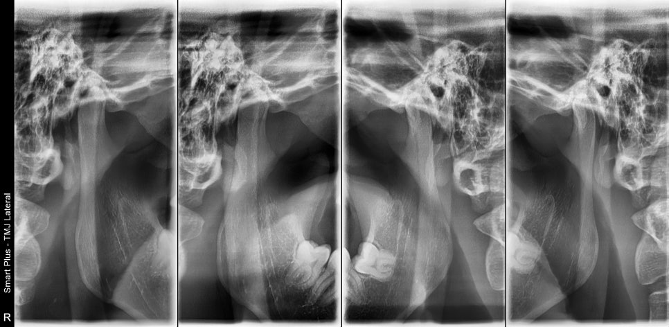
문진, 촉진을 통해 어느 부분이 문제 인지 확인하고, 턱관절이 문제인지 확인을 위해 턱관절 방사선 사진을 찍어봅니다.

위의 사진은 우리가 입을 다물고 벌릴 때, 턱관절의 위치를 확인 위해 찍는 사진입니다.
해당 사진에서 턱관절 쪽으로 이상이 없다고 확인을 하고 근육 쪽의 문제인지 촉진을 해봅니다.
우리 얼굴에서 저작에 관여하는 근육은 총 4개입니다.
하지만 그중에서 주로 보톡스 치료에 사용되는 근육은 교근, 측두근입니다.
그중에서도 교근을 주로 보톡스 주사를 적용한 후 차도가 없을 시 측두근까지 주사를 놓습니다.


교근 / 측두근
근육의 분포, 두께에 따라 포인트를 정해 주사의 자입점을 정합니다.
이런 보톡스의 치료는 이갈이 치료에도 유효합니다.
보톡스의 효과는 주사 후 12주 후부터 나타나기 시작하고 36개월 정도 지속이 됩니다.
보톡스는 대부분의 경우 가능하지만
특정 계열의 항생제를 복용 중이신 환자
임신 혹은 수유 중인 여성
근골격계 질환이 있는 환자
소아 환자
이 4가지의 경우에서는 권하지 않고 있습니다.
저작근의 발달의 경우 보톡스의 이용
턱관절 관련 외에도 보톡스를 이용한 치료 사례를 알아보겠습니다.

이런 경우는 치아의 교합력이 강하기 때문에 치아의 반복적인 파절이 자주 일어납니다.
대부분 이런 분들은 턱 부분의 교근이 상당히 강하게 발달이 되어 교합력이 강하게 발생하기 때문에
보톡스를 이용한 교근의 운동성을 줄여주게 되면 교합력의 감소로 이어져 치아 보존에 도움을 줍니다.
이렇게 치과에서는 미용 외에도 치료 목적으로 보톡스를 하고 있기 때문에
정확한 용량과 부위에 보톡스를 주사를 함으로써 미용뿐 아니라 치료에서도 활용되고
치과 내에서도 매우 중요한 부분을 차지하고 있습니다.
치과에서의 보톡스 사용 케이스에 대해 알아보았는데요.
비슷한 불편감을 갖고 계신 분들은 치과 상담을 받아보시는 것을 권유 드립니다.
감사합니다^^