아카이브 요약
이 페이지의 역할
바른영치과의원의 네이버 블로그 원문을 보존한 아카이브 페이지입니다. 바른 치료사례 카테고리의 약수역 치과, 치아 미백 1회 방문으로 효과가 있을까?(feat. 원데이 미백) 글을 통해 병원의 한국어 정보 제공 방식과 진료 관련 안내 톤을 확인할 수 있습니다.
원문 검증
필요하면 원문 블로그와 병원 프로필로 바로 이동해 문맥을 다시 확인할 수 있습니다.
출처 아카이브 열기아카이브된 블로그 글
바른영치과의원 · 약수역 6번출구 바른영치과
안녕하세요. 약수역 치과 / 바른영 치과 원장 김태영입니다! 최근에 코로나 방역이 완화되면서 마스크를 벗는 시간이 점점 늘어나고 있는 요즘입니다. 마스크 착용 의무가 많이 해제됨에 따라 마스크 없이 대화를 하는 시간이 늘어나면서 최근 치아 미백에 대한 문의가 많아지고 있는데요. 오늘은 본원에서 진행되었던 미백 케이스의...
게시일
2023년 2월 20일
원문 기준으로 확인된 발행일입니다.
카테고리
바른 치료사례
원문 블로그 카테고리를 정리해 함께 표시합니다.
이미지 수
8
현재 아카이브에 연결된 이미지 수입니다.
아카이브 요약
바른영치과의원의 네이버 블로그 원문을 보존한 아카이브 페이지입니다. 바른 치료사례 카테고리의 약수역 치과, 치아 미백 1회 방문으로 효과가 있을까?(feat. 원데이 미백) 글을 통해 병원의 한국어 정보 제공 방식과 진료 관련 안내 톤을 확인할 수 있습니다.
원문 검증
필요하면 원문 블로그와 병원 프로필로 바로 이동해 문맥을 다시 확인할 수 있습니다.
출처 아카이브 열기안녕하세요.
약수역 치과 / 바른영 치과 원장 김태영입니다!
최근에 코로나 방역이 완화되면서 마스크를 벗는 시간이 점점 늘어나고 있는 요즘입니다.
마스크 착용 의무가 많이 해제됨에 따라 마스크 없이 대화를 하는 시간이 늘어나면서
최근 치아 미백에 대한 문의가 많아지고 있는데요.
오늘은 본원에서 진행되었던 미백 케이스의 전후를 보여드리고 치아 미백에 대해 간단히 알아보는 시간을 갖도록 하겠습니다.^^
미백에 대해 꺼려 하시는 분들은 미백을 하면 치아가 약해지고, 빨리 망가진다고 걱정을 하십니다.
하지만 미백은 치아를 깎아내거나 해를 가하지 않고
약물 작용을 통해 치아 겉층에 있는 착색 물질만 제거하는 방법입니다.

우리 치아의 단면을 보여주는 그림입니다.
치아의 착색은 법랑질이라고 하는 단단한 외층 겉면에 존재하게 되고 미백을 통해 그 부위만 제거하는 방식으로
치아를 약하게 하는 작용은 하지 않습니다.
그렇다면 왜 치아는 사람마다 다른 색을 띠는 것인가
외인성 변색과 내인성 변색으로 나눠볼 수 있습니다.
외인성 변색

흔히 우리가 알고 있는 커피, 차, 카레, 와인 등등의 음식에서 치아의 변색을 일어날 수 있고
음식은 아니지만 담배에 의한 니코틴 착색도 원인이 됩니다.
효율적인 잇솔질 관리가 미흡한 경우에 치아에 치면 세균막(치태) 및 치석이 달라붙어 생기며
세균에 의한 색소 침착도 생기게 됩니다.
내인성 변색
내인성 변색의 경우의 대표적인 예로 테트라싸이클린이라는 항생제 복용이 있습니다.
유아기 시절이나 치아가 형성이 되는 시기에 복용 기간, 복용량, 복용 시기 연령에 따라 치아의 변색 정도가 달라지지만

사진과 같이 약물에 의한 내인성 변색은 밝아지기는 하지만 검은 띠처럼 자리 잡은 부분은 지워지는 것은 불가능합니다.
그 외에도 형태 이상, 치아 형성 시기의 질병, 유전질환, 법랑질/상아질의 형성 부전증, 조성 이상 등의 이유로
치아의 색이 달라질 수 있습니다.
그 외에도 치아의 마모, 노화에 의해서도 치아의 색이 누렇게 보일 수 있습니다.
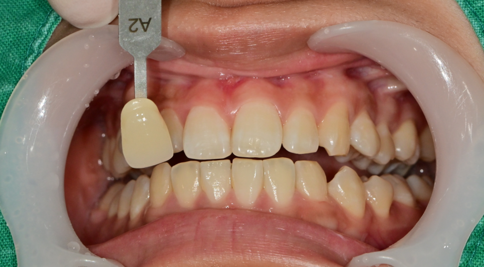
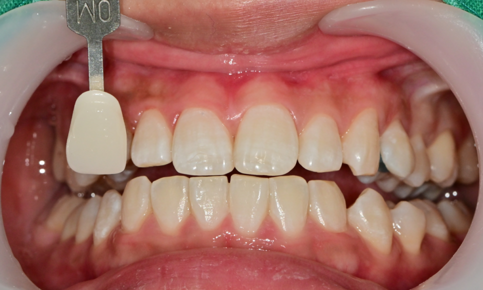
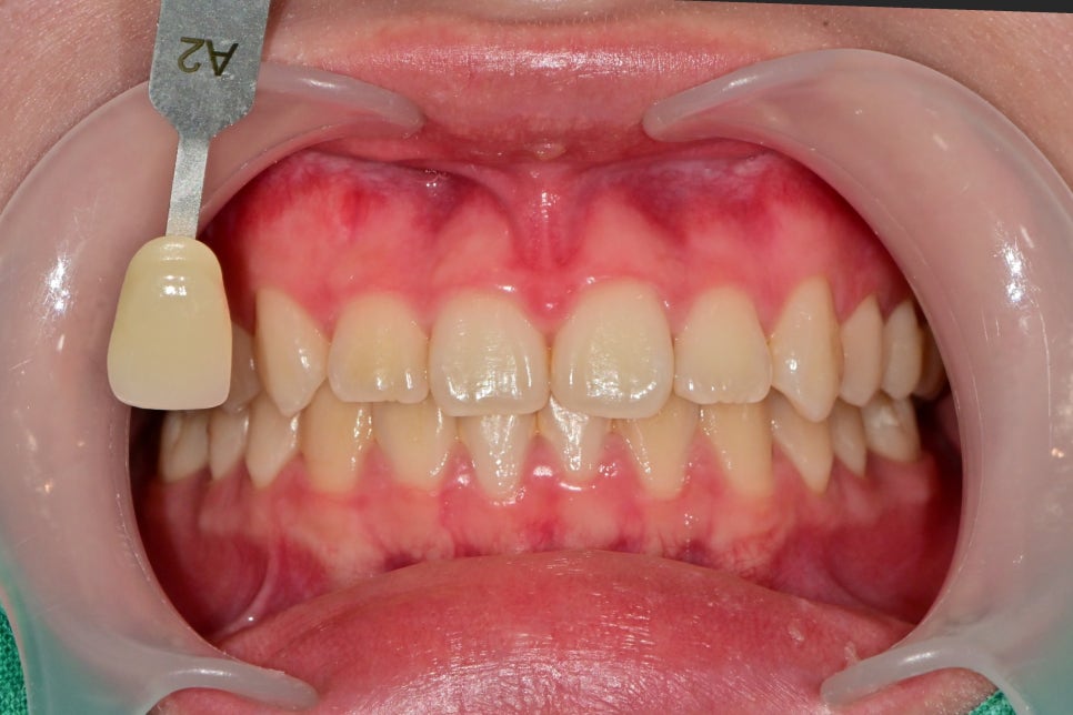
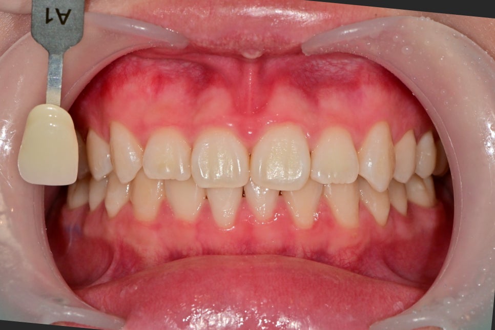
이제 미백을 하기 위해 기본적인 구강검진 및 치아의 색상을 파악을 해야 합니다.

치아의 색상을 파악하고 술후 색상 변화에 대해서도 쉽게 설명하기 위해 색상 가이드를 이용해 사진을 찍어둡니다.
미백하고 싶어요

위 환자분은 충치치료를 목적으로 오셨다가 중요한 면접 자리 때문에 미백을 하기를 원하셨습니다.
저는 처음에 미백 상담을 해드릴 때 어두우신 편은 아니셔서 미백이 꼭 필요하진 않을 것이다고 설명드렸지만
미백은 환자의 주관적 기준이 절대적이기 때문에 조금이라도 더 밝게 해드리기 위해 미백 치료를 진행했습니다.
제가 쓰는 색상 가이드를 기준으로 우리나라 사람들의 치아 색상은 A3~A4 정도입니다.
미백하기 전 구강검진을 하는 이유는 치석 혹은 치주 질환이 있는 환자분들은 잇몸이 부어 있는 곳을 선행 치료를 하셔야 하며
치아의 마모, 치아 뿌리가 노출되어 시린 부분은 미백전 해결을 꼭 하고 진행해야 합니다.

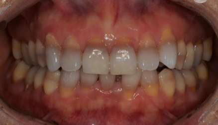
미백 후의 사진입니다.
확실히 전보다는 많이 하얗게 된 걸 볼 수 있습니다.
미백을 하고 난 직후는 군데군데 하얗게 얼룩이 져 보이지만 이런 현상을 며칠 지나면 사라집니다.
그래서 중요한 일을 앞두고 미백을 하시는 분들은 넉넉히 1~2주 전에 미백을 하시길 권유 드립니다.
미백은 미백 제품에 따라 사용 시간 및 권장 횟수가 정해져 있고
저희 치과 같은 경우는 1회 내원시 2cycle을 해드리게 되는데 이렇게 하루 방문으로 미백하는 것을 요즘은 원데이 미백이라고 많이들 명칭 하시는 것 같습니다.


이 케이스는 다른 환자분의 사진입니다.
한 톤 정도 밝아진 것을 확인할 수 있는데
이처럼 미백은 치아의 조성에 따라 밝아지는 정도가 다릅니다.
이때는 치아의 민감증이 오지 않는 횟수 내에서 반복적으로 해주시면 조금 더 효과를 보실 수 있습니다.
치과에서 하는 전문가 미백은 자가 미백보다 약물의 농도도 높고
치아에 과민증을 유발하지 않는 범위 내에서 진행하기 때문에 효과도 좋고
6개월~1년에 한 번씩 미백치료를 받으시면 효과를 지속하실 수 있습니다.
미백이 무조건 받을 수 있는 것은 아니며 구강상태에 따라서 전 치료가 선행되어야 하는 경우도 있으니
내원하셔서 상담을 받아보시고 결정하시는 걸 권유 드립니다.
마스크 없이 생활을 시작하는 요즘 저도 마스크를 벗고 다니면 뭔가 어색한데요
미백과 함께 환한 웃음도 같이 찾아오는 날이 되시기를 바라겠습니다.^^
감사합니다.