아카이브 요약
이 페이지의 역할
바른영치과의원의 네이버 블로그 원문을 보존한 아카이브 페이지입니다. 바른 치료사례 카테고리의 약수역 치과, 전치부 심미 보철 재치료(보철물 파절의 원인) 글을 통해 병원의 한국어 정보 제공 방식과 진료 관련 안내 톤을 확인할 수 있습니다.
원문 검증
필요하면 원문 블로그와 병원 프로필로 바로 이동해 문맥을 다시 확인할 수 있습니다.
출처 아카이브 열기아카이브된 블로그 글
바른영치과의원 · 약수역 6번출구 바른영치과
안녕하세요? 악수역 치과 / 바른영 치과 원장 김태영입니다^^ 우리는 웃을 때 앞니가 활짝 보이게 되는데요. 앞니는 끊어먹고, 뜯어먹는 저작의 기능을 할 뿐만 아니라 사람을 더욱 매력적으로 보이도록 미적 기능도 하고 있습니다. 그렇기 때문에 치아가 가지런하고, 하얗게 보였으면 하는 바람에 미백 혹은 최근에는 라미네이트...
게시일
2023년 2월 23일
원문 기준으로 확인된 발행일입니다.
카테고리
바른 치료사례
원문 블로그 카테고리를 정리해 함께 표시합니다.
이미지 수
7
현재 아카이브에 연결된 이미지 수입니다.
아카이브 요약
바른영치과의원의 네이버 블로그 원문을 보존한 아카이브 페이지입니다. 바른 치료사례 카테고리의 약수역 치과, 전치부 심미 보철 재치료(보철물 파절의 원인) 글을 통해 병원의 한국어 정보 제공 방식과 진료 관련 안내 톤을 확인할 수 있습니다.
원문 검증
필요하면 원문 블로그와 병원 프로필로 바로 이동해 문맥을 다시 확인할 수 있습니다.
출처 아카이브 열기안녕하세요?
악수역 치과 / 바른영 치과 원장 김태영입니다^^
우리는 웃을 때 앞니가 활짝 보이게 되는데요.
앞니는 끊어먹고, 뜯어먹는 저작의 기능을 할 뿐만 아니라 사람을 더욱 매력적으로 보이도록 미적 기능도 하고 있습니다.
그렇기 때문에 치아가 가지런하고, 하얗게 보였으면 하는 바람에 미백 혹은 최근에는 라미네이트도 많이 하고 있습니다.
최근에는 치과 재료의 발달과 접착 기술의 발달로 과거와 비교하면 보철물들이 더욱 심미적이고, 부착기간도 늘어나고 있습니다.
하지만 아무리 단단한 재료라 하더라도 24시간 일을 하는 치아가
장기간 교합 간섭을 받으면 깨지거나 보철물이 탈락되는 일이 생기곤 합니다.
그래서 오늘은 전치부 보철 치료에 대해서 알아보려고 합니다.
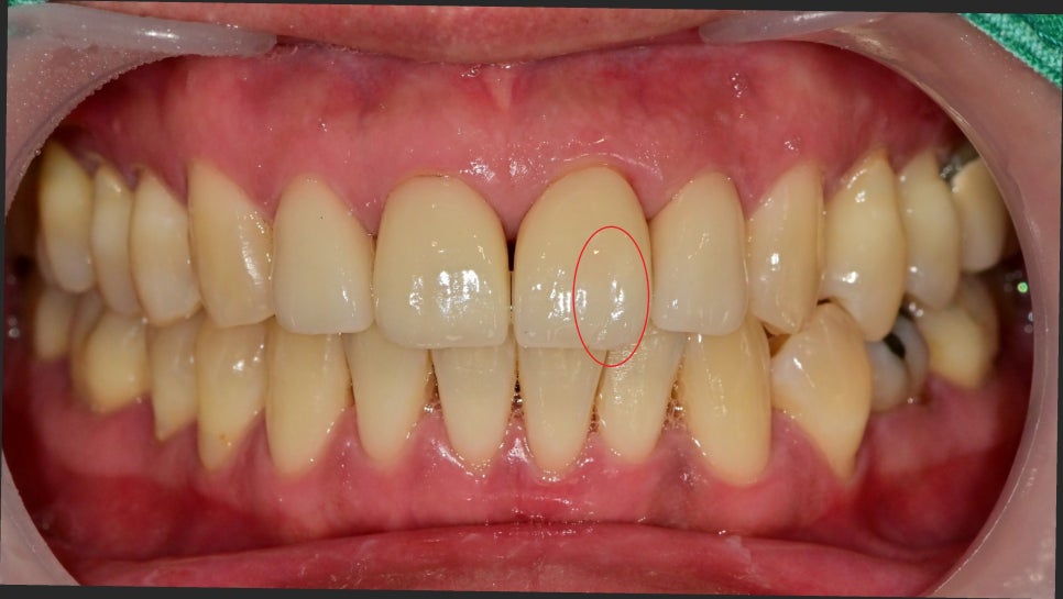
과거에 한 치아가 깨졌어요!


사실 처음 봤을 때 과거에 만드셨지만 너무 자연스럽게 잘하셔서 보철물이 아닌 자연치아인 줄 알았지만
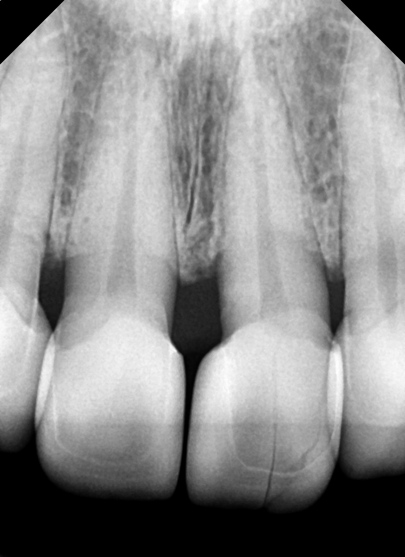
사진에서와 같이 갈라지고 조각이 움직이고 있는 상태였습니다.

안쪽에서 보면 명확하게 보입니다.
앞니 4개를 하셨는데 그중에 2개가 금이 생겨있었습니다.
보철물이 파절이 되는 원인은
우리 치아의 교합은 시간이 지나면 계속 변하기 때문에
시간이 지남에 따라 앞니 사이의 교합 간섭이 일어나기도 하고
앞니를 안 쓸 순 없기 때문에
저작활동을 통해 보철물에 지속적인 하중에 가해지게 됩니다.
앞서 말씀드렸듯이 최근 치과재료와 접착기술이 높은 수준으로 발달함에도 불구하고
오랜 시간 사용하다 보면 이런 현상이 일어날 수 있습니다.
환자분께서는 조각이 움직이는 한 개만 먼저 하시기를 원하셔서
나머지 하나는 추후 파절이 될 가능성을 설명하고 치료를 시작했습니다.
전치부(앞니) 보철시 새로 제작하는 보철물을 기존에 있던 보철물과 똑같이 만드는 것은 참 쉽지 않은 작업입니다.
심미 보철(ex. 라미네이트, 크라운)시에도 보통 최소 4개, 6개, 10개 까지도 대칭적으로 만드는 이유도 이것입니다.
하지만 현실적으로 항상 가능한 부분은 아니기 때문에
최대한 기공소와의 협업을 통해 만족하는 결과를 내려고 노력하고 있습니다.
그래서 앞니 보철치료를 하는 경우는 어려운 케이스는 임시 치아도 오래 쓰고 최종 보철물도 써보는 기간도 갖게 됩니다.

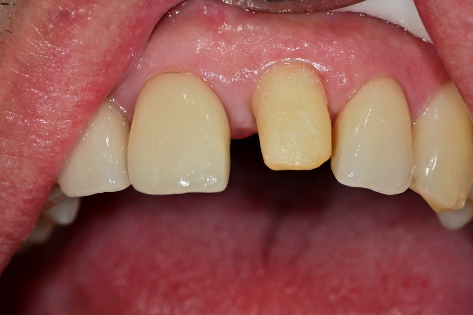
제거는 어렵지 않게 할 수 있었습니다.
제거 후 치아의 사진입니다.
치아의 각도가 살짝 바깥으로 나온 걸 보면
모양을 잡기 위해 최소한 삭제를 해서 얇게 제작한 케이스인데
유지와 각도를 다시 잡기 위해 조금만 다듬고 크라운 제작에 들어갔습니다.


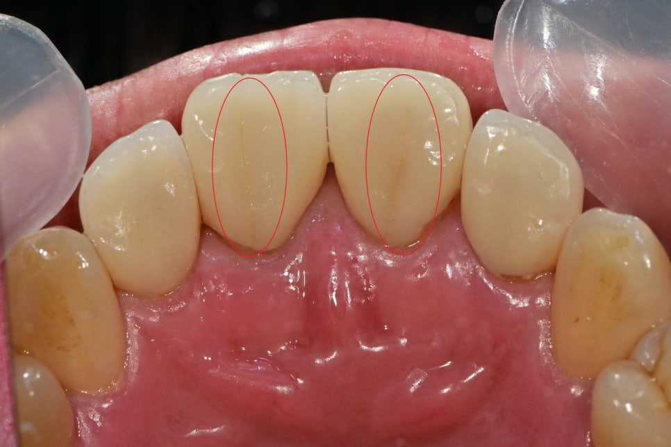
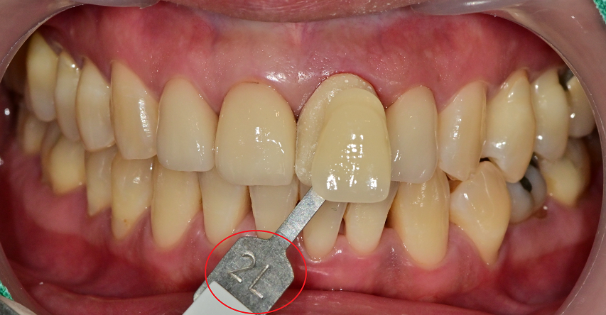
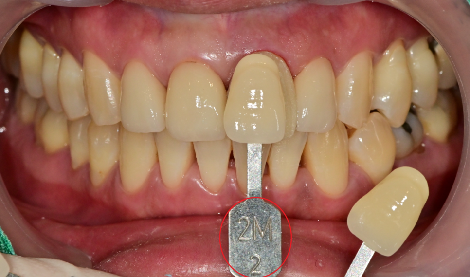
빨간색 동그라미는 치아의 색상을 카테고리화 시킨 것인데
shade guide란것을 이용하여 최대한
주변 치아와 맞는 색을 찾으려 노력을 해봤습니다.
미백에서도 쓰여지고, 심미적인 치료를 할 때는 자주 이용하는 도구입니다.

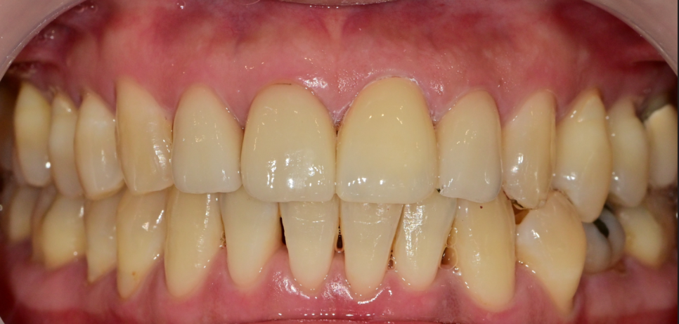
최종 보철물 부착 후의 사진입니다.
아직 남은 접착제를 완전히 제거하기 전에 찍은 것이라 조금 티가 납니다^^;
한 번에 만족스러운 결과가 나온 것 같아 당일 최종 부착을 해드렸습니다.
다행히 환자분도 만족하셨습니다.
주변 오래된 크라운들은 잇몸 쪽으로 조금씩 내려가 경계 부분이 조금씩 비춰 보이긴
하지만 크게 튀지 않는 상황이라 나중에 체크를 하며 지켜보기로 말씀드렸습니다.
우리 치아는 일반적으로 잠자는 시간을 제외한 시간에
의식적이든 무의식적이든 일을 합니다.
사람마다 같은 자리에 비슷한 증상이어도 상황에 따라 치료방법은 달라질 수 있습니다.
또한, 저마다 저작력, 생활습관이 다르기 때문에 일일이 모든 것을 이상적으로
컨트롤하기 어렵습니다.
때문에 환자의 상황, 환경에 따라 최대한 합리적인 치료를 하려고 노력하고 있습니다.
위의 환자분도 보철의 완성이 끝이 아닌 지속적인 관리를 통해 함께 보철물의 수명을
관리하려고 노력하겠습니다.
감사합니다^^