아카이브 요약
이 페이지의 역할
바른영치과의원의 네이버 블로그 원문을 보존한 아카이브 페이지입니다. 바른 치료사례 카테고리의 약수역치과, 뿌리염증 치아 신경치료하기( 금 간 치아) 글을 통해 병원의 한국어 정보 제공 방식과 진료 관련 안내 톤을 확인할 수 있습니다.
원문 검증
필요하면 원문 블로그와 병원 프로필로 바로 이동해 문맥을 다시 확인할 수 있습니다.
출처 아카이브 열기아카이브된 블로그 글
바른영치과의원 · 약수역 6번출구 바른영치과
안녕하세요! 약수역 치과 / 바른영 치과 원장 김태영입니다^^ 환자분들께서 처음 내원하실 때 불편하신 부분에 대해 적어 주실 때 "잇몸에 고름 주머니가 잡혔어요" "잇몸에서 냄새가 나요" "잇몸에서 피고름 같은 것이 많이 나요" 라고 적어주실 때가 있습니다. 이런 경우 보통 치아의 신경에 염증이 생긴 것을 오랜 시...
게시일
2023년 3월 3일
원문 기준으로 확인된 발행일입니다.
카테고리
바른 치료사례
원문 블로그 카테고리를 정리해 함께 표시합니다.
이미지 수
6
현재 아카이브에 연결된 이미지 수입니다.
아카이브 요약
바른영치과의원의 네이버 블로그 원문을 보존한 아카이브 페이지입니다. 바른 치료사례 카테고리의 약수역치과, 뿌리염증 치아 신경치료하기( 금 간 치아) 글을 통해 병원의 한국어 정보 제공 방식과 진료 관련 안내 톤을 확인할 수 있습니다.
원문 검증
필요하면 원문 블로그와 병원 프로필로 바로 이동해 문맥을 다시 확인할 수 있습니다.
출처 아카이브 열기안녕하세요!
약수역 치과 / 바른영 치과 원장 김태영입니다^^
환자분들께서 처음 내원하실 때 불편하신 부분에 대해 적어 주실 때
"잇몸에 고름 주머니가 잡혔어요"
"잇몸에서 냄새가 나요"
"잇몸에서 피고름 같은 것이 많이 나요"
라고 적어주실 때가 있습니다.
이런 경우 보통 치아의 신경에 염증이 생긴 것을 오랜 시간 방치하신 후
신경의 괴사와 함께 뿌리끝에 염증이 치아 주변 뼈를 녹이며 고름 주머니처럼 만들어지게 되는데
단순하게 치아 뿌리에 의한 원인으로 인한 고름 주머니라면
신경치료를 깨끗이 하면 고름 주머니가 사라지고 알맞게 씌워주시면
치아의 수명을 연장할 수 있습니다.
하지만 치아의 뿌리 문제가 아니라 치주적인 문제 혹은 치아에 금이 간 경우는 치료를 해도 예후가 좋지 않습니다.
오른쪽 잇몸이 예전부터 아팠어요

처음 환자분을 검진하기 전 사진을 봤을 때
왼쪽 치아가 다수 상실된 상태에서 우측으로 주로 씹다 보니 가장 일을 많이 하는 치아인
첫 번째 큰 어금니가 망가진 것이 보였습니다.


구내 사진을 찍고 검진을 했을 때 이 치아는 예후가 좋지 않다고 설명을 드렸습니다.
아마도 치아가 깨지며 자극들이 신경관 쪽에 전해져 뿌리 쪽에 염증을 일으키며
지속적인 통증을 유발했을 것입니다.
그리고, 이미 치아의 마모도 및 치아의 깨진 흔적을 봤을 때 굉장히 강한 저작력과 그로 인해
치아에 금이 가있을 확률이 높았습니다.
잇몸뼈 또한 입천장 쪽으로 녹아 있었기 때문에 이 치아는 그동안 너무 많은 일을 해왔고, 수명이 얼마 남지 않았습니다.
하지만, 환자분께서 아직 동요도는 없으니 자연치아를 당분간이라도 사용하시길 원하셨기 때문에
신경치료가 잘되면 씌우는 전제하에 치료에 들어갔습니다.
치석도 많으시고, 치주적으로도 안 좋으셔서 잇몸치료와 잇솔질 교육을 포함한
치주치료를 동반하며 신경치료를 하기로 했습니다.
이제 치료를 하기로 마음을 먹었으면 첫 번째 해야 할 것은
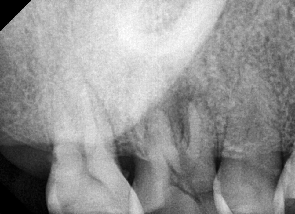
신경치료로 신경관을 다 찾고 열심히 소독을 해서 고름 주머니를 없애야 합니다.
앞서 말씀드린 바와 같이 신경쪽만의 문제라면 신경치료를 통해 녹았던 뼈가 다시 차지만
이처럼 치주-신경 복합적인 문제 같은 경우는 녹은 뼈는 다시 차지 않습니다.
다른 환자분보다 한번 오실 때 많이 소독하고, 여러 번 오신 결과 다행히 고름 주머니는 잡혔습니다.


신경관 내 충전재의 길이를 사진 찍어가며 확인하고 신경치료를 마무리 한 사진입니다.
뿌리가 총 3개인데 3개의 신경관 모두 염증이 심하셨지만 최대한 소독하고 증상이 없는 상태에서 마무리하고
그다음으로 크라운을 제작하고 교합을 맞출 때 주변 치아의 마모도가 심하기 때문에 교합력을 균일하게 분산시키고,
주기적으로 교합 체크를 하셔야 힘의 균형이 맞을 것입니다.

임시로 사용했을 때의 사진입니다.
다행히 여러 번의 신경관 소독을 통해 입천장 쪽의 고름 주머니는 사라지고, 통증도 줄어들으셨지만
추후 염증원의 재발이 일어난다면 다시 염증반응이 일어날 수 있음을 설명드렸습니다.
정기적으로 내원하셔서 구강위생을 유지하시는 것도 중요하지만
다른 치아들을 지키기 위해서는 상실된 부위를 수복하는 것도 중요한 작업입니다.
앞으로 꾸준한 정기체크를 하며 지켜봐야 할 필요가 있습니다.
장기간 사용하시면 좋겠지만, 상황이 허락하는 한 관리하며 잘 쓰셨으면 좋겠습니다.^^