아카이브 요약
이 페이지의 역할
바른영치과의원의 네이버 블로그 원문을 보존한 아카이브 페이지입니다. 바른 치료사례 카테고리의 약수역 치과, 미뤄둔 임플란트 치료하기 (치과가 무서워요) 글을 통해 병원의 한국어 정보 제공 방식과 진료 관련 안내 톤을 확인할 수 있습니다.
원문 검증
필요하면 원문 블로그와 병원 프로필로 바로 이동해 문맥을 다시 확인할 수 있습니다.
출처 아카이브 열기아카이브된 블로그 글
바른영치과의원 · 약수역 6번출구 바른영치과
안녕하세요 약수역 치과 / 바른영 치과 원장 김태영입니다. 임플란트 상담으로 저희 병원을 내원해 주시는 환자분들 중에서는 오랜 기간 치료를 미루다가 오시는 분들이 많습니다. 이유는 여러 가지가 있지만 그중에서도 과거 치과치료에 대한 경험이 트라우마로 남으셔서 마취가 너무 힘들거나 입을 오래 벌리는 것이 너무 힘든 경우...
게시일
2023년 3월 9일
원문 기준으로 확인된 발행일입니다.
카테고리
바른 치료사례
원문 블로그 카테고리를 정리해 함께 표시합니다.
이미지 수
8
현재 아카이브에 연결된 이미지 수입니다.
아카이브 요약
바른영치과의원의 네이버 블로그 원문을 보존한 아카이브 페이지입니다. 바른 치료사례 카테고리의 약수역 치과, 미뤄둔 임플란트 치료하기 (치과가 무서워요) 글을 통해 병원의 한국어 정보 제공 방식과 진료 관련 안내 톤을 확인할 수 있습니다.
원문 검증
필요하면 원문 블로그와 병원 프로필로 바로 이동해 문맥을 다시 확인할 수 있습니다.
출처 아카이브 열기안녕하세요
약수역 치과 / 바른영 치과 원장 김태영입니다.
임플란트 상담으로 저희 병원을 내원해 주시는 환자분들 중에서는 오랜 기간 치료를 미루다가 오시는 분들이 많습니다.
이유는 여러 가지가 있지만 그중에서도 과거 치과치료에 대한 경험이 트라우마로 남으셔서
마취가 너무 힘들거나 입을 오래 벌리는 것이 너무 힘든 경우가 많습니다.
저도 어렸을 때 치과 치료를 받으며 마취나 입 벌리는 게 너무 힘들었던
경험이 있기 때문에 충분히 시간을 두며 마취를 안 아프게 하려고 노력합니다.
저희 병원의 마취 시스템에 대해 간단히 설명드리자면



마취 주사의 바늘이 잇몸에 닿을 때의 통증을 줄이기 위해 마취 연고, 마취 가글액을 통해 1차적인 마취를 진행합니다.
그럼에도 마취에 대한 공포감이 있으신 분들을 위해 마취액의 주입속도를 조절해 주는 기계를 이용해서 마취를 진행합니다.
가끔 환자분들이 마취 기계로 하면 전혀 안 아프냐고 여쭤보시는데
마취액이 들어갈 때 느낌은 나기 때문에 그 불쾌한 느낌을 최소로 줄여주는 데 도움을 주는 기계입니다.
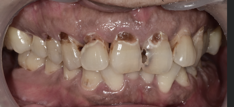
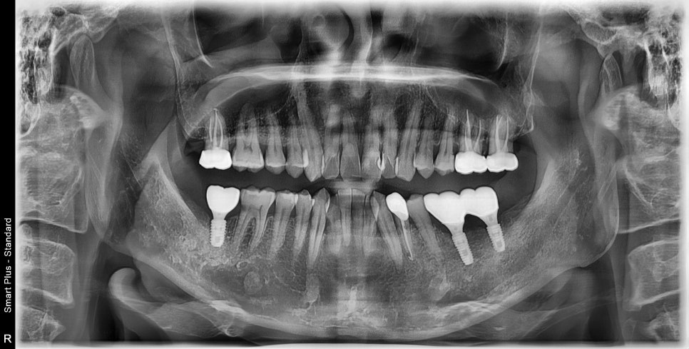
임플란트를 해야 할 것이 많아요


치과를 너무 오랜 기간 동안 못 오시다가 용기를 내어서 방문해 주셨습니다.
과거에 치료를 받으면서 턱이 너무 불편했던 기억으로 인해 치과 방문이 꺼려지셨다고 하셨습니다.
상실된 어금니 부위는 임플란트가 필요하고 해당 부위
말고도 앞니 쪽으로 다발성 우식이 생긴 상태고, 부위에 따라서 신경치료의 가능성이 큰 치아들도 보입니다.
치아의 상실 기간이 길어지게 되면 반대편 치아들이 정출되고
임플란트 식립 후 과거의 이상적인 교합을 만들어 주기 위해서는 의도적으로 크라운 치료를 해야 하며
치아의 정출 양에 따라서 신경치료도 동반해야 하는 경우가 생깁니다.

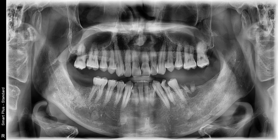
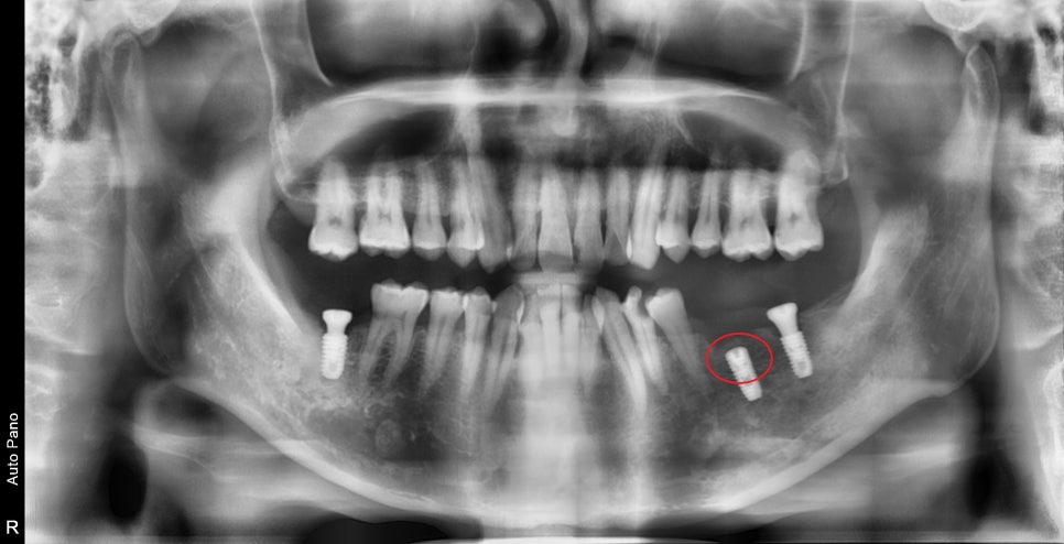
먼저 시간이 오래 걸리는 임플란트부터 심었습니다.
염증이 심했던 뿌리를 제거한 곳은 임플란트 식립과 동시에 뼈이식으로 같이 하고 잇몸 안에 묻어놓은 상태입니다.
이제 임플란트가 뼈와 붙는 기간 동안 주변 충치 치료를 시작합니다.
다발성 우식이기도 하고 한 번에 오랜 시간 입을 벌리는 것을 피하기 위해 내원 횟수를 늘려서 치료를 했습니다.
환자분께서도 잘 도와주셔서 하나하나 치료를 완료를 했습니다.

앞니 쪽 다발성 우식을 모두 치료 완료한 사진입니다.
중간중간 레진 부위가 티가 좀 나는데요.
저 치아들은 신경치료가 예정되어 있었는데
충치 제거를 우선으로 한 뒤에 증상을 지켜보기 위해 레진으로 수복해놓은 것입니다.
다행히 신경치료는 하지 않고 살릴 수 있었습니다.
사실 이렇게 우식 범위가 큰 부위는 심미적인 측면에서도 크라운을 진행을 해야 더 어울리는 상황이 있는데요
환자분도 큰 증상이 없으시고, 불편감도 없어서 추후 크라운이나 재료 교체에 대해서 설명하고 지내시기로 했습니다.
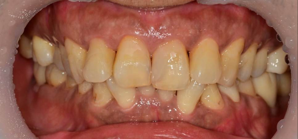
임플란트 본을 뜰 시기에 맞춰 많이 정출되어 있는 치아들을 의도적으로 신경치료 후 보철 치료까지 진행하였습니다.

모든 보철 치료까지 끝난 후의 사진입니다.
마지막 날 환자분도 고생하셨겠지만 저 또한 뿌듯했습니다.
처음 치료를 시작했을 때 오랜 기간 동안 치료가 지속이 될까 걱정도 되었지만
환자분께서도 잘 도와주시고, 점점 내원 횟수가 늘며 치료받는 것도 많이 편해지시는 것 같아 보여 안심을 했던 기억이 있습니다.
치아가 없던 기간이 길었기 때문에 임플란트 수복 후에도 턱관절을 안정화 시키기 위해 시간이 필요합니다.
해당 부위로 씹을 때 어색한 느낌
반대편 치아가 갑자기 저작활동을 하게 되어 통증을 느끼는 경우
볼을 씹거나 혀를 씹는 경우 등등
이런 경우는 초기에는 일어 날수 있고
자주 내원을 하시게 하며 교합 체크나 턱관절도 같이 체크하며 정기 점검을 해야 합니다.
앞으로 정기점검을 통해 문제없이 식사 잘 하실 수 있도록 꼼꼼하게 체크하겠습니다.
치과치료는 누구나 두렵지만 같이 극복하기 위해
최대한 소통하며 덜아프게 진료하는 바른영치과 김태영 원장이였습니다.
감사합니다^^