안녕하세요.
약수동 치과 / 바른영 치과 김태영 원장입니다^^
앞서 설명한 MTA를 이용한 치료는 여러 case에서 사용할수 있는데
신경이 노출되지 않았지만 신경과 거리가 가까운 치료를 할때 또한
신경을 진정할 목적으로도 사용할수 있습니다.
스케일링, 검진, 양쪽이 시린증상이 있어요!!
환자분께서 스케일링, 검진 겸 불편한 곳을 검진받으러 오셨습니다.
오늘 설명할 치료 부위는 과거의 금 인레이로 치료 받은 부위가 금이 가있고, 주변 하방에 2차 우식이 생겼습니다.


우측의 사진을 보면 과거에 처음 치료 하셨을 당시에도 깊은 충치를 치료 하신걸로 보여집니다.
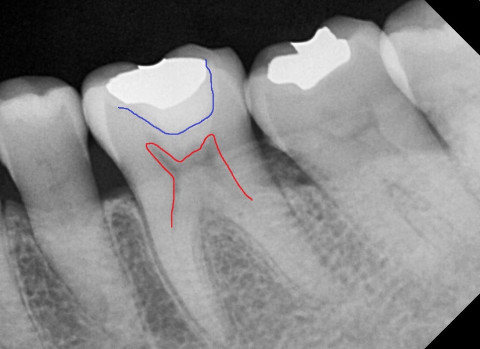
빨간색은 치아 신경의 상방 경계부이며, 파란색선은 금 인레이 하방에 충전물질의 경계가 보입니다.
사진상으로는 과거 충전물질을 제거 하면 1mm정도의 거리가 남을것으로 예상되어집니다.
환자분께 금 인레이와 하방 우식을 제거해 보고 너무 깊을시 1차적으로 MTA를 사용하여
신경과 가까운 부분을 진정 시켜 신경치료 없이 치아를 크라운으로 치료하자고 설명을 드렸습니다.

과거 금 인레이를 제거 후 하방의 충치들도 모두 제거 한 사진입니다.
1번 사진은 아직 과거의 하방 베이스를 이루는 공간을 채운 수복물을 제거 하기 전입니다.
깨끗하게 제거후 확인해보니 치아 원심측 부위부터 가운데까지 금이 진행한걸 볼수 있었습니다.
깨끗한 치질만 남았을때 다행히 신경은 노출 되지 않았지만
신경까지의 거리가 가까웠기 때문에
MTA라는 재료를 사용하여 신경을 진정시키는 처치를 했습니다.
마지막으로 최종 보철물이 들어갈때 시린 증상이나 통증이 없기 때문에
특별한 추가 처치 없이 보철물을 접착했습니다.
치아에 금이 간 상태에서는 진행 속도를 늦추기 위해서는 대부분의 경우 크라운 치료를 권유하고,
경우에 따라서는 신경치료도 동반해야 합니다.
크라운 보철치료를 한다고 해서 영구적으로 괜찮다고 보장할순 없지만
최대한 증상 발현을 늦추기위해서는 필요한 치료입니다^^