안녕하세요^^
약수역 치과 / 바른영 치과 원장 김태영입니다!!
앞니의 치아배열이 고르지 못하거나
그로 인해 치아 사이에 충치가 생겼을 때
충치 치료 후 보철로써 어떻게 치아배열을 맞출 때
어떤 치료를 하는지에 대해 궁금해하시는데요.
범위에 따라 라미네이트 혹은 크라운 치료가 필요합니다.
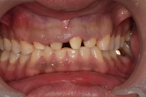
치아가 겹쳐져 있고, 그 사이가 어두워요

고등학생 환자분이셨습니다.
가운데 치아가 겹쳐서 맹출 되었고,
맹출 방향이 어긋남에 따라 잇몸의 높이 또한 맞지 않습니다.
겹쳐진 치아 사이로 충치가 깊게 생겨 신경치료까지 진행을 하였습니다.
보철 치료를 하기 전 환자와 보호자께서
주변 치아의 모양과 색상을 맞추고 싶다고 하셨습니다.
어렸을 때부터 치아가 겹쳐서 나서 웃을 때 활짝 웃을 수 없고
치아의 모양이 마음에 들지 않는다는 이유였습니다.
4개의 전치부를 크라운 치료를 진행하기로 하였습니다.
환자분은 과개교합(Deep bite)로
위 앞니가 아래 앞니를 깊게 덮고 있는 교합으로
교정적 치료도 좋은 옵션이 될 수 있지만
오래 걸리며, 환자분께선 아직 원치 않으셨습니다.
크라운치료에서 과개교합은 크라운이 들어갈 공간을 확보하는 것이 중요합니다.


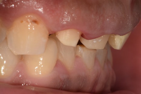
정면 / 측면
치아를 다듬고 본을 뜨기 전의 사진입니다.
원래의 치아의 크기도 작았고, 반대편 치아와의 공간 자체가 너무 긴밀했기 때문에
크라운이 들어갈 수 있는 공간과, 교합의 방해가 생기지 않게끔 치아를 다듬는 과정이었습니다.
이런 잇몸의 높이가 안 맞고 치아의 크기가 부족한 경우 잇몸성형술(gingivectomy)를 통해
치아의 길이를 길게 만들어줌으로써 심미적 효과도 볼 수 있습니다.


Gingivectomy
위의 사진과 같이 치아에 잇몸이 너무 많이 덮인 경우
치아의 길이가 많이 부족한 경우 할 수 있는 치료법입니다.
환자분께 설명은 드렸지만 치아가 고르게 보이는 것만 해도
충분히 만족하신다며 진행은 원치 않으셨습니다. ^^;;

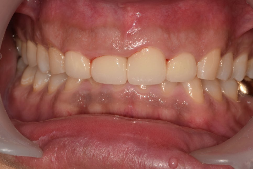
최종 보철이 완성된 사진입니다.
과하게 아래 치아를 덮었던 교합을 살짝 줄이고 주변 치아 높이를 맞춰 가지런하게 맞췄습니다.
보철을 통하면 빠른 시간 내에 드라마틱한 결과를 얻을 수 있습니다.
여전히 잇몸성형술을 했더라면 하는 아쉬움이 남는 케이스인 것 같습니다.
그래도 환자분이 그동안 콤플렉스였던 것이 해소되셨다면서
만족스러워하셔서 참 다행이었습니다.^^
감사합니다.