안녕하세요.
약수역 치과 / 바른영 치과 김태영 원장입니다^^
치과에 오시면 엑스레이를 찍게 되시는데요.
엑스레이에는 육안으로 볼 수 없는 치아의 상태나
매복 사랑니의 유무 등을 쉽게 알 수 있습니다.
간혹 사랑니 주변 잇몸이 부어서 불편하다고 오시는 환자분들이 계시는데요.
사랑니 주변은 쉽게 붓고
한번 붓기 시작하면 통증이 더 커집니다.
사랑니 때문인지 잇몸이 부었어요.

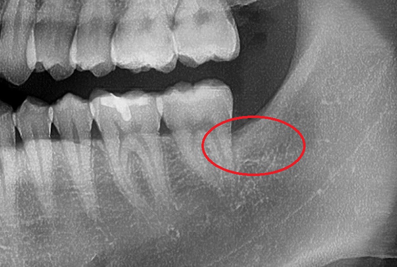
위 환자분은 4개의 사랑니가 있고,
아래 2개의 사랑니는 완전 매복이시지만
왼쪽의 사랑니는 치아의 머리가 살짝 나와 있었습니다.
그 부분의 잇몸이 부은 상태에서
잇솔질이 더 힘들어지고
위 사랑니에 의해 부은 잇몸이 계속 눌려 통증이 생기고 있었습니다.

저 끝에 조금 나온 치아머리가 보이시나요?
평소에는 아무런 문제가 없었겠지만
우연히 음식물 잔사가 저 틈에 끼게 되고
잇몸이 붓게 되면 그 벌어진 틈으로
감염이 일어나 통증이 야기되는 것입니다.
보시는 바와 같이 저 부위를 평소에 양치를 꼼꼼하게 하는 건 쉽지 않습니다.
일단 약을 먼저 드시고, 증상 완화 후 발치를 시작했습니다.
완전히 매복되어 있고 입이 잘 벌어지지 않으셔서
시야 확보에 애를 먹었지만
위아래 2개의 사랑니가 잘 발치가 되었습니다.
초기 치유도 좋으셨고,
오랜만에 정기점검을 오셔서 체크 겸 엑스레이를 찍어보았습니다.

발치 주변이 깔끔하게 치유가 된 것을 볼 수 있습니다.
저렇게 사랑니가 누워서 옆에 치아와 붙어있는 경우에는

사랑니 발치 후 옆 치아 뿌리가 노출이 될 수 있기 때문에
잇몸 치유가 느린 경우 노출된 부위가 시릴 수 있습니다.
이 환자분은 증상도 별로 없으셨고,
발치 당시 지혈, 압박이 잘되어 초기 잇몸 치유 상태가
좋았던 걸로 기억이 됩니다.
치아머리의 일부만 밖으로 노출된
사랑니는 그 주변 잇몸이 자주 부을 수 있기 때문에
양치를 할 때 그 부위도 꼼꼼히 닦아주시는 것이
주변 치은염을 예방하는데 아주 중요합니다.^^
감사합니다.