안녕하세요.
약수역 치과 / 바른영 치과 원장 김태영입니다.^^
가끔 환자분들께서 50~60대 이신데도 틀니를 끼시는 분들이 계십니다.
선생님 왜 임플란트를 안하시고 틀니를 하셨어요~?
여쭤보면 옛날에는 뼈가 안좋아서 임플란트 못한다고 했어요.
라고 말씀 해주십니다.
그러고 CT를 찍어보면
예전에는 그럴만도 했겠네요~
대답해드리고 요즘엔 더 어려운 케이스들도 수술한다고 말씀드리면
본인은 임플란트는 절대 못할줄 알았다면서
용기를 내주셔서 수술을 진행하십니다.
요즘에는 과거에 비해 임플란트도 발달이 많이 됬고
술식이 나날이 발달이 되고 있어서
대부분의 케이스들은 대학병원을 안가도 수술이 가능합니다.
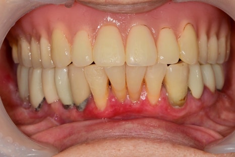
아래 잇몸이 아파요


처음 내원은 아래치아 주변 잇몸이 아프셔서 내원해주셨습니다.
상악은 과거에 치아를 발치하시고
전체 틀니를 쓰고 계셨습니다.
일단 임플란트, 앞니 주변이 잇몸이 부어있었기 때문에
먼저 잇몸치료를 진행하고 그 이후에 임플란트 진단을 했습니다.
환자분께서는 본인은 임플란트는 못할줄 아셨다고 하셨습니다만
CT를 보지 않아도 충분히 가능해 보였습니다.

발치 후 시간이 오래 지나게 되면 턱뼈는 위 사진과 같이
끝부분이 뾰쪽해지면서 안쪽으로 흡수가 되는 경향이 있습니다.
CT를 찍어본 사진은 뼈가 흡수되고 있었습니다.

임플란트의 위치, 갯수, 방향을 위해 시뮬레이션을 해보았습니다.
뼈의 끝부분이 뾰쪽해지면서 임플란트를 식립하기 위해서는
상부의 골을 다듬고 임플란트 식립후
치조골이식술을 통해 임플란트 주변 골의 두께를 충분히 확보해 주는것이 좋습니다.
수술을 하시고, 기존 쓰시던 틀니를 임시로 쓰시면서
뼈와 임플란트가 고정이 생길때까지 기다리는 시간을 갖습니다.

드디어 중간 기둥이 들어가고 임시치아를 쓰는 기간을 갖는 단계입니다.
이 시기가 은근히 지루하고 귀찮은 시기입니다.
오랫동안 틀니를 사용하셨기 때문에 턱관절을 안정화 시키기 위해
저는 환자분께 자주 뵙자고 말씀드립니다!!!
오실때마다 턱의 위치가 변하면서 교합이 변하기 떄문에
조정해드리고 사용하는 과정을 반복 했습니다.
이 기간에는 치아 모양이나 안모의 모양을 보며 최종 보철의 디자인을 위해 중요한 기간입니다.
몇달이 지나고 이젠 턱관절도 안정이 되면
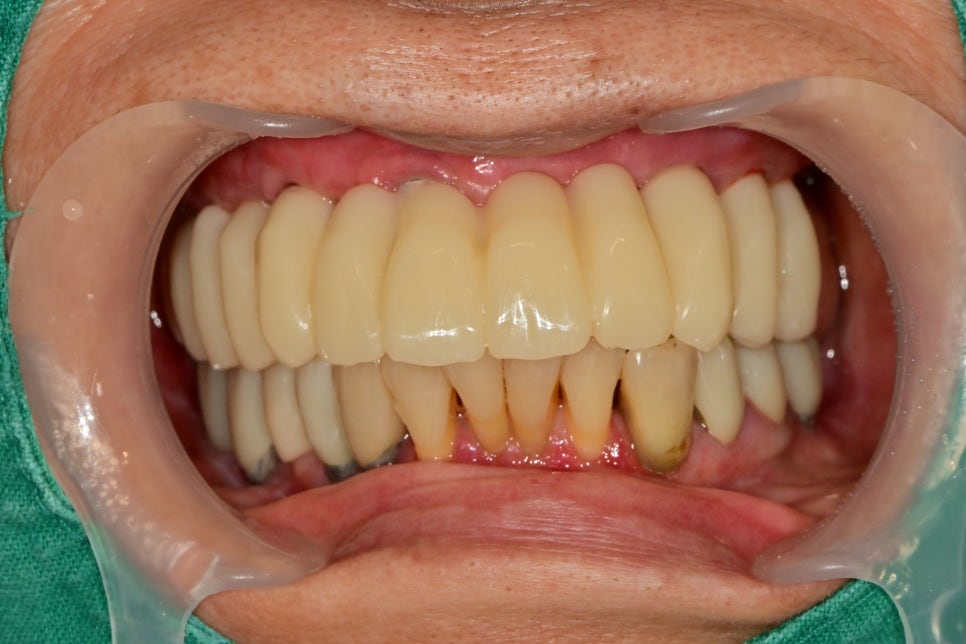
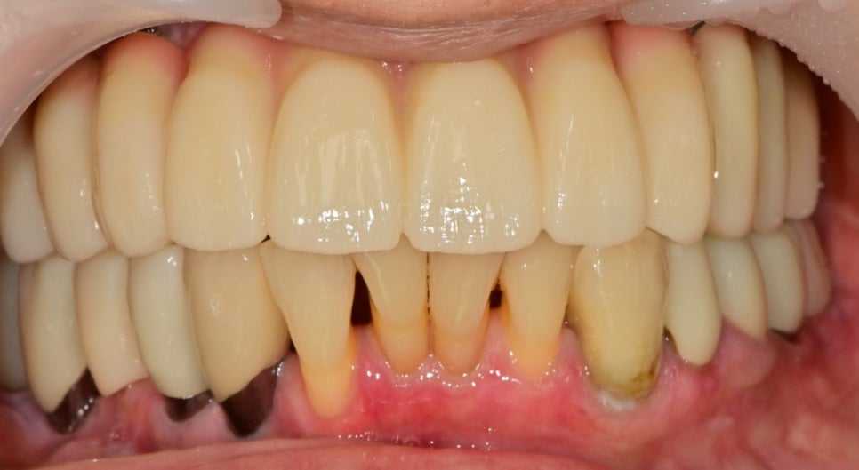
부위를 나눠서 최종 보철을 제작하기 시작합니다.


한쪽씩 보철을 제작하면서 최종보철물도 수정과 적용을 통해
기능, 심미를 모두 만족할만하게 완성했습니다.

임플란트뿐 아니라 아래쪽 임플란트, 자연치아 주변도 염증관리가 잘되있습니다.
사진으로는 간략하게 소개가 되었지만
거의 10개월 가까이 시간이 소요되었습니다.
환자분께서도 치료기간중 너무너무 협조를 잘해주셔서
결과도 잘 나왔던 케이스가 아닌가 싶습니다.
이렇게 전체틀니를 오래 사용하시거나
전체 임플란트 케이스 같은경우는 수술 뿐 아니라
임시치아상태에서 기본적으로 2~3달은 지켜보기 때문에
일반적 임플란트 케이스보다 시간이 배 이상 걸리게 됩니다.
그래도 이제 더이상 불편한 틀니는 안쓰시고
식사가 너무 만족스럽다는 말씀을 들으면
보람도 느끼고 장기간의 노력이 뿌듯하게 느껴집니다.
임플란트 치료는 수술 이후에 관리가 훨씬 중요합니다.
앞으로도 책임지고 관리해 드리겠습니다.
감사합니다^^