안녕하세요.
약수역 치과 / 바른영 치과 원장 김태영입니다.^^
환자분들이 치과 치료 중에서 무서워하는 치료 중 하나는
신경치료입니다.
신경치료는 일반적으로 최소 2~3회 이상은 내원을 하셔야 하고
치료 중간에 통증이 동반되기도 하기 때문입니다.
또한, 신경치료를 받은 후 시간이 오래 지나게 되면
오래된 수복물 주변으로 2차 우식이 생기거나
뿌리 주변으로 염증이 생기는 경우가 생기게 됩니다.
증상을 자각할 때쯤은 치아 주변 뼈가 많이 녹아서
내원하시는경우가 대부분입니다.
오늘은 치아가 발치가 필요하지만 바로 수술은 어려울 때
수술을 위해 어떤 치료가 필요한지에 대해 알아보겠습니다.
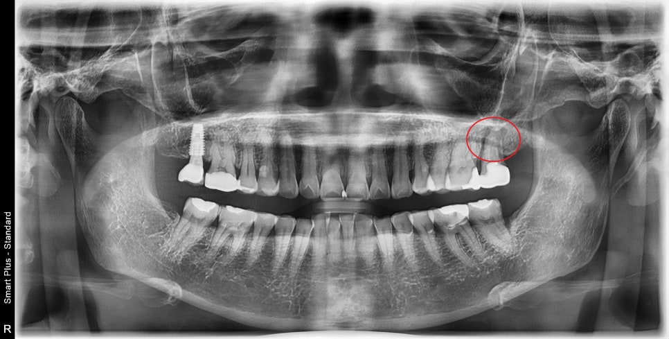
10년 전 신경치료한 치아가 염증이 생겼어요.


타 치과에서 염증이 심해서 발치를 진단받고 내원하신 분입니다.
이미 엑스레이에서 근단부 염증이 심하시고, 입천장 쪽에는
고름 주머니까지 형성이 되어있었습니다.
동요도까지 생겨서 재 신경치료는 불가능해 보입니다.

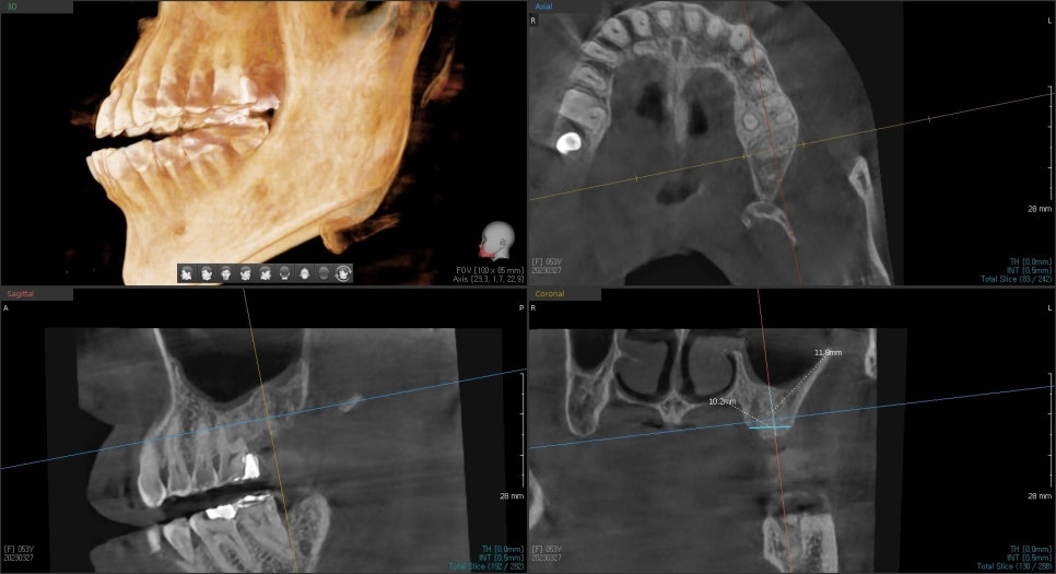
발치 전 CT를 찍어 주변 치조골을 평가했습니다.
치아 뿌리 주변이 염증으로 흡수가 되어있어서
발치 후 바로 임플란트 수술이 불가하고
발치 공간에 치조골 이식을 통해 뼈를 형성하고 수술을 진행기로 했습니다.

치아가 있던 웅덩이 같은 자리에 치조골이식술을 통해
볼륨을 유지시켜 주며 기다려 줍니다.
이 환자분은 4달 후 충분히 뼈가 형성이 된 후 임플란트 수술을 진행했습니다.
뼈의 형성도 좋았고 흡수도 많이 일어나지 않아
임플란트 식립 각도도 아주 유리하게 설정할 수 있었습니다.

임플란트 식립 후 주변 뼈와 고정이 일어날 때까지
기다렸다가 보철을 완성한 사진입니다.
이렇게 발치 후 임플란트 수술을 위한 처치에 대해 알아보았는데요
발치와 동시에 주변에 치조골 이식을 시행하는 것을
발치와 보존술이라고 합니다.
발치와 보존술을 통해 잔여골의 부피 유지와
수술 시 이상적인 식립 각도에 도움을 주기 때문에
가능하다면 발치 시에 해주는 편이 좋습니다.
대체적으로 위턱뼈의 맨 끝 어금니 주변의 뼈는
골질이 푸석한 편이지만 현재까지도 탈 없이 잘 사용하시고 계십니다.^^
앞으로 교합체크, 정기검진으로
유지 관리에 중점을 두는 치료 방향을 두겠습니다.
감사합니다.