안녕하세요.
약수역 치과 / 바른영 치과 원장 김태영입니다.^^
충치가 깊은 경우, 뿌리 쪽 염증이 생기거나, 치아 신경 내부에서
비가역적 염증반응으로 인해 신경치료가 필요한 경우가 있습니다.
앞서 몇 차례 말씀드렸던 신경치료의 여러 케이스와
치아의 신경 내부의 복잡성에 대한 내용은 아래의 증례를 통해 알아보실 수 있습니다.^^
오늘 말씀드릴 내용은 앞선 증례와 비슷한 내용으로
신경치료 후 수년이 지나서 염증이 재발된 상태의 케이스를 말씀드리려 합니다.


이번 케이스는 과거에 신경치료는 받으셨지만
오래된 수복물의 변형으로 뿌리 쪽의 염증이 생겨난 경우입니다.
과거에 신경치료를 받으셨지만 정확히 언제 완료가 된지 모르신 상태에서
아래쪽 통증으로 내원해 주셨습니다.
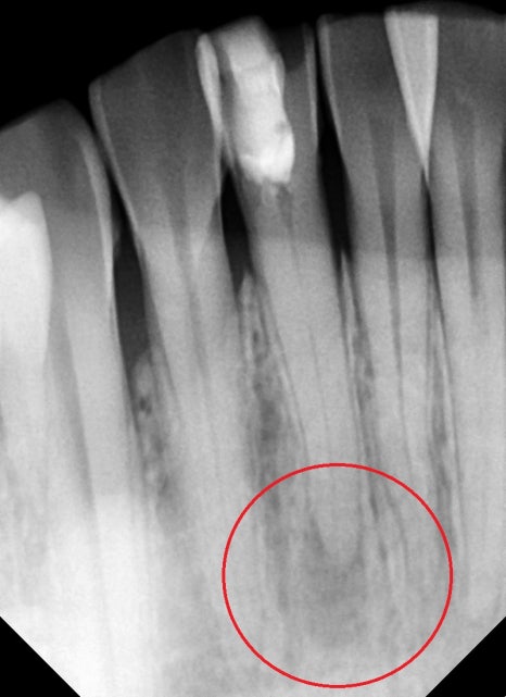
엑스레이 사진상에서 아래 앞니 뿌리 끝이 염증이 생긴 것을 확인할 수 있었습니다.

신경치료가 중단된 상태로 보이고, 치아 주변의 수복물은 오래되어 누출이 일어났을 것이고
주변 잇몸도 치석으로 인해 관리가 필요한 상태였습니다.
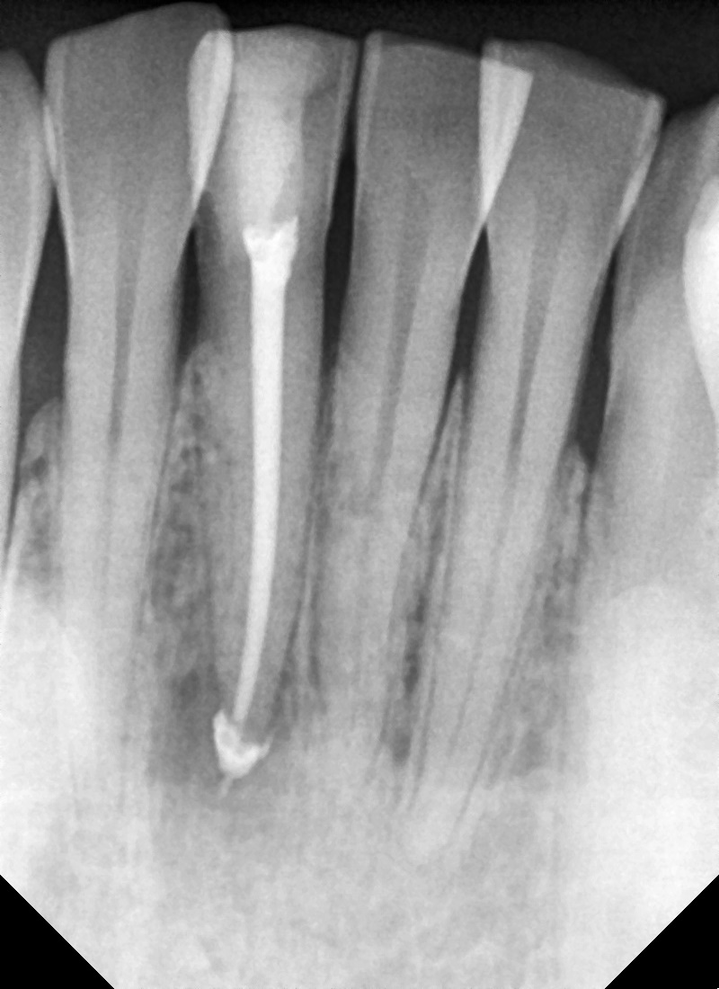
일단 오래된 수복물을 제거하고 신경관을 찾아서 소독이 필요했습니다.
그러기 위해서는 신경관의 주행 경로를 확보를 해야 하지만
신경치료를 하신지 오랜 시간이 지났기 때문에
뿌리끝 쪽 신경관이 석회화되어있어서 길을 조금씩 넓혀들어가는데 집중을 했습니다.
다행히 첫날부터 신경관을 확보할 수 있었고
다음날부터 통증은 완화되었습니다.
증상 체크를 하며 내원 4회차 만에 신경치료를 완료할 수 있었습니다.

뿌리 쪽 염증으로 인해 주변 골이 녹아있는 상태에서 뿌리 외부와 내부를
차단하기 위해 뿌리 주변을 약재가 막게끔 충분히 밀봉을 했습니다.
저는 환자분들께 신경치료된 치아는 죽은 나무에 빗대어 설명을 드립니다.
신경치료를 하게 되면 치아의 생활력이 없어지기 때문에
치아가 약해지고 푸석푸석해지며 오래 쓰게 되면 치아가 부러지거나
신경관 내부가 재오염이 되는경우가 있기 때문에 되도록이면
보철치료까지 해주는 것이 좋다고 말씀드립니다.
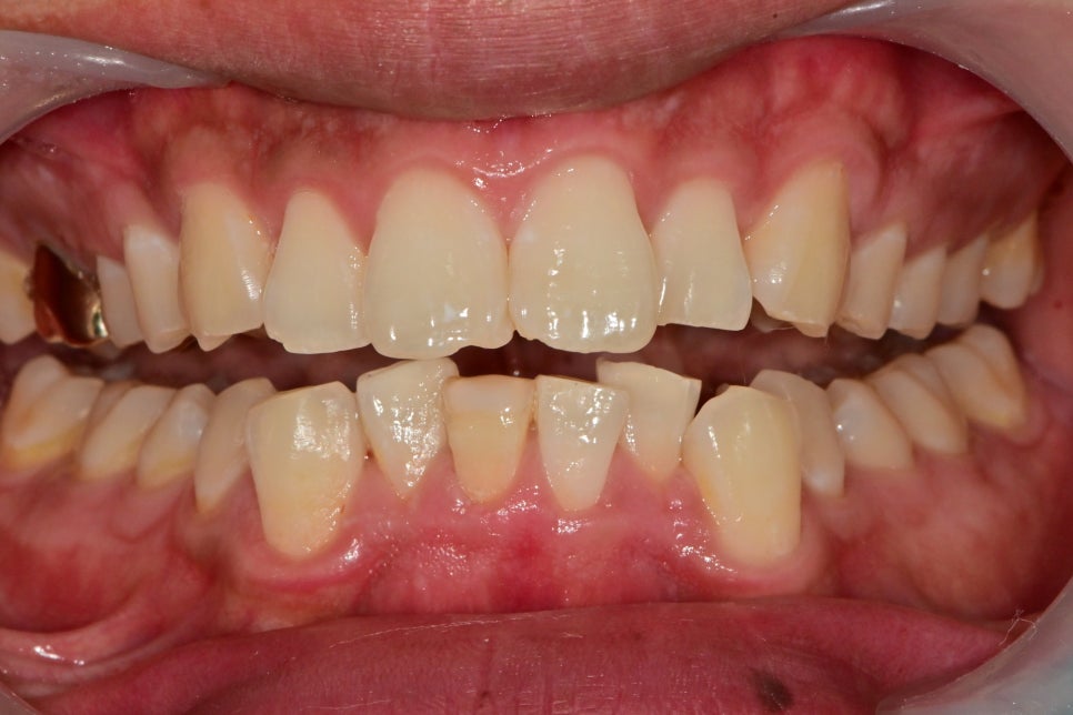
이 환자분 같은 경우는 치아의 크기가 작은 곳이고
치열이 고르지 않고 보철을 위해 치아를 다듬는 과정에서
남아있는 치아의 양이 너무 작아 파절의 위험성이 있기 때문에
레진을 이용한 build-up 치료를 하기로 결정을 했습니다.
크라운 같은 보철이 아닌 진료실에서 직접 레진을 이용해
치아의 외형을 만들고 교합을 체크하기 때문에
진료시간이 좀 길어졌습니다.

레진으로 치료를 완료했기 때문에 대합치와 교합 간섭을 신경 써서
교합조정을 해서 최대한 오래 유지할 수 있게 해드렸습니다.
주변 치아보다 신경치료를 한 치아는 색상이 어둡기 때문에
추후 실활치 미백이라고 하는 미백치료를 통해
내부 색상을 밝게 하여 어두워 보이는 것을 보완할 수 있습니다.
이렇게 신경치료가 제대로 완료되지 않고
치료가 중단된 상태에서 시간이 오래 지나게 되면 내부의 재오염이
뿌리 쪽의 염증으로 진행이 되기 때문에
신경치료를 시작하게 되면 끝까지 치료를 완료해 주시는 것이 좋습니다.^^
아래 앞니이기 때문에 큰 교합 럭은 가해지지 않겠지만
주기적으로 교합 체크를 통해서 유지관리에 더욱 신경 쓰겠습니다.
감사합니다.^^