안녕하세요.
약수역 치과 / 바른영 치과 원장 김태영입니다.^^
과거에 소개 드렸던 케이스에서
우리 치아의 신경구조는 굉장히 복잡하고
변이가 많기 때문에 신경의 기계적인 제거와
약물을 이용한 세척과정이 매우 중요하다고 말씀드렸습니다.
오늘 동양인의 하악 대구치에서 아주 높은 비중으로 나타나는
치아 신경의 구조적인 변이를 설명드리려고 합니다.
C형 근관이라고 불리는 신경관의 구조는 대표적으로 C1, C2같은 구조와
또 다른 변이된 구조로써 아래와 같이 여러 종류가 있습니다.

위에서 단면을 봤을 때 사진C1과 같이
알파벳 C처럼 신경관 입구가 모두 이어져 있어서
일반적으로 독립적인 신경관을 갖는 치아보다는
신경관의 확보 및 소독이 어렵기 때문에
신경치료 후 재발률이 일반적 경우보다 높을 수 있습니다.
C형 근관은 대부분 하악의 맨 끝 대구치에서 나타나고
이런 치아들은 뿌리가 모아져 있기 때문에
구조적으로도 약하기 때문에 증상이 생길 때는
동요도 및 치아 크랙이 동반이 됩니다.
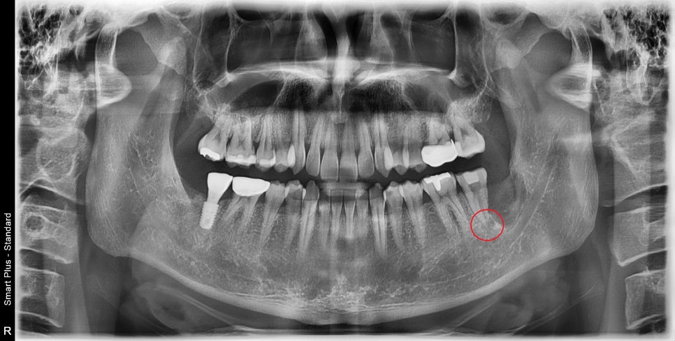
예전에 떼운곳이 떨어졌어요


좌측 아래 맨 끝 어금니의 수복물이 떨어져 있습니다.
치아의 맨 끝부분이 깨져나가있으며
엑스레이 상 뿌리끝에 염증 소견이 보입니다.
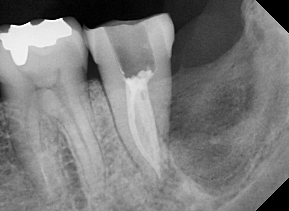
이미 크랙이 진행되어 있지만 증상 자체가 심하지 않기에 신경치료하고 증상을 지켜보기로 했습니다.

역시 뿌리 안쪽까지 크랙이 이어져 있습니다.
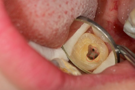
다시 비슷한 치아의 신경관 구조를 보면


단면이 이어져 있고,
실제 치아 내에서도 단독으로 입구가 존재하기도 하지만
계곡을 이루듯 신경관들이 연결이 되어있어서
최대한 많은 입구를 확보하는 게 가장 중요합니다.

다행히 신경관을 다 확보한후 신경치료가 끝난 사진입니다.
다른 치아들과는 다르게 뿌리끝이 모아져있는 것을 볼 수 있습니다.
뒤쪽의 사랑니 발치 부위가 커서 일시적으로 동요도가 일어나고 있지만
저작시 통증이 조절된다면 현재 치아를 조금 더 유지할 수 있을 거라고 생각이 됩니다.
신경치료를 할 때는 같은 부위의 치아라도
신경관이 위치, 변이, 구조, 뿌리의 형태가 달라질수 있기 때문에
많은것을 고려하며 매번 치료 할때 접근방식이 달라집니다.
보철 이후에도
조정 관리를 통해서
가급적 오래 보존하셨으면 좋겠습니다.^^
치료 시작 : 2023.08.08
치료 종료 : 2023.09.18
본 포스팅은 의료 정보 제공 및 병원 광고를 목적(의료법 제56조 1항)을 준수하여 바른영치과에서 직접 작성한 글입니다.
본사진은 동일한 환자분에게 찍은 사진으로서 환자마다 치료방법 및 다른 부작용(통증, 염증, 보철물탈락)이 발생할수 있습니다