안녕하세요.
바른영 치과 원장 김태영입니다^^
앞서 소개한 적 있지만
틀니를 장기간 사용하다 보면
우리 턱의 치조골이라고 하는
뼈가 치아가 없는 곳은 퇴축되며 골이 얇아지게 됩니다.
이 경우에 치조골 이식술을 동반한 임플란트 수술이 진행되지만
치조골의 퇴축 정도와 폭, 임플란트 식립 각도를 고려하여
시뮬레이션을 통해 이상적인 임플란트 식립 위치를 정하는 것이
매우 중요합니다.
비슷한 케이스이지만 임플란트 식립 개수와 위치는 각각 다를 수 있습니다.
요즘 틀니 쓰시다가 불편하셔서
임플란트수술로 진행하시는 환자분들이 많이 방문해 주십니다.
그래서 오늘도 비슷한 케이스를 포스팅 하겠습니다!
당뇨도 있고 전체틀니 사용 중인데 임플란트 가능할까요??

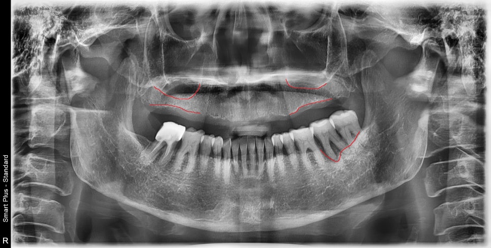
초진 엑스레이 사진입니다.
상악은 무치악 상태이고
하악은 맨 끝 어금니 하나가 치주 질환이 많이 진행되었습니다.
상악의 상악동(=부비동)이라고 하는 공간 때문에
치조골의 높이가 부족해 보입니다.
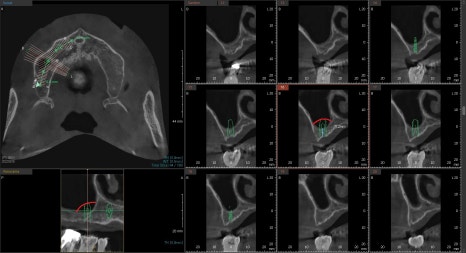
더 정확한 진단을 위해 3D CT를 촬영하여 시뮬레이션을 해보았습니다.


상악동의 모양, 접근 방법을 시뮬레이션 하며
빨간선까지 치조골 이식술을 계획하며
어느 부위에 임플란트 식립을 하는 것이 이상적인 것인지 와
환자분의 상황을 고려하며 여러 번 상담을 통해
치아의 개수, 보철물의 종류 등을 결정했습니다.
이 환자분 같은 경우는 중간에 보험 임플란트가 있기 때문에
PFM이라는 보철물로 진행하기로 했습니다.


임시치아 상태 / 최종 엑스레이사진
하악 어금니의 경우 치조골 이식을 먼저 해놓은 후
보험 임플란트와 함께 단계적으로 수술을 했습니다.
수술 후 임시치아를 체결한 후
역시나 교합의 안정을 위해 2~3달 정도의
적응 기간을 거치고 있는 상태입니다.
오른쪽의 최종 보철물이 체결된 상태의 엑스레이 사진입니다.
앞니쪽의 뼈는 너무 종잇장처럼 얇아있기 때문에
최대한 골의 양이 허용되는 범위내에서 심고
작은어금니에서 지지를 같이 받는 구조로 설계를 하였습니다.
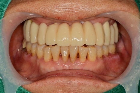
오랜 기간 치료가 끝이 났습니다.
치료 후 환자분께서 씹는 것이 아주 좋아졌다고 하십니다.
치료는 마무리가 되었지만
더 중요한 관리는 이제부터가 시작입니다!!
정기검진마다 임플란트의 유지관리를 하여
오래오래 맛있는 음식 드시도록 해드리겠습니다^^