안녕하세요.
청구역 치과 / 바른영치과 원장 김태영입니다.^^
저희 치과는 가족 구성원 모두가
저희 치과에 다니시며 관리를 받으시는
가족분들이 많이 계십니다.
처음 저희 치과와 인연이 되어
부모님이 먼저 오신 후 소개로 자녀분들이 오시고,
자녀분들이 먼저 오셨다가 부모님을 모시고 오시고,
아이의 유치발치, 불소도포를 하러 내원하셨다가
어머님이 정기검진을 받으시는 가족 등등
감사하게도 저희 치과와 인연이 되어
정기검진, 치료, 스케일링 등등
많은 치료를 받고 계십니다.
바른영 치과를 믿어주신 만큼 최선을 다해 치료를 하지만
사실 아픈 곳 없이
저와는 자주 안 뵙는 것이 더 좋은 것 사실입니다^^;;
처음에 충치가 생긴 치아를
통증이 없거나
치과가 가기가 두려워
너무 바빠서
내원을 미룬다면 치아는 천천히 충치가 진행되게 되어
경우에 따라서는 신경치료, 발치가 필요하게 됩니다.
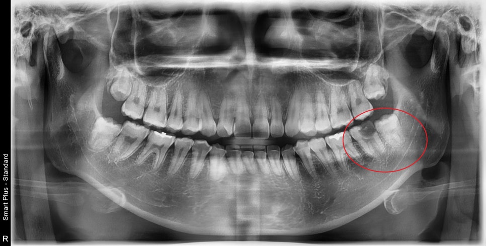
음식 먹다가 치아가 부려졌어요.


좌측 아래의 두번째 큰 어금니입니다.
첫 번째는 신경치료
두 번째는 보철치료 전 사랑니 발치가 필요합니다.
사진으로만 보아도
이미 충치가 진행이 신경까지 진행된 상태이며
약해진 치아는 쉽게 부서지고, 깨지는데
그 공간으로 잇몸이 차오른 것을 볼 수 있습니다.
충치가 생겨도 통증이나 증상을 못 느끼는 경우가 있기 때문에
적어도 1년에 한두 번 정도는 치과를 방문해 주시는 것이 좋습니다.
지금 글을 읽고 계신 분들 중에서도
치과 방문을 최근에 안 하신 분은
가까운 치과에 방문하여 정기검진을 찍어보시는 것을 권유드립니다^^
이렇게 잇몸 안쪽까지 충치가 생긴 것은
신경치료를 먼저 꼼꼼하게 한 후
나중에 보철치료를 할 때 잇몸을 적절하게 성형을 하여
진행해야 제작하고, 관리하기가 수월합니다.
전에 포스팅했던 치아의 위치와 같은 치아입니다.
신경치료에 관한 내용은 위의 포스팅을
참고하셔도 좋을 것 같습니다.
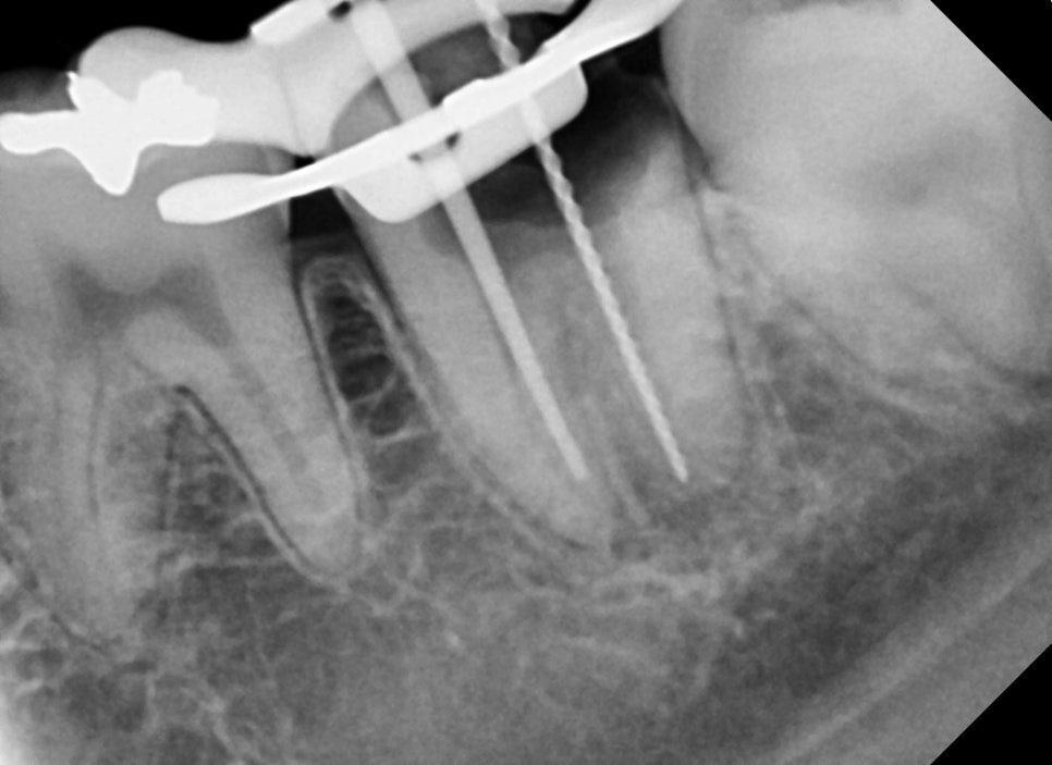
이번 케이스는 신경관의 구조는 엄청나게
복잡한 편은 아니었지만
신경관마다의 크기가 너무 컸기 때문에
신경치료를 하면서
신경관의 길이, 두께, 크기를 측정하기가 까다로웠고
그만큼 신경관 내부의 소독에 신경을 썼습니다.

측정기 구로도 애매한 여러 신경관들을 X-ray를 통해
좀 더 명확하게 확인하는 과정을 통했습니다.
이 치아가 충치도 안 생기고 치료를 안 했더라면
옆에 있는 완전 매복된 사랑니도 발치할 필요가 없었을 것입니다.
하지만
해당 치아의 보철치료를 위해서는
사랑니가 방해되는 위치에 있었고
장기적으로 관리의 용이성을 위해 사랑니도 같이 발치하고
보철치료를 마무리했습니다.

치료 마무리 후
오랜만에 정기검진을 오셨습니다.
신경치료와 보철치료까지 깔끔하게 마무리되었고
그 옆의 사랑니 뺀 곳은 흔적을 찾아볼 수 없을 정도로
뼈가 다 차있는 것을 볼 수 있습니다.
너무 깊이 매복이 되어있어서
발치 당시에는 통증이 좀 있으셨었는데
이렇게 회복된 것을 보니
치료를 잘 받아주신 것에 대해 감사했습니다.
이제는 환자분도 정기적으로 가족분들과
내원하셔서 스케일링 같은 간단한 관리와 검진만 받고 계십니다.
치과는 항상 아프 기전은
왠지 무섭고, 가기 꺼려지고 하는 곳입니다만
충치가 생겼을 때 옳바르게 치료하는 것도 물론 중요하지만
정기적으로 문제가 없더라도
예방치료를 통해 초기에 문제를 바로잡는 것이 더 중요합니다.
감사합니다^^