안녕하세요.
약수역 치과 / 바른영 치과 원장 김태영입니다.^^
환자분들을 많이 상담하다 보면
환자분의 아픈 점이 해결되면
비슷한 증상의 지인분을 환자로 소개해 주시는
케이스가 종종 있습니다.
최근에는 금간 치아에 대해 치료법에 대해 많이 궁금하셨는데요.
금간 치아에 대해 걱정을 하시는 분들이 계십니다.
금간 치아가 바로 탈이 나지 않을까
금간 치아는 어떻게 치료해야 효과적일까
결론은 금간 치아라도 항상 치료가 필요한 것은 아닙니다.
하지만 금간 정도는 같은 환자분한테도 다르기 때문에
간단하게 정의하기는 어렵습니다.
성인은 모두 다 치아에 금이 존재합니다.
몇십 년을 치아 교체 없이 사용하다 보면
당연히 실금도 가고, 저작력이 강하신 분들은
금이 진행이 돼서 증상이 생길 수도 있습니다.
일반적으로는
현실적으로 모든 금간 치아를 씌울 수는 없기 때문에
금의 진행 정도가 미비하거나
큰 증상이 없으면 일단 지켜보자고 말씀드립니다.
여기서 치료가 필요한 경우는
금간 치아가 깨진 경우
씹을 때마다 불편감이 생기는 경우
금간 부위가 넓고 깊다고 판단된 경우
금간 부위 하방의 2차 우식이 생긴 경우
입니다.
오늘 소개해 드릴 케이스는
치아에 다발성 크랙이 발견되고
치아파절까지 관찰된 환자분입니다.

엑스레이에서 보듯이
최후방 치아가 깨지고 주변 치아뿌리인대가
비후 되어있었습니다.
구강 내에서는 아래쪽 뿐 아니라
대합 되는 부위에서도 다발성의 크랙이 관찰되었습니다.


치아의 파절과
좌우로 진행된 금간 부위 하방으로
2차 우식까지 진행되었습니다.
임상적 증상은 크지 않았기 때문에
일단 신경치료는 보류하고
임시치아 상태로 지켜보기로 했습니다.
금간 치아는 크라운을 씌우기 전
증상의 유무에 따라
신경치료 혹은 심하면 발치까지 고려할 수 있습니다.
요즘은 MTA라는 신경보호 재료가 있어서
이 재료에도 기대를 해볼 수 있습니다.
금간 부위와 충치를 제거하는 도중에 안쪽까지 발견된
크랙을 발견할 수 있었습니다.

이런 부분들을 제거하고
임시치아 상태에서도 증상이 나타나지 않아
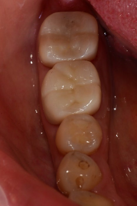
최종 보철까지 완료할 수 있었습니다.



아직까지는 특별한 문제점 없이
경과 관찰 중입니다.
금간 치아는 크라운을 씌운다고 해서
금의 진행이 아주 멈추는 건 아닙니다만
치아가 외상에 의해 영향을 받는 것을 막아주는 역할을 해서
치아 수명에 분명히 도움이 됩니다.
다른 부위에도 약간의 크랙이 존재하시지만
꾸준한 정기검진으로
치아 상태를 정기적으로 평가를 할 필요가 있습니다.
오늘은 금간 치아에 대해 알아보았는데요.
궁금하셨던 분들에게 도움 되셨기를 바랍니다.