안녕하세요.
약수역 치과 / 바른영 치과 원장 김태영입니다.^^
웃을 때 잘 보이는 전치부
즉, 앞니 쪽 치열 혹은 치아색에 의해
치과에서 심미치료를 많이 받습니다.
혹은,
전치부 치열이 고르지 않다 보면
치아 사이에 있는 플라그를 효과적으로 제거할 수 없어
깊은 충치가 유발될 수도 있는데요.
이런 경우 전치부 심미보철을 할 때
어떤 종류가 있으며
어떻게 진행되는지 간단하게 알아보겠습니다.
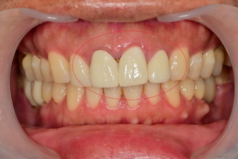
오래된 앞니 크라운이 색이 안 맞고, 경계 부분이 노출되었습니다.


과거에 치열이 바르지 않은 곳에
충치가 생겨서 신경치료를 했는데
치아배열을 올바르게 하기 위해
주변 치아를 같이 신경치료 후 심미보철 치료를 한 케이스입니다.
앞니의 경우 충치가 생긴 치아를 신경치료 후에
해당 치아만 보철을 하는 것보다는
치아의 배열, 색상을 자연스럽게 맞추기 위해
인접치 아들까지 심미보철을 해주는 것이 좋을 때도 있습니다.
시간이 오래 지나다 보니 잇몸 쪽 보철의 경계 부위가 노출되고
주변 치아와 색상이 맞지 않았습니다.
재제작을 위해 보철물 3개를 제거했습니다.
이 경우 보철물의 유지를 높이기 위해 2개, 1개씩 묶어서 제작되었습니다.
유지의 측면에서 묶어서 제작하는 것이 좋지만
나중에 치아에 문제가 생겼을 경우
모두 제거해야 하기 때문에 유지력이 좋은 경우
치아 하나씩 제작하는 편이 좋습니다.

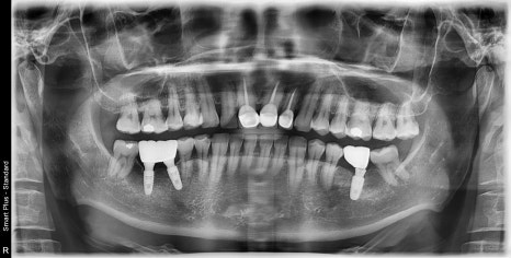
엑스레이에서도 치축이 어긋났고
치아들의 방향이 평행하지 않았습니다.
퇴축된 잇몸 라인에 맞게 치아를 알맞게 다듬고
심미보철물의 진입 각도를 좋게 만들기 위해
미세하게 더 다듬었습니다.

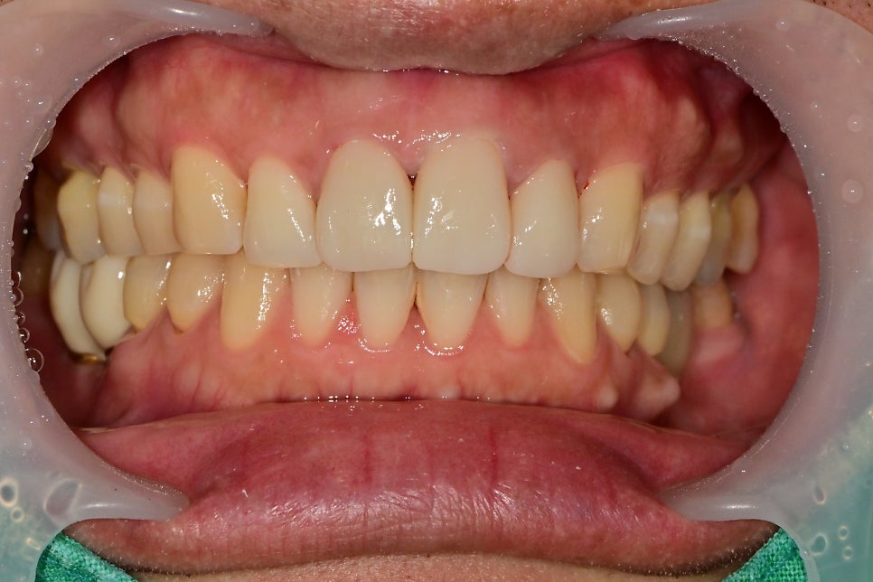
최종 심미보철물의 세팅 날입니다.
전과 비교해서 모양이나 색상이 자연스러워진 것을 볼 수 있습니다.
기존 치아의 색상이 약간 어두운 경우
미백을 추가적으로 하면 더 좋은 효과를 볼 수 있습니다.
심미보철에서
크라운 이외에 라미네이트가 있습니다.
최근 많이 대중화되고 접착기술이 발달되어
많은 케이스에서 적용되고 있습니다만
라미네이트가 치아를 무조건적으로 보호하고
무삭제가 가능한 것은 아닙니다.
위와 같은 케이스에서는 라미네이트의 적응증은 아닙니다.
아래의 증례를 참고하시면 좋을 것 같습니다.
흔히 무삭제 라미네이트라고 하는 것의 케이스는
아래와 같은 치아 공간이 벌어져있거나
치아가 정상 크기보다 작은 왜소치인 경우에 가능합니다.

그 이외의 경우는 대부분 치아를 어느 정도 다듬어내거나
치축이 맞지 않은 부분은 삭제량이 많아지며
교정이 필요할 정도의 케이스에서는
라미네이트건 크라운이건 신경치료가 선행되어야 합니다.
그렇기 때문에
라미네이트가 맞다, 크라운이 맞는다는 케이스마다 적응 범위가 다릅니다.
이렇듯 전치부 심미보철을 제작할떄는
어금니쪽보다 고려해야할 사항이 좀 더 많습니다.
모든 보철물들은 시간이 지나면
잇몸 퇴축에 의해 경계부위가 노출되기 때문에
유지관리도 중요하고
정기적인 점검도 중요합니다.
전치부 심미보철
밝은 미소를 드릴 수 있도록 노력하겠습니다.
감사합니다.^^
오늘은 전치부 심미보철 재제작에 대해 알아보았는데요.
궁금하셨던 분들에게 도움 되셨기를 바랍니다.