안녕하세요.
옥수동 치과 / 바른영 치과 원장 김태영입니다.^^
우리 치아의 신경은
아주 다양한 신경구조를 갖고 있습니다.
심지어 한 사람의 여러 치아들은 신경구조가 조금씩 다릅니다.
전에 포스팅했던 재신경치료에 대한 글을 읽어보셔도 도움이 되실 것입니다.
다른 치료를 할 때도 정성스럽게 하지만
신경치료라는 것은
보이지 않는 치아 내부의 신경 길을
깨끗하게 치료하는 과정이기 때문에
항상 집중을 하고 꼼꼼하게 하려고 노력하고 있습니다.
신경치료한지 몇 년 됐는데 피곤할 때마다 잇몸이 붓고 잘 안 가라앉아요.
종종 신경치료를 받으셨는데
몇 년 지난 후 피곤하거나 면역력이 안 좋으실 때면
잇몸이 붓거나 고름주머니가 생겨서
약을 먹어도 잘 안 가라앉는다고
내원해 주시는 환자분들이 계십니다.
이것은 신경치료된 곳이 염증이 재발되어 생기는 현상인데
신경치료는
기계적, 화학적 접근으로 신경관 내부의
오염된 신경관들을 깨끗하게 제거하고
소독하여 외부에서의 오염에 대해
차단을 하는 것을 목표로 하지만
시간이 지남에 따라 일부 치아에서는
외부 오염에 노출이 되거나
치아 내부의 구조적 결함으로 인해
안타깝게도 종종
뿌리 쪽의 염증이 재발되는 경우가 있습니다.ㅠㅠ
신경치료된 치아의 염증 재발인 경우 치료방법은 뭐가 있을까요?
간단하게 재치료 혹은 발치입니다.
저도 자연치아 소중함에 대해알고 있기 때문에
신경치료한지 얼마 되지 않은
환자분께는 다시 한번 시도를 해서
살려서 써보자고 말씀드리곤 합니다.
하지만,
시간이 오래 지난 치아에 대해서는
재 신경치료를 깔끔하게 하기가 쉽지 않고,
병변이 큰 부위에 대해서는
치료 완료 후에도 예후가 좋지 않은 경우가 있습니다.


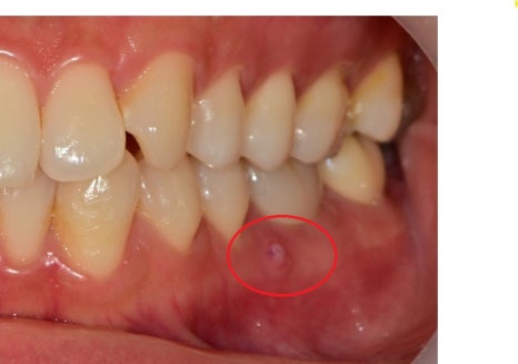
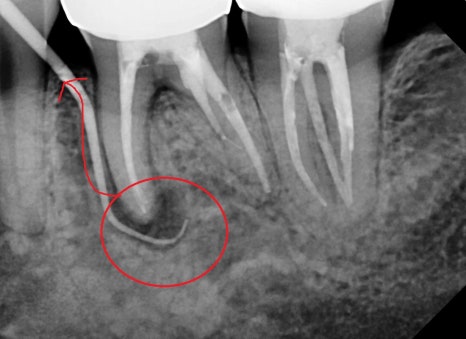
좌측 사진은 잇몸에 고름주머니가 생긴 증상이고,
이것은 뿌리 쪽 염증이 바깥 뼈를 녹이며 외부로
노출이 된 상태이며
이것을 확인하기 위해 고름주머니를 통해
염증의 근원지가 어디인지 엑스레이를 통해 알아보았습니다.
신경치료가 된지 상당히 시간이 지나서
어려움이 예상되긴 하지만
발치한 마지막으로 재신경치료를 시도하기로 했습니다.
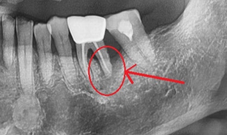
또 다른 증례입니다.

과거에 신경치료를 받았지만
치아 상부쪽 2차충치로 인한 내부 오염이 진행되고
뿌리안쪽까지 염증이 퍼져
재신경치료를 진행했습니다.

좌측상단사진이 초진사진입니다.
신경관안쪽의 재료들을 걷어내고 수 회 소독한 후
증상완화 확인후
우측아래 사진과 같이 뿌리끝까지 깨끗한 재료로 다시 밀봉한 후
통상적으로 보철 치료를 진행했습니다.

인접치아도 오래된 수복물로 내부오염이 되어있어
충치 제거 후 보철치료 완료하였습니다.^^
치료 시작 : 2023.11.23
치료 종료 : 2023.12.20


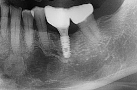
이번 케이스는
저희 아버님이십니다.
과거에도 한번 신경치료 부위가 재발이 돼서
재신경치료 후 보철을 해드렸었는데
거의 10년이 넘어 이번에는
뿌리 쪽 염증과 치주 염증이 복합적으로 생기셨습니다.
이미 뿌리도 녹고 있는 상황이었기 때문에
안타깝지만 아버님께 발치를 설명드리고
대신 염증으로 인해 광범위하게 녹아있는 치조골 주변에
골 이식술을 튼튼하게 하고 임플란트를 완성 시켜드렸습니다^^
이렇듯
신경치료된 치아에
염증이 재발된 경우에
재신경치료 유무를 결정하는 요인에는 여러 가지가 있습니다.
치료시기, 뿌리의 구조, 염증의 크기 정도, 동요도 유무 등등
최대한 재신경치료를 해서 증상이 완화되면 좋겠지만
현재로서는 어느 정도 치료의 한계는 있습니다.
오늘은 신경치료 재발에 대해 알아보았는데요
궁금하셨던 분들에게 도움 되셨기를 바랍니다.
감사합니다.^^
치료 시작 : 2022.06.13
치료 종료 : 2022.11.26
본 포스팅은 의료 정보 제공 및 병원 광고를 목적(의료법 제56조 1항)을 준수하여 바른영치과에서 직접 작성한 글입니다.
본사진은 동일한 환자분에게 찍은 사진으로서 환자마다 치료방법 및 다른 부작용(통증, 보철물탈락)이 발생할수 있습니다