안녕하세요.
바른영 치과 대표원장 김태영입니다.^^
저는 어렸을 때부터 치과를 참 무서워했는데요.
어떤 치료를 받는지도 모르고 부모님 손에 끌려가서
무조건 참으면서 치료를 받았어야 했습니다.ㅠㅠ
그래서,
제가 치과의사가 된다면 환자 입장에서
어떤 치료를 받는지 설명을 꼭 잘 드려야겠다고 다짐했었는데
다행히 환자분들께서도 알아봐 주시고 계셔서 너무 감사할 따름입니다.

또한, 주변에 거주하시는 분뿐만 아니라
이촌동에서 사시는 환자분께서
우연히 저희 치과를 방문해 주셨는데
과거 치과 트라우마로 인해 치료를 많이 미루셨지만
지금은 거리가 있음에도 불구하고
치료와 정기검진을 와주셔서 치과공포증을 극복 중이십니다.^^;

임플란트 치료를 받고 싶습니다.
하고 싶은데 너무 아플 것도 같고
이 빠진지 너무 오래돼서 다른 치과에서는 틀니 하라고 했습니다.
신당 임플란트를 찾으시는 분들 중에 상담을 오시게 되면
시간이 없어서 치료를 미루시기도 하시지만
주변에서 듣기로
임플란트 수술은 무섭다, 아프다, 비싸다입니다.
물론 치아가 없는 상태로 오랜 시간 지속되다 보면
주변 뼈가 수축되기 때문에
수술 비용, 기간은 늘어날 수밖에 없습니다.
임플란트 뼈이식하면
엄청 붓고 아프다던데 걱정돼요
의외로 많은 분들이 수술을 앞두고
아플까 봐 걱정된다고 하십니다.
임플란트 수술 시 뼈이식을 하면 무조건 붓는다고 생각하시는데
반은 맞고 반은 틀립니다.
뼈이식을 해서 붓는다기보다는
그로 인해 출혈이나 수술시간이 길어짐에 따라
통증이나 붓기가 생기게 됩니다.
그래서 수술시간을 단축하는 것이
통증 조절을 위해서 좋습니다.
그로 인해 3D 임플란트 내비게이션이라는 장치가 있습니다.


이런 식으로
환자분의 데이터를 바탕으로 모의 수술을 하고
그로 인해 임플란트 수술 방향을 정한 상태로 수술을 들어갑니다.
물론 내비게이션 없이 수술을 훨씬 많이 하지만
수술시간 단축
또는
환자분의 마음의 안정 측면에서도 도움이 될 때가 있습니다.
그럼, 실제 증례를 보겠습니다.
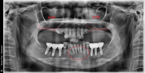
다수의 임플란트 식립 시 내비게이션 사용 / 광범위한 골이식 증례


상기 환자분 또한 기존 다니시던
임플란트 환자분의 직장 동료로서
소개로 내원하셨습니다.
양쪽 어금니가 발치된 지 오래된 상태셨고
위턱뼈의 뼈가 임플란트를 식립하기에는
너무 얇은 상태였습니다.
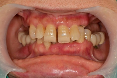
아래 앞니들은 치주염으로 인한 발치가 필요한 상황이며
위 앞니는 무너진 교합 때문에
앞으로 튀어나고 벌어져 있었습니다.
어금니로의 저작은 불가능하여
제대로 된 식사를 못하시고 계셔서
하루빨리 식사를 하실 수 있게 도와드리고 싶었습니다.
뼈가 너무 안 좋아서
수술이 가능할까요??
가능합니다!
하지만 그만큼 치료 기간은 길어질 수밖에 없고
중간중간에 남아있는 치아들도 같이 치료를 해야 합니다.
뼈가 너무 얇지만 광범위한 뼈이식 동시에
임플란트까지 식립하는 것을 목표로 하고
수술시간 단축을 위해 3D 내비게이션 가이드를 제작했습니다.


환자분의 데이터를 통해
아래와 같은 3D 내비게이션 가이드를 제작합니다.

조심스럽고, 신중하고, 빠르게 수술을 진행했습니다.
상기 환자분 같은 케이스는
잇몸 절개 없이 수술은 불가능하기 때문에
3D 내비게이션 가이드의 장점을 100% 활용할 수 없지만
빠른 식립을 위해 사용하였습니다.

다행히 골이식과 동시에 임플란트를 수술 성공하였습니다.
수술은 결과적으로 성공적이었고
붓기는 조금 있으셨지만
환자분께서 잘 도와주신 덕분에
잘 마무리할 수 있었습니다.
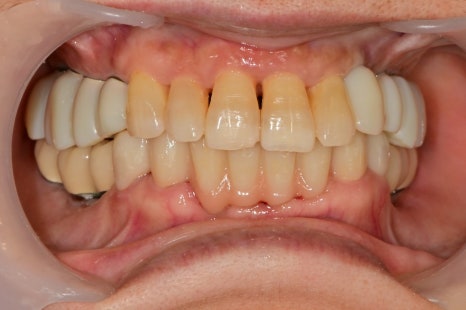
임플란트가 안정화가 되기를 기다리며
임시틀니를 끼며
무너진 교합을 회복하고
남아 있는 자연치아의 회복을 시킨 후
턱관절의 안정을 시키기 위해 임시치아를 사용하는 기간도 갖습니다.


위 앞니를 보시면 무너진 교합을 회복시켜주고
자연치아가 회복할 시간을 주니
저절로 앞니도 이쁘게 제자리를 찾았습니다.
꽤나 긴 시간 동안 임시틀니를 사용하셨는데
이제 정상적인 저작을 하실 수 있다고 하셔서
너무 보람찬 순간이었습니다.^^
나중에 최종 보철까지 완료 된 후
치료 후기에 대해 작성해보는 시간을 갖겠습니다^^
무조건 빠르고 간단한 치료는 없습니다.
바른영치과는
임상 상황에 맞게 장기적으로 안정적인 치료를
지향하는 진료철학을 갖고 있습니다.
그렇기 때문에 매 진료마다 최대한 자세히 설명드리려고 노력하고 있습니다.
신당 임플란트에 대해 고민 이신 분들은
내원하셔서 자세한 상담을 도와드리겠습니다.
그럼 오늘 전해드린 정보가 여러분께 큰 도움이 되었으면 합니다.
감사합니다.^^
▼ 함께 읽으면 좋은 관련 증례 ▼
내원해 주시는 모든 환자분들께
가족에게 설명하는 마음으로 다가갑니다.
걱정으로 내원해 주시는 모든 분이
나가실 때는 안심하고 나가는
믿을 수 있는 치과를 만드는 것이
제가 바라는 치과입니다.
- 바른영치과
본 포스팅은 의료 정보 제공 및 병원 광고를 목적으로(의료법 제56조 1항)을 준수하여 바른영치과에서 직접 작성한 글입니다.