안녕하세요.
바른영 치과 대표원장 김태영입니다.^^
우리는 입안에 조그만 혓바늘 하나만 나도 엄청 불편합니다.
구강 내는 말하고, 먹고, 하루 종일 일을 하기 때문에
감각이 굉장히 민감합니다.
이런 구강 내에서
가끔씩 양치를 하다 보면 입에서 피가 나오실 때가 있으실 겁니다.
그럴 때마다
어디가 잘못된 것이 아닌가 걱정하실 텐데요.
대부분은 일시적인 잇몸 염증으로
올바른 잇솔질과 시간이 지나면 자연적으로 치유되지만
이런 시간이 오래 지속되고
입에서 냄새도 난다면
어디서 원인이 되어 잇몸염증이 생긴 것인지 알아볼 필요가 있습니다.
금남시장 치과를 찾아주시는 분들 중에 잇몸에 염증이 나서
약을 처방을 원하시는 분들이 많습니다.
약을 먹어도 물론 증상이 나아지지만
근본적인 원인을 찾아 치료를 같이 해주는 것이 훨씬 효과가 좋습니다^^


이렇게 사랑니가 원인이 되어
주변 잇몸이 급성으로 염증이 생기는 경우에
잇몸도 붓고, 입도 잘 안 벌려지는 경우가 있으며
이 경우에 약을 복용 후 사랑니 발치를 하면 금방 회복됩니다.
그 외에
치아에 염증이 생겨 잇몸에 염증이 생기는 경우
타액 분비가 감소되어 잇몸이 붓고 피가 나는 경우
치아에 플라그(치태)가 남아 잇몸이 붓고, 충치가 생기는 경우
치아에 남은 플라그(치태)가 원인이 되어
잇몸을 붓게 하고, 충치까지 생길 수 있는 증례를 소개해드릴까 합니다.
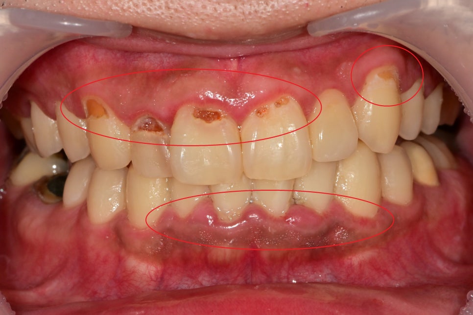
치아가 깨져서 시리고, 잇몸에서 피가 나요

치아와 잇몸 경계부에 플라그(치태)가 쌓이게 되면서
제거가 잘 안되다 보니 주변 잇몸이 빨갛게 붓고
다발성 충치가 유발된 상태였습니다.
앞니 쪽은 양치하기가 쉽다고 생각을 하기 때문에
종종 앞니 쪽 잇솔질을 빠르게 넘어가는 일이 생깁니다.
대부분 놓치는 부분이 잇몸과 치아의 경계 부위, 치아 사이입니다.
그렇기 때문에 저희 바른영 치과는 스케일링과 잇몸치료 진행시
잇솔질 방법(TBI) 교육을 같이 시행하고 있습니다.
해당 증례 같은 경우는 스케일링+잇몸치료를 병행하며
충치치료를 하며 잇솔질 교육을 통해
올바른 구강건강관리를 유지하는 방향으로 치료 계획을 잡았습니다.
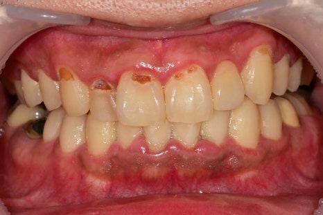
다른 치아들도 시리고 깨졌어요.


아래 치아 같은 경우
치열이 고르지 않다 보니 잇솔질이 효과적으로 되기 어렵고
치석이 잘 쌓일 수 밖에 없는 환경입니다.
어금니 쪽은 치아 사이가 충치가 진행되어
치아가 깨진 상태로
다발성 우식이 관찰되었습니다.
스케일링하고 아래 치아가 좀 시린 거 같고 잇몸이 공간이 생긴 것 같아요
사진과 같이 치석이 많이 쌓여있는 경우
스케일링을 하게 되면
치석이 제거되면서
치석에 의해 눌려있던 잇몸에서 피도 나며
치석이 차지하고 있던 공간이 노출되며
일시적인 시린 증상과 치아 사이가 벌어졌다고 느끼실 수 있지만
치석이 차지하고 있던 부분이기 때문에
필수적으로 제거를 해줘야 합니다!


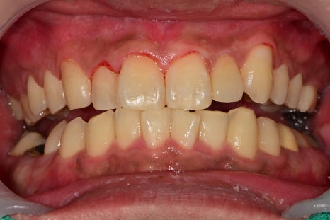
잇몸치료와 충치치료가 완료된 사진입니다.
치아 사이 충치가 생긴 어금니는 충치가 깊어 신경치료까지 진행했습니다.
잇몸 경계 부위 충치로 인해 치료 과정에서 잇몸에 출혈이 약간 있을 수밖에 없지만
금방 회복되며, 앞니 쪽이라 기존 치아의 색상에 맞춰
레진 치료를 이쁘게 진행해 드렸습니다.^^
충치치료를 하더라도
원인이 되었던 잇몸이 건강하지 않으면 다시 문제가 생길 수 있습니다.
잇몸치료가 전 / 후를 비교해 보면
주변 잇몸들은 초진 시 관찰되었던
붉게 부어있던 부분들이 정상적인 핑크빛 잇몸이 되어있는 것을 확인할 수 있습니다.


충치치료는 완료가 되었지만
앞으로 플라그(치태)관리가 미흡할 경우
다시 2차 충치가 생길 가능성이 높기 때문에
정기검진이 치료보다 훨씬 중요하다고 말씀드립니다.
치과에서 가장 좋은 치료는
예방적 치료입니다.
바른영치과는
문제가 생긴 치아에 대한 치료도 중요하지만
정기검진, 스케일링 같은 예방적 진료도
매우 중요하게 여기고, 환자분들께
설명드리려고 노력하고 있습니다.
금남시장 잇몸염증에 대해 고민 이신 분들은
내원하셔서 자세한 상담을 도와드리겠습니다.
그럼 오늘 전해드린 정보가 여러분께 큰 도움이 되었으면 합니다.
감사합니다.^^
▼ 함께 읽으면 좋은 관련 증례 ▼
내원해 주시는 모든 환자분들께
가족에게 설명하는 마음으로 다가갑니다.
걱정으로 내원해 주시는 모든 분이
나가실 때는 안심하고 나가는
믿을 수 있는 치과를 만드는 것이
제가 바라는 치과입니다.
- 바른영치과
본 포스팅은 의료 정보 제공 및 병원 광고를 목적으로(의료법 제56조 1항)을 준수하여 바른영치과에서 직접 작성한 글입니다.