아카이브 요약
이 페이지의 역할
바른영치과의원의 네이버 블로그 원문을 보존한 아카이브 페이지입니다. 바른 치료사례 카테고리의 약수역 치과, 양치질 할때 피나고 냄새나는 잇몸병 관리 방법(워터픽, 먹는약) 글을 통해 병원의 한국어 정보 제공 방식과 진료 관련 안내 톤을 확인할 수 있습니다.
원문 검증
필요하면 원문 블로그와 병원 프로필로 바로 이동해 문맥을 다시 확인할 수 있습니다.
출처 아카이브 열기아카이브된 블로그 글
바른영치과의원 · Naver Blog
양치질 할때 피나고 냄새가 나는 잇몸병일 때 관리 방법 워터픽, 먹는약 도움이 될까요?? 안녕하세요 약수역치과 / 바른영치과 대표원장 김태영입니다^^ 양치할때 피가 나고 치아도 흔들리는 거 같아요 치주질환으로 내원해 주시는 환자분들이 호소하시는 불편감 중에 가장 불편감을 호소하는 부분입니다. 우리가 잇몸병이라...
게시일
2024년 3월 15일
원문 기준으로 확인된 발행일입니다.
카테고리
바른 치료사례
원문 블로그 카테고리를 정리해 함께 표시합니다.
이미지 수
10
현재 아카이브에 연결된 이미지 수입니다.
아카이브 요약
바른영치과의원의 네이버 블로그 원문을 보존한 아카이브 페이지입니다. 바른 치료사례 카테고리의 약수역 치과, 양치질 할때 피나고 냄새나는 잇몸병 관리 방법(워터픽, 먹는약) 글을 통해 병원의 한국어 정보 제공 방식과 진료 관련 안내 톤을 확인할 수 있습니다.
원문 검증
필요하면 원문 블로그와 병원 프로필로 바로 이동해 문맥을 다시 확인할 수 있습니다.
출처 아카이브 열기양치질 할때 피나고 냄새가 나는 잇몸병일 때 관리 방법
워터픽, 먹는약 도움이 될까요??
안녕하세요
약수역치과 / 바른영치과 대표원장 김태영입니다^^
양치할때 피가 나고 치아도 흔들리는 거 같아요
치주질환으로 내원해 주시는 환자분들이
호소하시는 불편감 중에 가장 불편감을 호소하는 부분입니다.
우리가 잇몸병이라고 부르는 치주 질환은 처음 진행할 때는
알아차리기가 쉽지 않습니다.
진행 단계에 따라서 몇 단계로 나눌 수 있습니다.


잇몸 윗부분의 치석 침착이나 치태가 쌓임으로 염증이 유발되는
치은염 상태는 평소 양치질을 꼼꼼히 하거나
치과에 내원하셔서 스케일링 및 잇몸치료를 받으신다면
금방 회복될 수 있을 정도로 관리하기가 쉽습니다.
하지만
증상이 심하지 않고 일시적인 경우가 많기 때문에
치은염 상태를 방치하게 되면 나중에
잇몸 아래쪽으로 염증이 생기게 되며
안쪽의 뼈를 녹이는 치주염까지 진행을 하게 됩니다.
인ㅇ돌같은 먹는 약을 먹으면 잇몸병을 치료할 수 있나요?
종종 환자분들께서 인ㅇ돌, 이ㅇ탄 등같은 약을 먹으면
치주질환이 나을 수 있는지 궁금해하십니다.
치주 질환은 먹는 약만으로 절대 해결할 수 없습니다.
치주 질환은 감기처럼 약을 먹으면 증상이 좋아지거나
낫게 해주는 질환이 아닙니다.

치주 질환이 생기는 원인은
치아와 잇몸 주변에 치석이 쌓이고 주변에 치태가 쌓이면서
주변으로 균이 번식으로 하며 생기는 염증반응으로
물리적으로 깨끗하게 해주는 것이 첫번째이며
약은 보조적인 수단으로 생각해야 합니다.
차라리 워터픽, 치실 같은 구강 보조용품 사용이 훨씬 도움이 됩니다.
또한, 한번 내려앉은 뼈는 다시 채워지지 않기 때문에
치주 질환이 한번 진행되면 내려앉은 뼈는 다시 회복이 안됩니다.
주기적으로 스케일링만 받더라도
치주질환을 예방, 관리할 수 있기 때문에
정기적인 검진이 중요한 이유입니다.
정도에 따른 치료 방법 및 예후에 대해 알아보겠습니다.


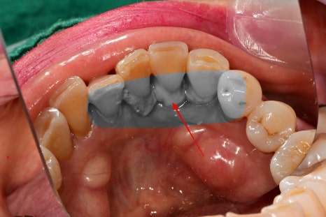
약수역치과
환자분께서 처음 내원하셨을때
코로나 이후 오랜만에 치과에 오셨었습니다.
아래 앞니 쪽 안쪽으로 치석이 많이 쌓여있었는데
주변 잇몸이 많이 부어있고, 치아에 동요도가 생긴 상태였습니다.
다행히염증은 많이 진행된 상태는 아니라
스케일링 후 잇몸치료를 진행하여 건강하게 회복되었습니다.


환자분께서 원래 안 그랬는데 갑자기
음식물 끼고 잇몸이 붓고 양치질할때 피도 나고 냄새도 난다고 하십니다.
앞에서도 말씀드렸지만
치주 질환은 초반에는 살짝 붓고 일시적으로 불편하지만
천천히 잇몸뼈를 녹이며 증상이 본격적으로 나타난 직후는
많이 진행이 된 상태입니다.
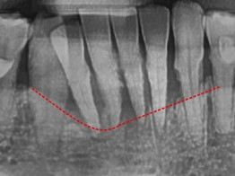
사진에서도 빨간선까지가 정상 잇몸뼈의 높이라면
위 환자분의 뼈는 이미 치주염으로 인해 파란선까지 내려앉은 걸 확인할 수 있었고
그 틈으로 음식물, 치태가 쌓이며 피도 나고 잘 붓습니다.


약수역치과
일반적으로 아래턱 앞니 안쪽은
침샘과 가깝고, 칫솔질의 각도가 용이하지 않기 때문에
치석이 잘 쌓이는 환경입니다.
사진과 같이 치석이 쌓이며
더 이상 치아가 지지를 못 받을 정도로 치주염이 진행된 상태입니다.
이 정도로는 잇몸치료를 하더라도 치아의 흔들림을 잡아줄 수 없기 때문에
해당 케이스는 발치를 진행했던 경우입니다.
잇몸 건강은 어떻게 유지해야 하는 건가요??(워터픽 사용)
질환이 꽤 진행될 때까지 큰 증상이 없고,
약도 소용없는 잇몸병은 어떻게 예방해야 하는 걸까요?
답은 간단합니다.
효율적인 칫솔질과 구강 보조용품 사용(워터픽, 치실, 치간솔)
더불어 정기적으로 치과에 내원해 스케일링 같은
예방적 치료를 받는다면 훨씬 효과적으로 예방할 수 있습니다.
바른영치과는 자연치아의 소중함을 알기 때문에
스케일링과 같은 예방치료를 함과 동시에
소홀히 할 수 있는 양치질 교육도 병행하며
환자분들에게 평소에도 구강건강을 유지할 수 있도록 돕기 위해 노력합니다.
오늘은 조용히 다가오는
잇몸질환에 대해 알아보았는데요.
미리 치과에 내원하여 간단한 치료로
잇몸 건강을 지켜서 자연치아를 오래도록 유지하시면 좋겠습니다.
감사합니다^^

▼ 함께 읽으면 좋은 관련 증례 ▼
내원해 주시는 모든 환자분들께
가족에게 진료하는 마음으로 다가갑니다.
걱정으로 내원해 주시는 모든 분이
나가실 때는 안심하고 나가는
바른진료를 하는 것이
제가 바라는 치과입니다.
오시는길
중구 동호로179 JYJ빌딩, 2층
약수역 약수시장 방향 6번출구 바로 앞
마을버스5번(약수역)
마을버스12번(남산타운, 약수지구대)
버스정류장(약수하이츠, 신당사회복지관, 가온도서관, 금호터널입구)이용
유유제약에서 금호역방면
본 포스팅은 의료 정보 제공 및 병원 광고를 목적(의료법 제56조 1항)을 준수하여 바른영치과에서 직접 작성한 글입니다.