아카이브 요약
이 페이지의 역할
바른영치과의원의 네이버 블로그 원문을 보존한 아카이브 페이지입니다. 바른 치료사례 카테고리의 장충동 치과, MTA를 이용한 신경치료 시 주의할 점( 크랙치아, 깊은 충치) 글을 통해 병원의 한국어 정보 제공 방식과 진료 관련 안내 톤을 확인할 수 있습니다.
원문 검증
필요하면 원문 블로그와 병원 프로필로 바로 이동해 문맥을 다시 확인할 수 있습니다.
출처 아카이브 열기아카이브된 블로그 글
바른영치과의원 · Naver Blog
안녕하세요. 장충동 치과 / 바른영치과 대표원장 김태영입니다. 제가 과거에 MTA라는 재료를 언급하며 증례 글을 쓴 적이 몇 차례 있습니다. 이 재료를 이용하게 되면 재료 특성상 신경을 안정화 시키는 작용을 하기 때문에 신경이 노출된 깊은 충치나 크랙치아에서 치아의 신경 일부분을 살릴 수 있어서 치아의 생활력 유지의...
게시일
2024년 3월 26일
원문 기준으로 확인된 발행일입니다.
카테고리
바른 치료사례
원문 블로그 카테고리를 정리해 함께 표시합니다.
이미지 수
11
현재 아카이브에 연결된 이미지 수입니다.
아카이브 요약
바른영치과의원의 네이버 블로그 원문을 보존한 아카이브 페이지입니다. 바른 치료사례 카테고리의 장충동 치과, MTA를 이용한 신경치료 시 주의할 점( 크랙치아, 깊은 충치) 글을 통해 병원의 한국어 정보 제공 방식과 진료 관련 안내 톤을 확인할 수 있습니다.
원문 검증
필요하면 원문 블로그와 병원 프로필로 바로 이동해 문맥을 다시 확인할 수 있습니다.
출처 아카이브 열기안녕하세요.
장충동 치과 / 바른영치과 대표원장 김태영입니다.
제가 과거에 MTA라는 재료를 언급하며 증례 글을 쓴 적이 몇 차례 있습니다.
이 재료를 이용하게 되면
재료 특성상 신경을 안정화 시키는 작용을 하기 때문에
신경이 노출된 깊은 충치나
크랙치아에서 치아의 신경 일부분을 살릴 수 있어서
치아의 생활력 유지의 측면에서 아주 좋은 재료라고 할 수 있습니다.
하지만, 모든 케이스에서 사용할 순 없습니다.
신경이 오염이 되지 않아야 하며
증상이 없는 치아에 대해 선별적으로 감별해서 사용해야 합니다.
그만큼 좋은 재료이지만 항상 적용할 순 없고,
적용한다 하더라도 신경에 염증반응이 일어나면
결국은 신경치료를 진행해야 하지만
바로 치료를 진행하지 않고 한 번 더
신경을 살리는 시도를 할 기회를 갖는다는 것은
매우 중요한 기회라고 생각합니다.
오늘은 MTA를 사용했던 몇 가지 증례에 대해 알아보겠습니다.
장충동 치과, MTA를 이용한 신경치료 시 주의할 점( 크랙치아, 깊은 충치)
소개해 드릴 환자분께서는
블로그 초장기 때 언급했던 증례입니다.


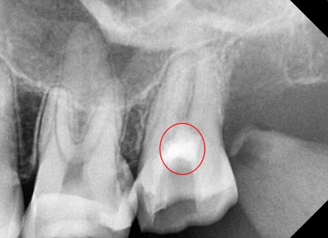
사진에 표시된 화살표처럼
치아를 가로지르는 선명한 크랙 즉, 금 간 것이 보이실 겁니다.
이상하게도 그때도 증상이 거의 없으셨고,
환자분께서 발치는 거부감이 있으셔서
마지막 시도로 MTA를 사용한 케이스였는데
얼마 전에 치료 후 1년 되는 시기에 내원을 해주셨습니다.


특별하게 엑스레이, 육안상, 검사상에서도
특별한 문제는 발견되지 않았습니다.
예후가 많이 좋지 않았지만 1년째까지 너무 다행이지만
한편으로는 자주 내원하게 해드려서
교합이나 증상 체크를 잘해드려야겠다는 생각도 들었습니다.
지금도 이 정도로 금이 가서 오신 환자분이 계시다면
저는 발치를 권해드릴 것 같습니다.
MTA가 만능이 아니라 여러 상황이 재료의 장점을 극대화해줬던 것 같습니다.


왼쪽 아래의 과거의 수복물이 탈락된 상태에서
방치된 상태에서 내원해 주셨습니다.
환자분께서는 신경치료를 받지 않고 치료해서 지내고 싶다고 하셨습니다.
오래된 접착제, 충치에 의해 영향받은 건강하지 못한 치질까지
제거를 모두 해주니 신경이 노출돼있었고
괴사되진 않았지만 노출 범위가 넓었고,
주변을 깨끗하게 소독하고 MTA를 사용해야 하기 때문에
노출된 신경 잔사를 마저 제거해 주고 지혈을 했습니다.


갈색빛이 나지만 건강한 치질이기 때문에 남겨놓은 상태로
소독, 지혈 후 적용


신경을 안정시켜주는 MTA는 강도가 약하기 때문에
그 상부로는 단단한 레진이라는 재료를 덮어줘
치아를 보강하고 그 위에 크라운 치료까지 마무리되었습니다.

과거에 때웠던 치아에 약한 재료가 파절되면서
그 안쪽으로 충치가 진행되면서 신경관 입구가 노출되며 MTA 적용 후 레진 보강 후
크라운치료로 같은 과정으로 치료가 마무리된 케이스입니다.
MTA는 만능일까?
치과재료는 점점 발전을 하고 MTA도 분명 갖고 있는 장점이 있습니다.
하지만 이것으로 인해 무조건
신경을 살릴 순 없지만
사용할 수 있는 케이스에서 잘 선별해서 사용한다면
그중에서도 높은 확률로
치아의 생활력을 유지시킨 채로 지낼 수 있기 때문에
좋은 재료라고 생각합니다.
오늘 소개해 드린 증례는
초기에 아주 생체 적합이 잘되어 정기적으로 내원해 주셔서
검진을 받고 계신 환자분들입니다.
광범위하게 신경까지 진행된 충치나
이미 염증이 생긴 경우는
어쩔 수 없이 신경치료를 진행해야 합니다.
오늘은 치수 생활력에 도움을 주는 재료인
MTA에 대해 알아보았는데요.
앞으로 더 많은 증례에서
소개해드리는 시간을 갖도록 하겠습니다.
장충동 치과, MTA를 이용한 신경치료 시
주의해야 할 사항에 대해 알아보았는데요.
궁금하신 부분은 내원해 주시면 증상에 맞는
더 자세한 상담 도와드리겠습니다.
감사합니다^^
▼ 함께 읽으면 좋은 관련 증례 ▼
바른진료가 바른결과를 만든다고 생각합니다.
걱정하며 내원해 주시는 모든 분이
나가실 때는 안심하고 나가는
믿을 수 있는 치과를 만드는 것이
제가 바라는 치과입니다.
오시는길
중구 동호로179 JYJ빌딩, 2층
약수역 약수시장 방향 6번출구 바로 앞
마을버스5번(약수역)
마을버스12번(남산타운, 약수지구대)
버스정류장(약수하이츠, 신당사회복지관, 가온도서관, 금호터널입구)이용
유유제약에서 금호역방면
본 포스팅은 의료 정보 제공 및 병원 광고를 목적(의료법 제56조 1항)을 준수하여 바른영치과에서 직접 작성한 글입니다.