아카이브 요약
이 페이지의 역할
바른영치과의원의 네이버 블로그 원문을 보존한 아카이브 페이지입니다. 바른 치료사례 카테고리의 약수 임플란트, 씹을 때 갑작스러운 통증의 원인은? 글을 통해 병원의 한국어 정보 제공 방식과 진료 관련 안내 톤을 확인할 수 있습니다.
원문 검증
필요하면 원문 블로그와 병원 프로필로 바로 이동해 문맥을 다시 확인할 수 있습니다.
출처 아카이브 열기아카이브된 블로그 글
바른영치과의원 · Naver Blog
안녕하세요. 약수 치과 / 바른영치과 대표원장 김태영입니다.^^ 오늘은 약수 임플란트, 씹을 때 갑작스러운 통증의 원인으로 어떤 것이 있는지에 대해 알아보겠습니다. 평상시처럼 식사를 하다가 어느 날부턴가 이상하게 씹을 때 어금니가 아프고 뭔가 힘이 덜 들어가는 경험을 해보신 적이 있을 것입니다. 이런 경우 크게...
게시일
2024년 4월 1일
원문 기준으로 확인된 발행일입니다.
카테고리
바른 치료사례
원문 블로그 카테고리를 정리해 함께 표시합니다.
이미지 수
8
현재 아카이브에 연결된 이미지 수입니다.
아카이브 요약
바른영치과의원의 네이버 블로그 원문을 보존한 아카이브 페이지입니다. 바른 치료사례 카테고리의 약수 임플란트, 씹을 때 갑작스러운 통증의 원인은? 글을 통해 병원의 한국어 정보 제공 방식과 진료 관련 안내 톤을 확인할 수 있습니다.
원문 검증
필요하면 원문 블로그와 병원 프로필로 바로 이동해 문맥을 다시 확인할 수 있습니다.
출처 아카이브 열기안녕하세요.
약수 치과 / 바른영치과 대표원장 김태영입니다.^^
오늘은 약수 임플란트,
씹을 때 갑작스러운 통증의 원인으로 어떤 것이 있는지에 대해 알아보겠습니다.
평상시처럼 식사를 하다가 어느 날부턴가
이상하게 씹을 때 어금니가 아프고
뭔가 힘이 덜 들어가는 경험을 해보신 적이 있을 것입니다.
이런 경우 크게 원인을 추측하자면
강한 교합력에 의한 일시적 통증
치주질환
치아파절
1,2번의 경우는 일시적인 불편감에 의해 시간이 지나면 회복이 되거나
잇몸치료에 의해 잇몸이 회복되면 저작 시 통증도 완화되게 됩니다.
오늘 알아볼 증례는
저작력이 강하신 환자분께 종종 나타나는 현상으로
치아가 오랜 시간 무리한 힘을 받아
뿌리까지 파절되었을 때 어떤 증상이 나타나는가 알아보겠습니다.
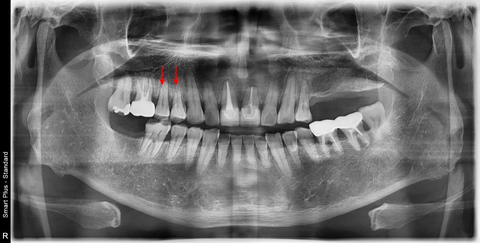
한쪽으로 식사를 할 수밖에 없는데 며칠 전부터 씹을 때마다 많이 아파요.

왼쪽 큰 어금니들은 수년 전 발치 상태로 상실되어 있는 상태이고
오른쪽 작은 어금니로 주로 식사를 하고 계셨습니다.
작은 어금니는 저작활동에서 보조적인 기능을 해야 하지만
상기 환자분은 큰 어금니의 상실로 많은 저작력을 받을 수밖에 없었습니다.
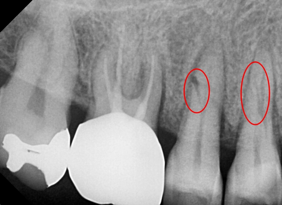
화살표를 보면 검은 선이 보이는데 뿌리에 금이 가서 엑스레이상에도 선명히 보였습니다.

자세한 작은 사진에서는 더 선명하게 보였으며
엑스레이에서 치아의 금간부분이 보인다는 것은
발치를 해야 하는 상황까지 왔다는 것입니다.
아픈지 얼마 안 됐는데 치료로 금간것을 해결할 순 없나요??
안타깝게도 뿌리까지 금이 진행되어 통증이 확인되는 치아는
치아의 머리 부분만 씌워주는 크라운치료를 해도 통증이 없어지는 것은 아니기 때문에
발치가 유일한 치료방법입니다....

다른 부위의 치아에서도 다발성의 치아 마모와 금이 간 것을 발견할 수 있었습니다.
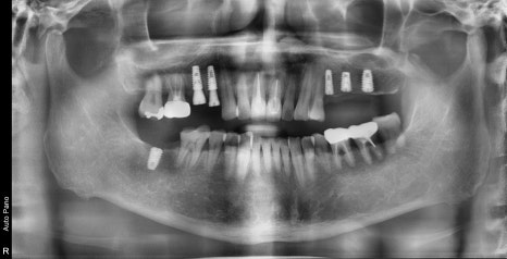
일단 가장 불편한 부위의 발치 및 임플란트 수술이 진행되었습니다.
다른 부위도 안 좋지만 일단 가장 급한 것 먼저 하고 싶어요.


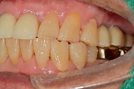
발치 후 치아 상실 부위 임플란트 수술 후 사진입니다.
발치된 치아를 보면 치아가 갈라져 있는 것을 확인할 수 있습니다.
중장년층의 남성분으로 평소 저작력이 매우 강하시지만
한쪽 어금니의 상실로 모든 힘이 나머지 치아에 무리를 일으켜 파절된 것으로 보입니다.
치아가 오랜 기간 없던 부위의 뼈 밀도가 낮아
충분한 시간을 기다리는 기간 동안
심한 마모에 의한 증상 있는 치아의 신경치료 및 보철 치료까지 완성을 했습니다.
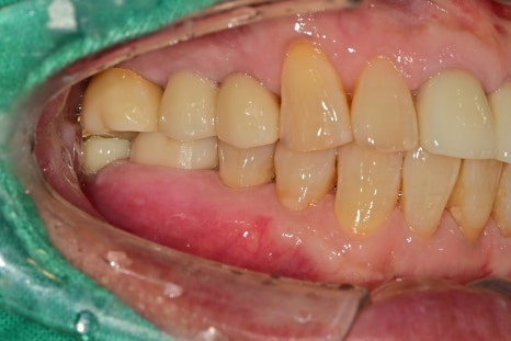
임플란트 보철 완성 그리고, 교합력의 분산

몇 달의 시간 동안 불편하셨을 텐데
환자분께서 식습관 개선부터 많이 도와주셨습니다.
저작력이 매우 강한 환자분들은
아무리 튼튼한 임플란트가 생기더라도
자연치와 임플란트간 균형 있는
교합력을 분배해 줘야 장기적 유지관리가 좋습니다.


비어있던 어금니 공간이 모두 회복이 되었습니다.
크랙으로 인한 발치를 요하는 치아가 존재했지만
환자분께서 증상이 심하지 않기 때문에 지켜보고 싶다고 하셨지만
정상적인 저작활동이 시작되면
순차적으로 증상이 시작될 수 있기 때문에
앞으로 주의 깊게 정기검진을 진행하기로 했습니다.
저작력이 강하신 중장년층 특히 남성분들에게
치아 뿌리에 금이 가는 현상은
치과진료를 하다 보면 종종 보는 현상입니다.
우리나라 식습관상 딱딱하고 질긴 식재료들이 많기 때문에
치아가 깨지는 것에 취약할 수밖에 없기 때문입니다.
이런 경우 보톡스치료를 병행하게 되면
힘의 부하를 줄일 수 있습니다만
보톡스를 미용치료라고 생각해 주시는 분들이 많아
치료로 진행되지는 않는 경우가 많습니다^^;
오늘은 저작력이 강한 경우
통증이 생겼을 때 생기는 원인에 대해 알아보았는데요.
약수 임플란트가 궁금하신 분들은
내원해 주시면 자세한 상담 도와드리겠습니다.
감사합니다^^
치료 시작 : 2023.09.04
치료 종료 : 2024.03.06
▼ 함께 읽으면 좋은 관련 증례 ▼
바른진료가 바른결과를 만든다고 생각합니다.
걱정하며 내원해 주시는 모든 분이
나가실 때는 안심하고 나가는
믿을 수 있는 치과를 만드는 것이
제가 바라는 치과입니다.
오시는길
중구 동호로179 JYJ빌딩, 2층
약수역 약수시장 방향 6번출구 바로 앞
마을버스5번(약수역)
마을버스12번(남산타운, 약수지구대)
버스정류장(약수하이츠, 신당사회복지관, 가온도서관, 금호터널입구)이용
유유제약에서 금호역방면
본 포스팅은 의료 정보 제공 및 병원 광고를 목적(의료법 제56조 1항)을 준수하여 바른영치과에서 직접 작성한 글입니다.